/https://cms-prod.s3-sgn09.fptcloud.com/hinh_anh_viem_nuou_rang_giup_nhan_biet_benh_som_0_86787bdb60.png)
Viêm nướu răng đang là một trong những bệnh lý răng miệng dễ gặp nhưng lại ít được quan tâm do triệu chứng khởi phát diễn ra âm thầm. Nếu không được phát hiện sớm, tình trạng viêm này có thể gây tổn thương nghiêm trọng đến tổ chức quanh răng, tiến triển thành viêm nha chu. Chính vì vậy, việc quan sát các hình ảnh viêm nướu răng là công cụ quan trọng để nhận diện bệnh.
/https://cms-prod.s3-sgn09.fptcloud.com/viem_loi_co_mu_nguyen_nhan_trieu_chung_va_cach_dieu_tri_hieu_qua_1_4cf274ad8d.png)
Viêm lợi có mủ là một tình trạng phổ biến trong bệnh lý răng miệng, gây ảnh hưởng đến sức khỏe răng miệng và chất lượng cuộc sống của người bệnh. Vậy nên việc hiểu rõ về tình trạng này và các thông tin liên quan là rất cần thiết.
/https://cms-prod.s3-sgn09.fptcloud.com/loi_trum_rang_cua_nguyen_nhan_bieu_hien_va_huong_khac_phuc_hieu_qua_5_Cropped_a0d767ebbf.png)
Lợi trùm răng cửa nếu không được điều trị sớm sẽ làm tăng khả năng mắc nhiều bệnh răng miệng, nguy hiểm hơn là nguy cơ nhiễm trùng lây lan đến vùng khoang đầu và cổ cùng, từ đó tăng ảnh hưởng đến đường thở và đe dọa trực tiếp đến sức khỏe.
Sưng chân răng nên làm gì là thắc mắc nhiều người đặt ra. Bài viết dưới hướng dẫn cách xử lý sưng chân răng hiệu quả tại nhà, từ súc miệng bằng nước muối đến chăm sóc răng miệng đúng cách, giúp ngăn ngừa viêm nhiễm. Đừng bỏ qua các bí quyết để bảo vệ sức khỏe răng miệng và duy trì nụ cười tự tin.
/https://cms-prod.s3-sgn09.fptcloud.com/bi_sung_loi_phai_lam_sao_nguyen_nhan_va_dau_hieu_cua_chung_sung_loi_0_b096a71872.jpg)
Sưng lợi là một bệnh lý răng miệng thường gặp, đây thường không phải là một loại bệnh nguy hiểm. Tuy nhiên, tình trạng sưng lợi kéo dài cũng có nguy cơ dẫn đến các căn bệnh tiềm ẩn về răng miệng khác. Vậy khi bị sưng lợi phải làm sao và làm cách nào để phát hiện các triệu chứng của tình trạng này?
/https://cms-prod.s3-sgn09.fptcloud.com/noi_den_la_gi_bi_noi_den_trong_mieng_lam_sao_het_3_7faad4e047.jpg)
Nổi đẹn là tình trạng nhiễm nấm Candida gây lớp màng trắng mịn trên lưỡi và niêm mạc miệng. Thường gặp ở người sức đề kháng yếu hoặc dùng kháng sinh quá nhiều, nổi đẹn gây đau rát và khó nuốt. Điều trị bao gồm dùng thuốc chống nấm và cải thiện vệ sinh miệng.
/https://cms-prod.s3-sgn09.fptcloud.com/cac_phuong_phap_thuc_hien_ghep_nuou_rang_hien_nay_3_Cropped_880c714656.jpg)
Ghép nướu răng chắc hẳn là một thuật ngữ khá mới lạ đối với chúng ta hiện nay. Phương pháp này là một trong những kỹ thuật được sử dụng trong thẩm mỹ nha khoa khi răng gặp phải một số tình trạng liên quan tới nướu ảnh hưởng đến sức khỏe răng miệng.
/https://cms-prod.s3-sgn09.fptcloud.com/nuou_rang_bi_do_1_2f1a3f9dd4.jpg)
Nướu răng bị đỏ cảnh báo điều gì? Cần chăm sóc răng miệng và điều trị như thế nào khi bị đỏ ở nướu răng? Bài viết dưới đây sẽ giúp bạn hiểu rõ về nguyên nhân và cách khắc phục tình trạng nướu răng bị đỏ.
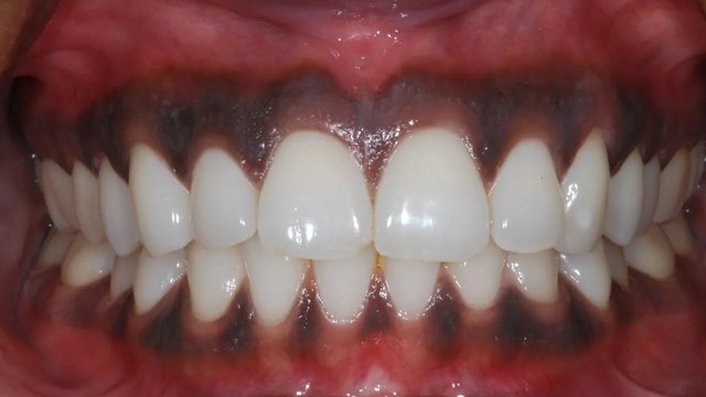
/https://cms-prod.s3-sgn09.fptcloud.com/nuou_rang_bi_den_86c6195639.jpg)
Khi nướu răng khỏe mạnh sẽ có màu hồng san hô tự nhiên. Sự thay đổi màu sắc của nướu răng có thể là một dấu hiệu cảnh báo vấn đề về sức khỏe răng miệng. Một số người gặp tình trạng nướu răng bị đen. Để biết thêm nguyên nhân, triệu chứng và cách điều trị nướu đen, bạn đừng bỏ qua bài viết này nhé!
/https://cms-prod.s3-sgn09.fptcloud.com/viem_nuou_rang_co_nen_ngam_nuoc_muoi_khong_2_75f247d45f.png)
Nước muối từ lâu đã được biết đến với khả năng sát khuẩn, chống viêm và làm sạch. Do đó, nhiều người sử dụng nước muối để súc miệng và ngậm nhằm giảm bớt các triệu chứng của viêm nướu răng. Vậy, viêm nướu răng có nên ngậm nước muối không? Nhà thuốc Long Châu sẽ giúp bạn giải đáp ngay sau đây!