Tốt nghiệp Khoa Dược trường Đại học Nam Cần Thơ. Có nhiều năm kinh nghiệm công tác trong lĩnh vực Dược phẩm. Hiện đang giảng viên cho Dược sĩ tại Nhà thuốc Long Châu.
Thanh Hương
10/06/2024
Mặc định
Lớn hơn
Một số người trong quá trình niềng răng gặp tình trạng lợi trùm. Vậy lợi trùm khi niềng răng là như thế nào? Nguyên nhân, dấu hiệu nhận biết và cách khắc phục niềng răng bị lợi trùm ra sao?
Trong quá trình niềng răng có thể sẽ phát sinh nhiều vấn đề khiến chúng ta lo lắng. Ngoài đau tức răng, bung mắc cài, niềng răng bị lợi trùm cũng là tình trạng một số người gặp phải. Vậy vì sao xảy ra hiện tượng lợi trùm khi niềng răng? Dấu hiệu nhận biết là gì? Cách khắc phục lợi trùm ra sao?
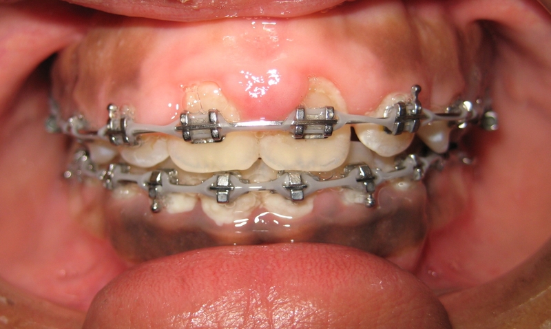
Lợi trùm là phần lợi (nướu) phát triển bao trùm trên bề mặt răng khiến răng bị "mắc kẹt" giữa phần lợi dư thừa. Tình trạng lợi trùm hay còn gọi là viêm lợi trùm thường xuất hiện nhất khi mọc răng khôn, đôi khi cũng có thể xuất hiện tại các răng khác như răng cửa.
Lợi trùm cũng xuất hiện ở một số người đang niềng răng khiến họ lo lắng. Viêm lợi trùm gây đau đớn kéo dài thậm chí có người còn bị sốt vài ngày. Nếu không được điều trị kịp thời, viêm lợi trùm có thể phát triển thành viêm lợi trùm có mủ.

Chúng ta có thể dễ dàng nhận biết lợi trùm bằng mắt thường khi thấy phần lợi bị sưng phồng, phát triển lấn xuống thân răng khiến thân răng như bị thu ngắn lại. Tình trạng lợi trùm răng có thể gây đau với mức độ khác nhau, tùy thuộc vào tình trạng viêm ở mỗi người. Có người lợi trùm gây sốt, có người không. Có người lợi trùm bị viêm có mủ nhưng lại có người không bị viêm mủ.
Đáng lo ngại nhất là những trường hợp lợi trùm gây đau kéo dài, ảnh hưởng đến việc ăn uống nên dẫn đến sụt cân, mệt mỏi. Sốt cao kèm sưng hạch ở cổ cũng ảnh hưởng không nhỏ đến sức khỏe người bệnh. Lợi trùm khi niềng răng cũng có thể ảnh hưởng ít nhiều đến hiệu quả niềng răng. Vì vậy, khi thấy các triệu chứng bị lợi trùm, bạn nên đến cơ sở nha khoa để được thăm khám và xử lý sớm.
Theo các bác sĩ nha khoa, trong quá trình niềng răng bị lợi trùm có thể do những nguyên nhân như:
Khi niềng răng, nhất là niềng răng bằng bộ khí cụ gắn trên răng (mắc cài, dây cung, thun…), việc vệ sinh răng miệng sẽ khó khăn hơn thông thường. Để làm sạch răng, ngoài bàn chải có thể bạn sẽ cần dùng đến chỉ nha khoa, tăm nước. Nếu việc vệ sinh răng miệng không kĩ, các mảnh vụn thức ăn siêu nhỏ sẽ tích tụ lại, tạo điều kiện cho vi khuẩn phát triển. Vi khuẩn tấn công vào nướu gây viêm dẫn đến viêm lợi trùm.
Lợi trùm khi niềng răng cũng có thể do nha sĩ thực hiện kỹ thuật niềng răng không chuẩn. Nguyên nhân này thường xuất phát từ việc không chọn lựa kỹ cơ sở chỉnh nha, bác sĩ không có chuyên môn cao và các khí cụ chỉnh nha không đảm bảo chất lượng. Khi thao tác gắn, khâu không cẩn thận, siết răng quá mạnh hay các dụng cụ nha khoa không được tiệt trùng cũng có thể gây viêm.

Viêm lợi khi niềng răng cũng có thể xuất phát từ nguyên nhân “chính chủ” bị suy giảm miễn dịch. Trong quá trình niềng răng, bạn có thể cảm thấy vướng víu, đau đớn, khó nuốt. Cảm giác đau nhức có thể xuất hiện sau mỗi lần siết dây cung. Chính điều đó khiến những người chỉnh nha không hứng thú với việc ăn uống và bị thiếu dinh dưỡng dẫn đến suy giảm miễn dịch. Khi đó, họ sẽ dễ bị viêm lợi, viêm nha chu,…
Có trường hợp đang trong quá trình niềng răng lại xuất hiện răng khôn mọc lệch. Nếu không tiến hành xử lý kịp thời, răng đâm vào nướu răng khiến lợi trùm răng. Viêm lợi trùm từ răng khôn còn có thể lây lan sang các răng khác thậm chí làm xô lệch hàm răng, ảnh hưởng đến hiệu quả niềng răng.
Lợi trùm khi niềng răng không chỉ gây đau nhức và ảnh hưởng đến chức năng nhai cắn của răng. Nếu không xử lý kịp thời, lợi trùm có thể kéo theo nhiều vấn đề về sức khỏe răng miệng khác như: Sâu răng, viêm nha chu, hôi miệng, chết tủy, chảy máu chân răng. Lợi trùm kéo dài cũng làm ảnh hưởng đến hiệu quả chỉnh nha. Vì vậy, tình trạng này cần được khắc phục càng sớm càng tốt.

Khi thấy xuất hiện các dấu hiệu của viêm lợi trùm, bạn nên đến gặp nha sĩ đang theo dõi quá trình niềng răng của mình để được thăm khám sớm. Tùy tình trạng và triệu chứng thực tế, nha sĩ sẽ chỉ định cách điều trị phù hợp nhất tình trạng viêm lợi trùm.
Nếu chỉ bị viêm nhẹ hay mới viêm, bác sĩ sẽ hướng dẫn bạn cách chữa viêm lợi trùm tại nhà. Bác sĩ sẽ hướng dẫn bạn vệ sinh và chăm sóc răng miệng đúng cách. Ngoài dùng bàn chải lông mềm, chỉ nha khoa, đánh răng 3 lần mỗi ngày, bạn nên dùng thêm nước súc miệng kháng khuẩn để kiểm soát viêm nhiễm.
Các thực phẩm cay nóng, đồ uống có gas, đồ ngọt không tốt cho lợi lúc này. Thay vào đó, bạn nên tăng cường ăn thực phẩm giàu vitamin C, kẽm để lợi sớm khỏi viêm. Một số loại tinh dầu có tác dụng sát khuẩn, gây tê nhẹ, giảm đau do viêm như: Tinh dầu sả, tràm trà, hương nhu. Bạn có thể dùng các loại tinh dầu này để chấm vào vị trí lợi bị viêm.
Nếu thấy cần thiết, bác sĩ sẽ chỉ định dùng kháng sinh trong 5 - 7 ngày để tiêu diệt vi khuẩn gây viêm. Bạn cũng có thể được kê thêm thuốc giảm đau nếu cảm giác đau nhức ảnh hưởng đến ăn uống và sinh hoạt.
Trong một số trường hợp, nhất là lợi trùm do răng khôn, bác sĩ sẽ phải thực hiện tiểu phẫu cắt lợi trùm nếu răng khôn không mọc lệch. Nếu răng khôn mọc lệch, bác sĩ sẽ tư vấn nhổ răng khôn. Để tư vấn giải pháp tốt nhất, bác sĩ sẽ yêu cầu bạn chụp X-quang để đánh giá tình trạng răng khôn. Trong trường hợp cần xử lý lợi trùm hay răng khôn, quá trình niềng răng của bạn có thể sẽ kéo dài hơn. Thậm chí có những trường hợp phải tháo niềng không đúng lộ trình.

Bạn nên chọn địa chỉ nha khoa uy tín để phòng ngừa lợi trùm khi niềng răng. Ở đó, bạn sẽ được sử dụng khí cụ, dụng cụ chỉnh nha đảm bảo an toàn. Bác sĩ giỏi chuyên môn sẽ tư vấn cho bạn cách vệ sinh răng miệng tốt nhất để tránh bị viêm lợi. Qua quá trình thăm khám, nếu có xuất hiện dấu hiệu sớm của lợi trùm, các bác sĩ cũng có thể giúp bạn phát hiện và điều trị kịp thời.
Xem thêm:
Dược sĩ Đại họcNguyễn Thị Thảo Nguyên
Tốt nghiệp Khoa Dược trường Đại học Nam Cần Thơ. Có nhiều năm kinh nghiệm công tác trong lĩnh vực Dược phẩm. Hiện đang giảng viên cho Dược sĩ tại Nhà thuốc Long Châu.