Tốt nghiệp Khoa Dược trường Đại học Nam Cần Thơ. Có nhiều năm kinh nghiệm công tác trong lĩnh vực Dược phẩm. Hiện đang giảng viên cho Dược sĩ tại Nhà thuốc Long Châu.
Thanh Hương
20/07/2025
Mặc định
Lớn hơn
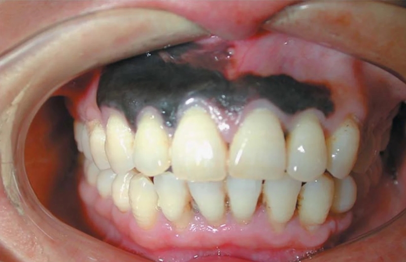
Khi nướu răng khỏe mạnh sẽ có màu hồng san hô tự nhiên. Sự thay đổi màu sắc của nướu răng có thể là một dấu hiệu cảnh báo vấn đề về sức khỏe răng miệng. Một số người gặp tình trạng nướu răng bị đen. Để biết thêm nguyên nhân, triệu chứng và cách điều trị nướu đen, bạn đừng bỏ qua bài viết này nhé!
Nướu răng đen không chỉ gây mất thẩm mỹ và khiến “khổ chủ” thiếu tự tin khi giao tiếp. Đây còn có thể là dấu hiệu bệnh lý về răng miệng nào đó. Để biết rõ nướu răng bị đen do đâu, bạn cần đi khám nha sĩ sớm. Bài viết này sẽ giúp bạn tìm hiểu trước nguyên nhân, triệu chứng và cách điều trị phổ biến trong trường hợp nướu bị đen.
Nướu răng hay còn gọi là lợi là một lớp mô mềm bao quanh chân răng và có tác dụng nâng đỡ chân răng, giúp chân răng ổn định trong các xương ổ răng để thực hiện tốt chức năng nhai cắn của mình. Nướu cũng bao bọc, bảo vệ để các vi khuẩn trong khoang miệng không thể xâm nhập và tấn công chân răng.
Nếu nướu răng của bạn khỏe mạnh, nó sẽ có màu hồng nhạt hoặc hồng san hô tươi tắn. Tuy nhiên, một số người gặp tình trạng nướu bị đen. Theo các nha sĩ, nguyên nhân dẫn đến tình trạng nướu răng bị đen có thể bao gồm:

Cao răng hay vôi răng là những mảng bám được tích tụ và vôi hóa bởi các khoáng chất có trong nước bọt. Cao răng hình thành trên đường viền nướu và cả bên dưới nướu. Ban đầu, cao răng có màu vàng nhạt. Nhưng nếu để chúng tích tụ quá lâu trong nướu, chúng sẽ xỉn màu dần, khiến nướu cũng bị thâm đen theo.
Các vật liệu kim loại thường được sử dụng trong khoang miệng như răng sứ kim loại, các miếng trám Amalgam lớn… Kim loại khi tiếp xúc với nước bọt cũng bị oxy hóa khiến chúng bị đen đi và làm cho nướu cũng bị thâm đen theo.
Theo tuổi tác, mọi cơ quan, bộ phận trên cơ thể chúng ta đều bị lão hóa. Nướu răng cũng không phải một ngoại lệ. Khi các tế bào sắc tố làm hồng niêm mạc nướu bị lão hóa, nướu răng bị đen hơn bình thường.
Một số người không biết vệ sinh răng miệng đúng cách, hút thuốc lá, sử dụng chất kích thích, uống nhiều rượu bia cũng sẽ bị đen nướu răng. Đặc biệt, ở những người hút thuốc lá, chất nicotine trong khói thuốc không chỉ gây hại cho tim, phổi mà còn làm tăng sản xuất các hắc sắc tố melanin. Chính điều này khiến môi và nướu của người hút thuốc thường có biểu hiện thâm đen hơn những người khác.

Những tổn thương, va đập, tác động mạnh ở nướu răng cũng có thể khiến nướu răng bị bầm dập, tụ máu. Nếu không được điều trị đúng cách, nướu răng còn có nguy cơ bị hoại tử. Trong trường hợp này, bạn có thể quan sát thấy rõ những mảng màu đen thâm bất thường, có ranh giới rõ ràng với các vùng nướu khác. Đặc biệt nghiêm trọng, những mảng đen bất thường ở nướu cũng có thể là dấu hiệu cảnh báo ung thư nướu răng.
Nếu nguyên nhân do di truyền, bạn có thể quan sát thấy nướu thâm đen ngay từ nhỏ hay còn gọi là nướu đen bẩm sinh. Màu nướu của những người này có xu hướng đậm màu hơn người bình thường, đó là do sắc tố quy định màu của nướu đậm hơn. Trường hợp nướu răng bị đen bẩm sinh do di truyền khó có thể khắc phục.
Viêm nha chu là bệnh xảy ra khi nướu răng bị vi khuẩn tấn công gây viêm nhiễm nặng. Người bị viêm nha chu sẽ gặp các triệu chứng như chảy máu chân răng, nướu sưng đỏ, thâm tím, tím đỏ, chảy dịch. Viêm nha chu mức độ nặng có thể làm tiêu xương ổ răng, lung lay răng và mất răng. Chính những tổn thương sâu này cũng khiến nướu răng bị thâm đen bất thường.
Nướu răng bị đen có chữa được không sẽ phụ thuộc vào nguyên nhân cụ thể. Vì vậy, để biết tình trạng của mình có thể khắc phục được không, bạn cần đến gặp nha sĩ để được thăm khám kỹ càng. Sau khi tìm ra nguyên nhân gây thâm nướu, nha sĩ sẽ chỉ định hướng khắc phục và điều trị phù hợp.

Cụ thể là:
Một số cách chăm sóc răng miệng, thói quen sinh hoạt dưới đây có thể giúp phòng ngừa tình trạng nướu bị đen:

Tóm lại, nướu răng bị đen là tình trạng nhiều người gặp phải. Đây có thể là hệ quả của thói quen sinh hoạt không lành mạnh, là kết quả của quá trình chỉnh nha nhưng cũng có thể là dấu hiệu bệnh lý. Vì vậy, khi thấy nướu đen bất thường, tốt nhất bạn nên đi gặp nha sĩ để tìm ra chính xác nguyên nhân và được tư vấn cách điều trị phù hợp nhé!
Xem thêm:
Dược sĩ Đại họcNguyễn Thị Thảo Nguyên
Tốt nghiệp Khoa Dược trường Đại học Nam Cần Thơ. Có nhiều năm kinh nghiệm công tác trong lĩnh vực Dược phẩm. Hiện đang giảng viên cho Dược sĩ tại Nhà thuốc Long Châu.