/https://cms-prod.s3-sgn09.fptcloud.com/chup_CT_dau_goi_c7690f1725.jpg)
Chụp CT đầu gối giúp phát hiện chấn thương, thoái hóa hay tổn thương xương khớp chính xác. Hãy cùng Long Châu tìm hiểu quy trình và lưu ý quan trọng trước khi thực hiện kỹ thuật này để an tâm hơn.
/https://cms-prod.s3-sgn09.fptcloud.com/chup_ct_co_giam_tuoi_tho_khong_su_that_ban_can_biet_1_80b50ade53.png)
Chụp CT có giảm tuổi thọ không là mối bận tâm của nhiều người. Bài viết giải đáp chi tiết về mức độ ảnh hưởng của tia X trong chụp CT đến sức khỏe, giúp bạn hiểu rõ lợi ích - rủi ro của phương pháp chẩn đoán hình ảnh này.
/https://cms-prod.s3-sgn09.fptcloud.com/chup_msct_la_gi_ung_dung_ky_thuat_chup_msct_trong_y_hoc_4_76d256cb5f.png)
Chụp MSCT là gì? Multi Slice Computed Tomography là một trong những kỹ thuật chẩn đoán hình ảnh tiên tiến, cho phép phát hiện sớm nhiều bệnh lý tim mạch cũng như các vấn đề sức khỏe khác ngay cả khi chưa có biểu hiện rõ ràng. Nhờ khả năng cung cấp hình ảnh chi tiết và chính xác, MSCT ngày càng được ứng dụng rộng rãi trong thực hành lâm sàng.
/https://cms-prod.s3-sgn09.fptcloud.com/tia_gamma_la_gi_ung_dung_cua_tia_gamma_trong_y_hoc_1_d7cff7c41f.png)
Tia gamma là một dạng bức xạ điện từ có năng lượng rất cao và tần số cực lớn, với khả năng xuyên thấu mạnh qua nhiều loại vật chất. Khi tìm hiểu tia gamma là gì, có thể thấy đây là hiện tượng tự nhiên xuất hiện trong các phản ứng hạt nhân, đồng thời cũng có thể được tạo ra nhân tạo để phục vụ nghiên cứu cũng như ứng dụng trong y học.
/https://cms-prod.s3-sgn09.fptcloud.com/chup_ct_nao_gia_bao_nhieu_0_8199faffd4.jpg)
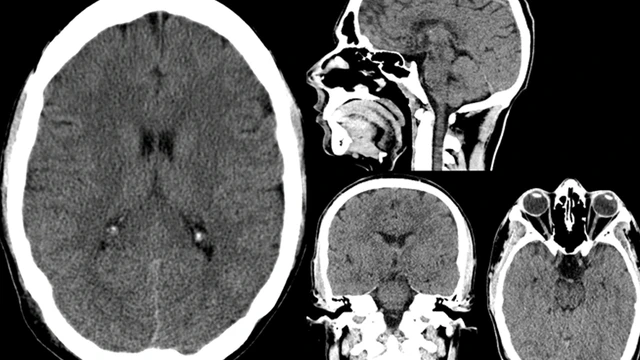
não thế nào? Chụp CT não là một trong những kỹ thuật chẩn đoán hình ảnh quan trọng, thường được chỉ định trong các trường hợp nghi ngờ chấn thương sọ não, đột quỵ, u não, viêm não hay các bất thường thần kinh khác. Tuy nhiên, bên cạnh mối quan tâm về chỉ định và quy trình thực hiện, nhiều người vẫn băn khoăn không biết chụp CT não giá bao nhiêu?
/https://cms-prod.s3-sgn09.fptcloud.com/bai_vietchup_ct_so_nao_duoc_thuc_hien_khi_nao_co_anh_huong_gi_khong_html_8a1e19f4a8.jpg)
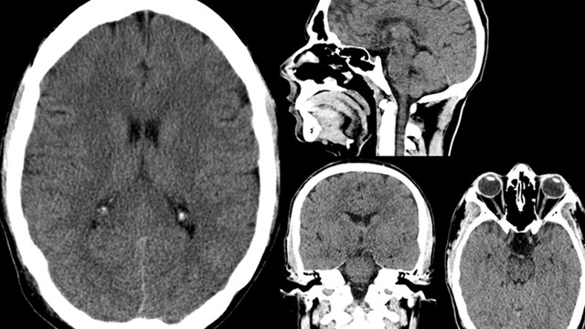
Chụp CT sọ não là kỹ thuật chẩn đoán cận lâm sàng giúp bác sĩ phát hiện các bất thường ở vùng đầu và mặt. Kết quả chụp CT cung cấp hình ảnh chi tiết, cho phép bác sĩ xác định nguyên nhân gây bệnh, vị trí tổn thương và đề xuất phương pháp điều trị phù hợp. Đây là công cụ quan trọng hỗ trợ chẩn đoán nhanh chóng và chính xác trong các tình huống khẩn cấp hoặc khi cần đánh giá tổn thương não bộ.
/https://cms-prod.s3-sgn09.fptcloud.com/hien_nay_gia_chup_co_bao_hiem_y_te_la_bao_nhieu_98fbde86f6.jpg)
Chụp CT (Computed Tomography) là một trong những phương pháp chẩn đoán hình ảnh quan trọng trong y học hiện đại hỗ trợ điều trị nhiều bệnh khác nhau. Có nhiều bạn đọc đang quan tâm đến chi phí và quy trình thực hiện dịch vụ này, đặc biệt là giá chụp CT có bảo hiểm y tế là bao nhiêu? Những thông tin dưới đây của nhà thuốc Long Châu giúp bạn giải đáp vấn đề này.
/https://cms-prod.s3-sgn09.fptcloud.com/ban_da_biet_chup_mri_va_ct_cai_nao_tot_hon_hay_chua_3_Cropped_e2df95e3a1.png)
Chụp MRI và CT đều là hai phương pháp chẩn đoán hình ảnh hiện đại nhất hiện nay, được sử dụng rất phổ biến trong hệ thống y tế tại Việt Nam. Vậy, bạn đã biết chụp MRI hay CT cái nào tốt hơn hay chưa?
/https://cms-prod.s3-sgn09.fptcloud.com/chup_ct_cot_song_that_lung_nhung_thong_tin_co_ban_can_biet_66d0af228e.jpg)
Chụp CT cột sống thắt lưng là kỹ thuật không xâm lấn hiện đại, được áp dụng rộng rãi trong y học ngày nay. Tuy nhiên, trên thực tế, không phải độc giả nào cũng hiểu rõ về phương pháp này. Nếu bạn đang quan tâm đến phương pháp chụp CT cột sống thắt lưng thì đừng bỏ qua bài viết hôm nay bạn nhé.
/https://cms-prod.s3-sgn09.fptcloud.com/chup_cat_lop_la_gi_nhung_dieu_ban_can_luu_y_ve_rui_ro_khi_chup_cat_lop_4_37ba4759fd.png)
Chụp cắt lớp là công cụ hỗ trợ đắc lực trong việc chẩn đoán và điều trị nhiều bệnh lý. Trong bài viết này, Nhà Thuốc Long Châu sẽ cùng bạn tìm hiểu về chụp cắt lớp là gì, ứng dụng và những lưu ý quan trọng khi thực hiện kỹ thuật này.