Dược sĩ Đại học có nhiều năm kinh nghiệm trong việc tư vấn Dược phẩm và hỗ trợ giải đáp thắc mắc về Bệnh học. Hiện đang là giảng viên cho Dược sĩ tại Nhà thuốc Long Châu.
Quỳnh Loan
15/04/2026
Mặc định
Lớn hơn
Chụp CT phổi là phương pháp chẩn đoán hình ảnh hiện đại giúp phát hiện sớm nhiều bệnh lý hô hấp nguy hiểm. Bài viết sau đây sẽ giúp bạn hiểu đúng về chụp CT phổi, từ đó chủ động lựa chọn thời điểm thăm khám phù hợp và tránh những lo lắng không cần thiết.
Các bệnh lý về phổi ngày càng phổ biến do ảnh hưởng của môi trường ô nhiễm, thói quen hút thuốc và tuổi tác. Nhiều bệnh tiến triển âm thầm với triệu chứng không rõ ràng khiến việc chẩn đoán sớm trở nên khó khăn. Trong bối cảnh đó, các kỹ thuật chẩn đoán hình ảnh đóng vai trò quan trọng giúp bác sĩ đánh giá chính xác cấu trúc và tổn thương bên trong phổi, từ đó đưa ra hướng điều trị kịp thời. Cùng Long Châu tìm hiểu nhé!
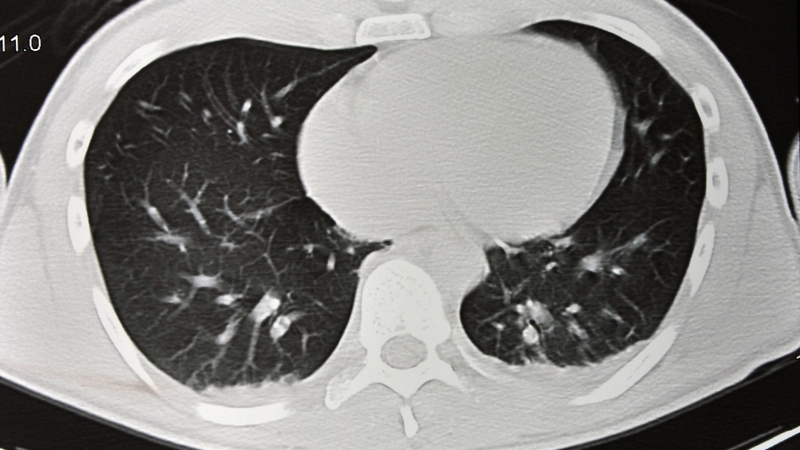
Chụp CT phổi là kỹ thuật sử dụng tia X kết hợp với hệ thống máy tính để tạo ra hình ảnh cắt lớp chi tiết của phổi và các cấu trúc lân cận. Khác với chụp X quang thông thường, hình ảnh CT cho phép quan sát phổi ở nhiều lát cắt khác nhau giúp phát hiện những tổn thương rất nhỏ mà X quang có thể bỏ sót.
Kỹ thuật này có thể thực hiện dưới dạng CT phổi thường hoặc CT phổi có tiêm thuốc cản quang tùy mục đích chẩn đoán. Nhờ độ phân giải cao, CT phổi giúp đánh giá chính xác nhu mô phổi, phế quản, mạch máu và hạch trung thất.

Chụp CT phổi mang lại giá trị cao trong chẩn đoán và theo dõi nhiều bệnh lý hô hấp. Dưới đây là những lý do giải thích vì sao cần chụp CT phổi:
Chi phí chụp CT phổi phụ thuộc vào nhiều yếu tố như loại máy chụp, kỹ thuật thực hiện có tiêm thuốc cản quang hay không và cơ sở y tế thực hiện. Mức giá phổ biến chụp CT phổi hiện nay thường dao động từ vài trăm nghìn đồng đến vài triệu đồng cho mỗi lần chụp.
Người bệnh nên trao đổi trực tiếp với cơ sở y tế để được tư vấn cụ thể trước khi thực hiện.

Chụp CT phổi thường được chỉ định trong nhiều tình huống lâm sàng khác nhau nhằm hỗ trợ chẩn đoán chính xác. Những trường hợp sau đây thường sẽ được bác sĩ chuyên khoa chỉ định thực hiện chụp CT phổi:
Khi người bệnh có triệu chứng ho kéo dài, ho ra máu, sụt cân không rõ nguyên nhân hoặc hình ảnh X quang bất thường, chụp CT phổi sẽ giúp phát hiện khối u, đánh giá kích thước, vị trí và mức độ xâm lấn.
Với những trường hợp phát hiện nốt phổi nhỏ, chụp CT phổi được sử dụng để theo dõi sự thay đổi kích thước và đặc điểm của nốt theo thời gian nhằm đánh giá nguy cơ ác tính.
CT phổi độ phân giải cao là công cụ quan trọng giúp chẩn đoán các bệnh phổi kẽ như xơ phổi, viêm phổi kẽ hoặc bệnh phổi do tự miễn.
Trong các trường hợp viêm phổi nặng đáp ứng kém với điều trị, CT phổi giúp phát hiện ổ áp xe, tràn dịch màng phổi hoặc tổn thương lan rộng.

CT phổi giúp đánh giá tổn thương phổi sau tai nạn chấn thương ngực như dập phổi, tràn khí hoặc tràn máu màng phổi.
Người hút thuốc lâu năm, người tiếp xúc môi trường độc hại hoặc có tiền sử gia đình mắc ung thư phổi có thể được chỉ định CT liều thấp để tầm soát sớm.
Không phải ai cũng phù hợp để thực hiện chụp CT phổi trong mọi thời điểm. Một số trường hợp cần cân nhắc kỹ trước khi thực hiện:
Quy trình chụp CT phổi thường diễn ra nhanh chóng và an toàn với các bước cơ bản sau:
Toàn bộ quá trình thường chỉ kéo dài từ 5 - 15 phút tùy kỹ thuật.
Người bệnh trước khi thực hiện chụp CT phổi thường có nhiều thắc mắc liên quan. Do đó, việc nắm rõ các lưu ý, quy trình cũng như mức độ an toàn của phương pháp này sẽ giúp bạn chuẩn bị tốt hơn và giảm bớt lo lắng trước khi thăm khám.

Người bệnh nên thông báo cho bác sĩ về tiền sử dị ứng, bệnh nền đang mắc và các loại thuốc đang sử dụng. Nếu chụp có tiêm thuốc cản quang thì cần xét nghiệm chức năng thận trước đó.
Ngoài ra, người bệnh nên mang theo các kết quả chụp chiếu hoặc xét nghiệm cũ (nếu có) để bác sĩ dễ dàng so sánh và đánh giá tổn thương chính xác hơn. Việc mặc trang phục thoải mái, hạn chế kim loại trên cơ thể cũng giúp quá trình chụp diễn ra thuận lợi.
Với CT phổi không tiêm thuốc, người bệnh thường không cần nhịn ăn. Trường hợp có tiêm thuốc cản quang, người bệnh có thể được yêu cầu nhịn ăn vài giờ để giảm nguy cơ buồn nôn.
Người bệnh nên uống đủ nước trước và sau khi chụp (nếu không có chống chỉ định) để hỗ trợ đào thải thuốc cản quang ra khỏi cơ thể nhanh hơn, đồng thời hạn chế cảm giác khó chịu sau khi thực hiện.
CT phổi là phương pháp rất hiệu quả trong phát hiện tổn thương nghi ngờ ung thư phổi, đặc biệt ở giai đoạn sớm. Tuy nhiên, chẩn đoán xác định vẫn cần kết hợp sinh thiết và các xét nghiệm chuyên sâu khác.
Bên cạnh đó, hình ảnh CT còn giúp bác sĩ đánh giá kích thước khối u, mức độ lan rộng và hỗ trợ theo dõi hiệu quả điều trị qua từng giai đoạn.

CT phổi sử dụng tia X nên có phơi nhiễm bức xạ ở mức nhất định. Tuy nhiên, liều tia được kiểm soát chặt chẽ và lợi ích chẩn đoán thường lớn hơn nguy cơ. Dù vậy, người bệnh không nên lạm dụng chụp CT khi không cần thiết.
Chụp CT phổi là công cụ chẩn đoán hình ảnh hiện đại giúp phát hiện sớm và theo dõi hiệu quả nhiều bệnh lý hô hấp nguy hiểm. Việc thực hiện chụp CT phổi đúng thời điểm theo chỉ định y khoa sẽ góp phần quan trọng trong bảo vệ sức khỏe phổi và nâng cao hiệu quả điều trị.
Xem thêm:
Dược sĩ Đại họcNguyễn Mỹ Huyền
Dược sĩ Đại học có nhiều năm kinh nghiệm trong việc tư vấn Dược phẩm và hỗ trợ giải đáp thắc mắc về Bệnh học. Hiện đang là giảng viên cho Dược sĩ tại Nhà thuốc Long Châu.