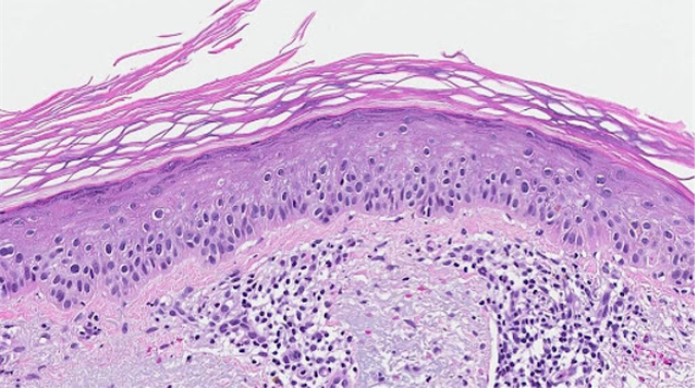
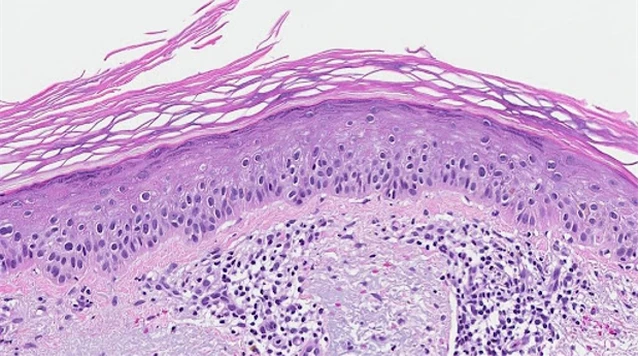
Dày sừng ánh sáng là một mảng hoặc vết sưng gồ ghề, có vảy trên da. Nó còn được gọi là dày sừng quang hóa. Dày sừng quang hóa rất phổ biến và nhiều người mắc phải. Chúng gây ra bởi tia cực tím (UV) gây hại cho da. Một số dày sừng actinic có thể biến thành ung thư da tế bào vảy. Vì thế, các tổn thương này thường được gọi là tiền ung thư. Chúng không nguy hiểm đến tính mạng, nhưng nếu được phát hiện và điều trị sớm chúng có thể phát triển thành ung thư da.
:format(webp)/da_mong_san_sui_nhu_da_ga_chua_bang_cach_nao_Bh_D_Xh_1666166384_58d03cbc38.jpg)
Tình trạng da mông sần sùi như da gà là điều không ai mong muốn, đặc biệt là chị em phụ nữ. Vậy có cách nào loại bỏ nhanh chóng tình trạng trên không? Hãy cùng khám phá ngay qua bài viết dưới đây nhé.
:format(webp)/cham_ban_tay_nguyen_nhan_va_phuong_phap_dieu_tri_benh_KVRMN_1650102254_eadc0ecec5.jpg)
Bàn tay thường là mục tiêu chính của các tác nhân gây bệnh chàm. Những vùng da bị bệnh chàm sẽ thường ngứa, đỏ rát và rất đau nếu như người bệnh không điều trị kịp thời. Bài viết dưới đây sẽ gợi ý cho bạn đọc một số phương pháp chăm sóc tay khi mắc phải bệnh chàm.