/https://cms-prod.s3-sgn09.fptcloud.com/covid_19_co_the_lam_tang_nguy_co_mac_benh_da_xo_cung_1_047eed5659.png)
Đại dịch Covid-19 đã để lại những hậu quả sâu sắc không chỉ về sức khỏe thể chất mà còn cả sức khỏe tâm thần. Nghiên cứu mới đây cho thấy, virus SARS-CoV-2 có thể có mối liên hệ bất ngờ với một căn bệnh thần kinh tự miễn khác, đó là đa xơ cứng. Vậy Covid-19 có thể làm tăng nguy cơ mắc bệnh đa xơ cứng như thế nào?
/https://cms-prod.s3-sgn09.fptcloud.com/cac_bien_the_sars_co_v_2_khang_thuoc_duoc_tim_thay_o_nhung_benh_nhan_suy_giam_mien_dich_2_8a9790e109.png)
Các biến thể SARS-CoV-2 kháng thuốc được tìm thấy ở những bệnh nhân suy giảm miễn dịch đang đặt ra mối đe dọa lớn cho sức khỏe cộng đồng. Những biến thể này không chỉ kháng thuốc mà còn có khả năng lây lan mạnh mẽ, tạo ra thách thức trong việc kiểm soát dịch bệnh và bảo vệ các nhóm dễ bị tổn thương.
/https://cms-prod.s3-sgn09.fptcloud.com/bi_covid_co_an_duoc_thit_ga_khong_nhung_dieu_nguoi_benh_can_luu_y_8085bf69b3.jpg)
Các triệu chứng điển hình khi nhiễm Covid-19 bao gồm sốt, hắt hơi, nghẹt mũi... Nhiều người cho rằng theo quan niệm dân gian, việc ăn thịt gà có thể làm tăng ho sốt và khiến bệnh trở nên nghiêm trọng hơn. Vậy người bị Covid có ăn được thịt gà không?
/https://cms-prod.s3-sgn09.fptcloud.com/hau_covid_co_trieu_chung_gi_va_lam_the_nao_de_giam_thieu_trieu_chung_hau_covid_Cropped_964423a959.jpg)
Nhiều người mắc Covid 19 và đã khỏi bệnh vẫn phải đối mặt với các triệu chứng kéo dài, hiện tượng này được gọi là "hậu Covid 19". Vậy cụ thể thì hậu Covid 19 có triệu chứng gì? Hãy cùng nhà thuốc Long Châu tìm hiểu qua bài viết dưới đây nhé!
/https://cms-prod.s3-sgn09.fptcloud.com/bi_covid_bao_lau_thi_test_lai_1_cb93892542.png)
Việc nhiễm Covid-19 đã trở thành một mối quan tâm lớn của cả thế giới trong thời gian gần đây. Sau khi mắc bệnh, nhiều người đặt câu hỏi: "Bị Covid bao lâu thì test lại?". Việc biết thời gian thích hợp để xét nghiệm lại là vô cùng quan trọng nhằm xác định tình trạng sức khỏe hiện tại và ngăn chặn sự lây lan của virus. Trong bài viết này, chúng ta sẽ cùng tìm hiểu về thời gian lý tưởng để xét nghiệm lại sau khi nhiễm Covid-19, các yếu tố ảnh hưởng đến kết quả xét nghiệm và khuyến nghị từ các chuyên gia y tế hàng đầu.
/https://cms-prod.s3-sgn09.fptcloud.com/covid_song_tren_vai_bao_lau_0_1b1654b0ba.jpg)
Covid có thể sống nhiều giờ, thậm chí nhiều ngày trên các loại bề mặt khác nhau. Điều này làm tăng nguy cơ lây lan mầm bệnh nên việc tìm hiểu Covid sống trên vải bao lâu sẽ giúp giảm đáng kể nguy cơ nhiễm Covid.
/https://cms-prod.s3-sgn09.fptcloud.com/mat_vi_giac_covid_la_nang_hay_nhe_1_f2fb314bec.jpg)
Mất vị giác là một trong những vấn đề được người bệnh và gia đình lo lắng khi mắc COVID. Do đó, rất nhiều người muốn biết rằng mất vị giác COVID là nặng hay nhẹ. Tham khảo bài viết dưới đây của Nhà thuốc Long Châu để có câu trả lời nhé!
/https://cms-prod.s3-sgn09.fptcloud.com/di_chung_hau_covid_o_tre_em_nhung_van_de_quan_trong_ba_me_can_luu_y_f1f2c25328.jpg)
Di chứng hậu Covid ở trẻ em kéo dài và phức tạp sau khi khỏi bệnh gây ra nhiều lo lắng cho các bậc cha mẹ. Các di chứng này không chỉ ảnh hưởng đến sức khỏe thể chất mà còn cả tinh thần của trẻ, đòi hỏi sự chú ý và can thiệp y tế để đảm bảo trẻ em có thể phục hồi hoàn toàn và phát triển khỏe mạnh.
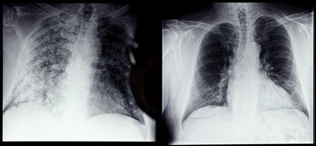
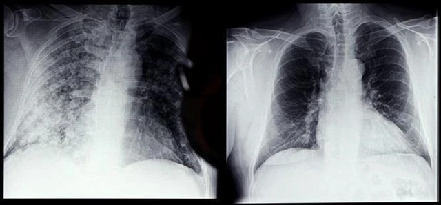
/https://cms-prod.s3-sgn09.fptcloud.com/nhung_dieu_ban_can_biet_ve_xo_phoi_sau_covid_v_Iv_BO_1661263521_129bf9f7da.jpg)
Một trong những mối đe dọa với các bệnh nhân hậu Covid chính là tình trạng xơ phổi. Xơ phổi hậu Covid có thể ảnh hưởng rất lớn đến sức khỏe người bệnh nếu không được phát hiện và điều trị kịp thời.
/https://cms-prod.s3-sgn09.fptcloud.com/giai_dap_thac_mac_co_can_di_kham_hau_covid_khong_d_LQ_Bt_1659022957_5754fbc6e1.jpg)
Các di chứng trong giai đoạn hậu Covid-19 gây ra nhiều ảnh hưởng xấu tới sức khỏe các bệnh nhân. Cần đi khám hậu Covid không cũng đang là nỗi niềm băn khoăn của nhiều người. Hãy theo dõi bài viết sau để có câu trả lời chính xác nhất.