:format(webp)/mri_cot_song_that_lung_giup_chan_doan_benh_gi_quy_trinh_thuc_hien_78ff1f68bd.jpg)
MRI cột sống thắt lưng là phương pháp chẩn đoán hình ảnh hiện đại, cho phép đánh giá chi tiết cấu trúc đĩa đệm, tủy sống, rễ thần kinh và các mô mềm xung quanh mà không sử dụng tia X. Kỹ thuật này thường được chỉ định khi người bệnh có triệu chứng đau lưng kéo dài, tê chân hoặc nghi ngờ thoát vị đĩa đệm.
:format(webp)/mri_dut_day_chang_cheo_truoc_2_d8b5e23621.png)
Dây chằng chéo trước (ACL) là một trong những cấu trúc quan trọng của khớp gối, giúp ổn định và kiểm soát chuyển động. Khi bị chấn thương đứt dây chằng chéo trước có thể gây đau đớn và ảnh hưởng nghiêm trọng đến khả năng vận động. MRI đứt dây chằng chéo trước là phương pháp chẩn đoán hình ảnh tiên tiến, giúp đánh giá chính xác mức độ tổn thương của dây chằng chéo trước mà không cần can thiệp xâm lấn phục vụ chẩn đoán và theo dõi điều trị các vấn đề liên quan.
:format(webp)/phuong_phap_mri_moi_co_the_du_doan_nguy_co_mac_benh_tim_bang_cach_phan_tich_mo_tim_4_3eea9bfecb.png)
Mỡ xung quanh tim hay còn gọi là mỡ màng ngoài tim là một yếu tố nguy cơ tiềm ẩn đối với các bệnh lý tim mạch. Các nhà khoa học tại Đại học Virginia đã phát triển phương pháp MRI mới có thể dự đoán nguy cơ mắc bệnh tim bằng cách phân tích mỡ tim giờ đây có thể phân tích thành phần mỡ tim và từ đó dự đoán nguy cơ mắc các bệnh tim mạch nghiêm trọng. Phương pháp này không chỉ giúp phát hiện sớm các vấn đề sức khỏe mà còn mở ra cơ hội cải thiện phương pháp điều trị, giảm thiểu những rủi ro đối với bệnh nhân tim.
:format(webp)/chup_mach_vanh_dien_ra_the_nao_co_nguy_hiem_khong_479f3da165.jpg)
Chụp mạch vành được dùng để đánh giá những bất thường trong động mạch vành. Từ đó có phương pháp điều trị phù hợp.
:format(webp)/doi_tuong_nen_chup_cong_huong_tu_toan_than_2_bee7fe1136.jpg)
Chụp cộng hưởng từ toàn thân (MRI) đại diện cho một phương pháp chẩn đoán hình ảnh tiên tiến nhất, mang lại khả năng phát hiện bất thường bên trong cơ thể với chất lượng hình ảnh vô cùng rõ nét. Những thuộc nhóm đối tượng nên chụp cộng hưởng từ toàn thân được nhiều người quan tâm. Hãy cùng Nhà thuốc Long Châu tìm hiểu nhé!
:format(webp)/gia_tri_chan_doan_dinh_huong_dieu_tri_va_quy_trinh_chup_mri_day_chang_ma_ban_nen_biet_38e17385dc.jpg)
Khi tổn thương dây chằng, mri là một trong những chỉ định phổ biến. Nhiều người thắc mắc chụp mri dây chằng giúp gì cho quá trình chẩn đoán, điều trị? Hãy cùng Nhà thuốc Long Châu tìm hiểu thêm về kỹ thuật này nhé!
:format(webp)/chup_mri_khop_hang_quy_trinh_va_chi_dinh_chup_cong_huong_tu_bd06954be4.jpg)
Để tầm soát hoặc chẩn đoán bệnh lý về khớp háng, bác sĩ sẽ chỉ định người bệnh chụp cộng hưởng từ. Nhà thuốc Long Châu sẽ gửi đến bạn quy trình chụp MRI khớp háng cũng như những trường hợp được chỉ định thực hiện chụp cộng hưởng từ.
:format(webp)/chup_mri_nao_cho_thai_nhi_tam_quan_trong_va_quy_trinh_170fdec49b.jpg)
Bạn đang bước vào giai đoạn mang bầu và quan tâm đến sức khỏe của thai nhi. Trong quá trình chuẩn bị cho việc sinh con, việc chụp MRI não cho thai nhi có thể là một yếu tố quan trọng bạn cần xem xét. Tại sao chụp MRI não lại quan trọng và liệu quy trình này có an toàn cho thai nhi hay không? Bổ sung thêm kiến thức về chụp MRI não cho thai nhi qua bài viết này của Nhà Thuốc Long Châu.
:format(webp)/phuong_phap_chup_mri_khop_vai_la_gi_khi_nao_can_thuc_hien_chup_mri_khop_vai_6f85844b55.jpg)
Khả năng vận động của khớp vai vượt trội so với các khớp khác vì vậy khớp vai cũng dễ bị tổn thương hơn. Sử dụng kỹ thuật chụp MRI khớp vai có thể chẩn đoán chính xác các bệnh lý liên quan đến hệ thống xương và khớp. Cùng tìm hiểu kỹ hơn về kỹ thuật chụp MRI khớp vai trong bài viết dưới đây.
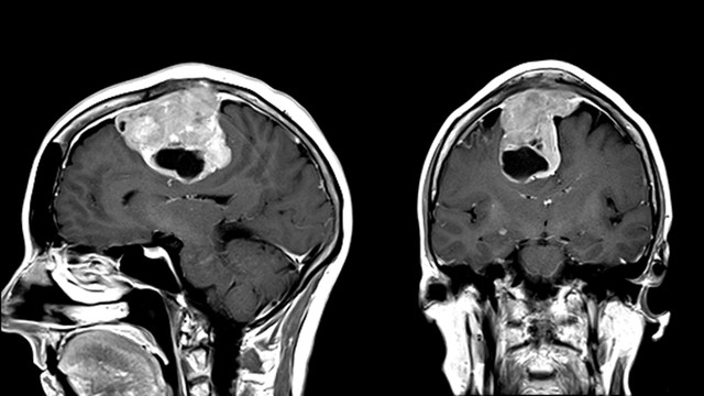
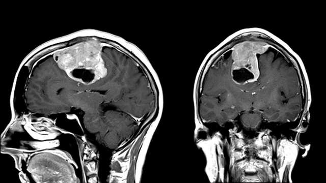
:format(webp)/tim_hieu_ve_vai_tro_cua_chup_mri_u_mang_nao_trong_chan_doan_benh_c61af8a869.jpg)
Chụp cộng hưởng từ (MRI) đóng vai trò quan trọng trong chẩn đoán và đánh giá u màng não. Vậy chụp MRI là gì? Vai trò của chụp MRI u màng não trong chẩn đoán bệnh như thế nào? Trong bài viết hôm nay, Nhà thuốc Long Châu sẽ phân tích những ưu điểm của MRi trong chẩn đoán bệnh u màng não nhé!