Dược sĩ chuyên ngành Dược lâm sàng, với nhiều năm kinh nghiệm làm việc trong lĩnh vực dược phẩm. Là Dược sĩ Long Châu đạt được chứng chỉ bệnh học cấp quốc tế. Hiện đang là giảng viên tại Trung tâm Đào tạo FPT Long Châu.
Ánh Vũ
02/01/2024
Mặc định
Lớn hơn
Chụp cộng hưởng từ (MRI) đóng vai trò quan trọng trong chẩn đoán và đánh giá u màng não. Vậy chụp MRI là gì? Vai trò của chụp MRI u màng não trong chẩn đoán bệnh như thế nào? Trong bài viết hôm nay, Nhà thuốc Long Châu sẽ phân tích những ưu điểm của MRi trong chẩn đoán bệnh u màng não nhé!
U màng não là một loại khối u nội sọ thường gặp nhất trong các loại khối u nguyên phát ở vùng sọ não. Đây là một bệnh lý lành tính nhưng rất khó phát hiện sớm do không có triệu chứng rõ ràng. Trong khi đó, chụp MRI màng não là phương pháp tuyệt vời nhất trong tầm soát và phát hiện ra bệnh u màng não. Bác sĩ có thể quan sát một cách rõ ràng về hình thái, kích thước và mức độ xâm lấn của khối u.
Màng não bao bọc đại não được cấu tạo bởi 3 lớp màng: Màng nhện, màng mềm và màng cứng.
U màng não thường xuất phát từ tế bào màng nhện và có thể phát hiện ở bất vị trí nào của màng não như nền sọ, vòm xương sọ, tủy sống hoặc rễ thần kinh. Hầu hết các ca bệnh u màng não đều là lành tính, chỉ có một vài trường hợp chuyển sang u ác tính.
Khối u màng não có thể phát triển đến một kích thước rất lớn và cần phải can thiệp điều trị u màng não bằng phẫu thuật hoặc xạ trị sau phẫu thuật. Ngược lại, với các khối u màng não có kích thước nhỏ thì thường không cần điều trị hay can thiệp.
Các khối u màng não tại vùng nền sọ sẽ có xu hướng xâm lấn và phát triển mạnh vào các lỗ tự nhiên của nền sọ, từ đó gây chèn ép vào thần kinh và gây ra các triệu chứng thần kinh dữ dội. Lúc này, người bệnh có thể bị nguy hiểm đến tính mạng nếu không được điều trị kịp thời và đúng cách.
Cho đến nay, nguyên nhân gây ra bệnh u màng não vẫn chưa được xác định rõ ràng. Một số nguyên nhân thường được nghĩ đến có thể là do di truyền, người bệnh thường xuyên tiếp xúc với nguồn phóng xạ độc hại, sống trong môi trường ô nhiễm hoặc chủng tộc người (người da đen thường có tỷ lệ mắc bệnh u màng não cao hơn so với người da trắng). Vậy dấu hiệu u màng não như thế nào?

Khối u màng não kích thước nhỏ thường không gây ra dấu hiệu, triệu chứng gì cho người bệnh. Tuy nhiên, khi khối u phát triển với kích thước lớn sẽ gây chèn ép sang các cơ quan xung quanh. Lúc này, người bệnh bị u màng não sẽ có các triệu chứng như sau:
U màng não gây ra nhiều triệu chứng nghiêm trọng và gây ảnh hưởng không nhỏ đến sức khỏe cũng như cuộc sống của người bệnh. Do đó, việc phát hiện sớm, can thiệp và điều trị kịp thời là điều rất cần thiết. Tuy nhiên, việc chẩn đoán bệnh u màng não giai đoạn sớm không hề dễ dàng. Bác sĩ sẽ chỉ định người bệnh thực hiện các xét nghiệm cận lâm sàng để hỗ trợ chẩn đoán bệnh, trong đó chụp cộng hưởng từ (MRI) là kỹ thuật đóng vai trò vô cùng quan trọng trong chẩn đoán u màng não. Vậy chụp MRI là gì?

Chụp cộng hưởng từ (MRI - Magnetic Resonance Imaging) là một kỹ thuật chẩn đoán hình ảnh không xâm lấn nhằm thu lại hình ảnh của các cơ quan trong cơ thể sống thông qua việc quan sát lượng nước bên trong của từng cấu trúc, cơ quan. Nguyên lý hoạt động của cộng hưởng từ là dựa trên một hiện tượng vật lý - cộng hưởng từ hạt nhân.
Bên cạnh đó, chụp MRI có sự khác biệt rõ rệt so với chụp X-quang, bởi chụp X-quang dùng năng lượng bức xạ từ tia X còn chụp cộng hưởng từ sử dụng năng lượng vô tuyến điện. Chính vì thế, nguy cơ người bệnh bị nhiễm xạ khi chụp MRI là hoàn toàn không có, đồng thời cấu trúc hình ảnh được phản ánh một cách rõ ràng hơn. Vì vậy, phương pháp chẩn đoán này được ưu tiên áp dụng trong việc khảo sát các bệnh lý mô mềm với cấu trúc tinh vi hoặc đan xen phức tạp. Vậy vai trò của chụp MRI u màng não trong chẩn đoán bệnh là gì?

Như đã nói, chụp MRI là kỹ thuật dùng sóng điện từ nhằm tác động vào các phân tử Hydro trong các mô (bao gồm mô mỡ và nước) để tạo ra tín hiệu hình ảnh. Kỹ thuật này được thực hiện dựa trên hiện tượng cộng hưởng từ trường của hạt nhân.
Kỹ thuật chẩn đoán hình ảnh MRI vừa hiện đại lại rất an toàn, không gây độc hại cho cơ thể của người chụp. Do đó, chụp MRI có thể được chỉ định cho hầu hết các đối tượng, bao gồm cả phụ nữ có thai. Hơn nữa, chụp cộng hưởng từ có độ đặc hiệu rất cao trong việc phát hiện cũng như đánh giá khối u màng não và giúp ích rất nhiều cho quá trình điều trị. Vậy vai trò của chụp MRI u màng não trong chẩn đoán bệnh là gì?
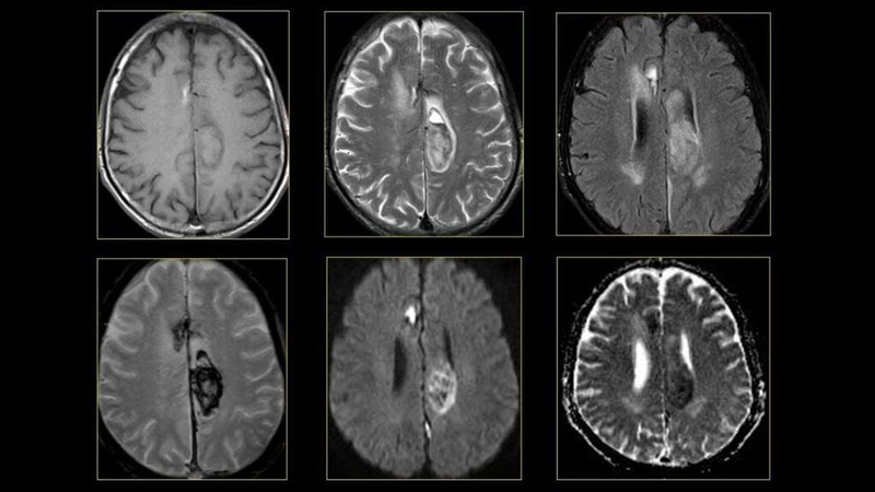
Trên hình ảnh T1W, khối u màng não sẽ có tín hiệu giống với các nhu mô não xung quanh, đồng thời chuỗi xung này chủ yếu dùng để đánh giá xuất huyết trong u hoặc u hoại tử.
Tuy nhiên, các khối u trên hình ảnh T1W FAT SAT sau khi tiêm Gadolinium (thuốc cản quang) ngấm thuốc rất mạnh và rõ nét, từ đó giúp xác định chính xác vị trí, kích thước cũng như mức độ xâm lấn xung quanh của khối. Trong khi đó, khối u màng não khó có thể tiên lượng được trên các chuỗi xung không tiêm thuốc cản quang.
Hầu hết các khối u màng não đều cần phải chụp MRI có tiêm thuốc cản quang nhằm chẩn đoán xác định, đồng thời giúp phân biệt với các loại khối u khác. Điều này giúp bác sĩ tiên lượng bệnh một cách chính xác để đưa ra được phương pháp điều trị phù hợp nhất cho bệnh nhân.
Trên hình ảnh T2W, các khối u màng não thường sẽ tăng tín hiệu một cách rõ nét. Điều này giúp bác sĩ có thể nhìn thấy rõ ràng hơn về đường bờ, ranh giới và kích thước của khối u màng não.
Bên cạnh đó, hình ảnh T2W cũng giúp bác sĩ biết được tính chất và bản chất bên trong của khối u, đồng thời giúp đánh giá mức độ chảy máu xung quanh khối u và đè đẩy nhu mô não.
Hơn nữa, trên chuỗi xung đảo ngược T2 Flair sẽ giúp đánh giá rất tốt về sự phù nề. Đây là một chuỗi xung cực kỳ quan trọng trong kỹ thuật chụp cộng hưởng từ sọ não và luôn được chụp trước tiên nhằm đánh giá tổng thể nhu mô não.
Ngoài ra, chụp MRI u màng não còn giúp phát hiện ra nhiều bệnh lý nghiêm trọng khác có liên quan đến nhu mô não, mạch máu, thần kinh, xoang và xác định nguyên nhân gây ra chứng động kinh, tai biến mạch máu não, nhồi máu não…
Qua những thông tin trên, bạn có thể thấy vai trò vô cùng to lớn của chụp MRI u màng não trong chẩn đoán bệnh lý này nói riêng và các bệnh lý nhu mô não nói chung, giúp bác sĩ đưa ra chẩn đoán kịp thời đối với nhiều bệnh lý nguy hiểm mà khó có thể quan sát thấy trên các kỹ thuật chẩn đoán khác.

Tóm lại, chụp MRI u màng não đóng vai trò quan trọng trong việc chẩn đoán nhiều bệnh lý liên quan đến nhu mô não. Hơn nữa, kỹ thuật chụp cộng hưởng sử dụng năng lượng vô tuyến điện nên rất chính xác và an toàn cho người chụp, đồng thời có thể áp dụng cho hầu hết mọi đối tượng.
Xem thêm:
Dược sĩ Đại họcPhạm Nguyễn Hoàng Kim
Dược sĩ chuyên ngành Dược lâm sàng, với nhiều năm kinh nghiệm làm việc trong lĩnh vực dược phẩm. Là Dược sĩ Long Châu đạt được chứng chỉ bệnh học cấp quốc tế. Hiện đang là giảng viên tại Trung tâm Đào tạo FPT Long Châu.