:format(webp)/khi_nao_bac_si_se_chi_dinh_phau_thuat_noi_soi_pha_nang_mang_nhen_0_b65ad8d411.jpg)
Trong các phương pháp phẫu thuật nang màng nhện thì mổ nội soi phá nang màng nhện là phương pháp an toàn thường được sử dụng. Vậy mổ nội soi phá nang màng nhện là phẫu thuật gì, được chỉ định khi nào?
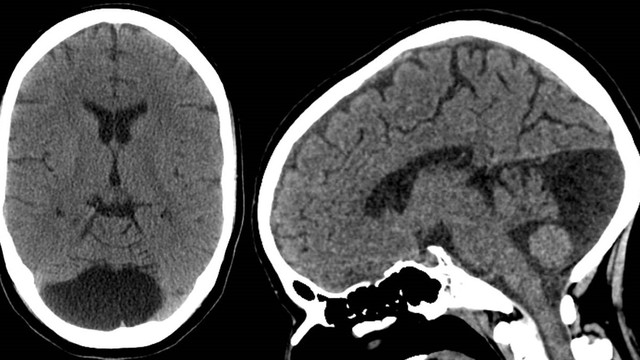
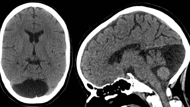
:format(webp)/moi_lien_quan_giua_kich_thuoc_nang_mang_nhen_va_muc_do_nguy_hiem_dda87cec06.jpg)
Nang màng nhện là một nang nước trong não hoặc tủy sống có chứa dịch não tủy. Mỗi khi nhắc đến nang màng nhện, nhiều người vẫn chưa hiểu rõ mối liên quan giữa kích thước nang màng nhện và mức độ nguy hiểm. Cùng Nhà thuốc Long Châu làm sáng tỏ mối liên quan này trong bài viết sức khỏe hôm nay bạn nhé.
:format(webp)/nang_mang_nhen_co_nguy_hiem_khong_tim_hieu_ve_trieu_chung_nguy_co_va_dieu_tri_hieu_qua_be23974589.jpg)
Nang màng nhện là một vấn đề sức khỏe đáng lo ngại mà nhiều người quan tâm. Nhiều người tỏ ra lo lắng và muốn biết liệu nang màng nhện có nguy hiểm không. Qua bài viết này, chúng ta sẽ cùng tìm hiểu về triệu chứng, nguy cơ và các phương pháp điều trị hiệu quả cho u nang màng nhện.
:format(webp)/nang_man_nhen_o_tre_em_co_nguy_hiem_khong_0_9b7bf4d453.jpg)
Nang màng nhện ở trẻ em thường không gây quá nhiều nguy hiểm và có thể không chuyển thành ung thư. Nhưng đối với 1 số trường hợp nang màng nhện to ra, chèn ép vào não, gây ảnh hưởng đến chức năng của não thì bạn cần phải xem xét điều trị tiến hành phẫu thuật.
:format(webp)/nang_mang_nhen_o_thai_nhi_la_gi_0_52cc96aab7.jpg)
Một trong các bệnh mà sàng lọc trước sinh phát hiện được là nang màng nhện ở thai nhi. Vậy đây là căn bệnh gì và có nguy hiểm với em bé không?
:format(webp)/u_nang_mang_nhen_nao_1_69658745f9.jpg)
U nang màng nhện là một túi chứa chất lỏng phát triển trên não hoặc tủy sống. Chúng không phải là khối u và không phải là ung thư. Trong một số trường hợp hiếm, nếu chúng phát triển quá lớn đè lên các cấu trúc khác, có thể gây tổn thương não hoặc các vấn đề về vận động. Bài viết hôm nay sẽ giúp mọi người hiểu rõ hơn về bệnh lý u nang màng nhện.