Kim Huệ
03/04/2024
Mặc định
Lớn hơn
Một trong các bệnh mà sàng lọc trước sinh phát hiện được là nang màng nhện ở thai nhi. Vậy đây là căn bệnh gì và có nguy hiểm với em bé không?
Nang màng nhện ở thai nhi là một bệnh bẩm sinh và thường được phát hiện trong lúc mang thai qua các phương pháp sàng lọc trước sinh hiện đại ngày nay. Nhiều sản phụ đến khám và phát hiện con mình có nang màng nhện rất lo lắng, bài viết sau sẽ giúp bạn hiểu rõ hơn về căn bệnh hiếm gặp này
Để hiểu rõ hơn về u nang màng nhện ở thai nhi, trước tiên ta cần biết thế nào là nang màng nhện? Về mặt mô học, nang màng nhện là một khối choáng chỗ lành tính chứa đầy dịch não tủy tại hệ thần kinh trung ương. Hấu hết các trường hợp là tổn thương lành tính, có thể nằm ở nội sọ (đa số nằm ở vị trí trên lều), tủy sống hoặc quanh dây thần kinh. Thông thường khoảng 50% các nang màng nhện xuất hiện ở hố sọ giữa, 11% là ở góc cầu - tiểu não, 8-9% ở vùng yên, ống sống.
Tiên phát hay còn gọi là nang bẩm sinh, có thể phát hiện dưới dạng nang màng nhện ở thai nhi:
Thứ phát (mắc phải) chiếm 1-5%:
Nang màng nhện có thể ảnh hưởng đến thần kinh trung ương hoặc thần kinh ngoại biên.

Một vài giả thuyết được đặt ra về sự hình thành nang màng nhện ở thai nhi cũng như ở người bình thường là:
Sự phát triển, lớn lên của nang cũng do nhiều nguyên nhân:
Mặc dùng bệnh rất hiếm gặp nhưng bệnh có thể kết hợp với các tổn thương sau đây:
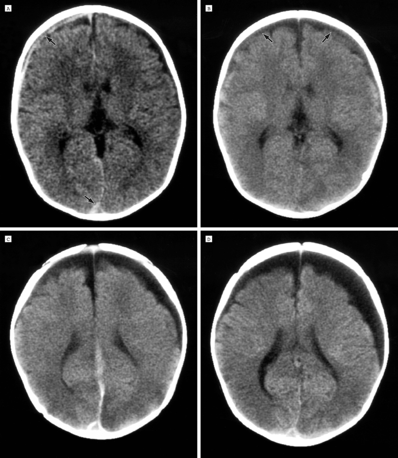
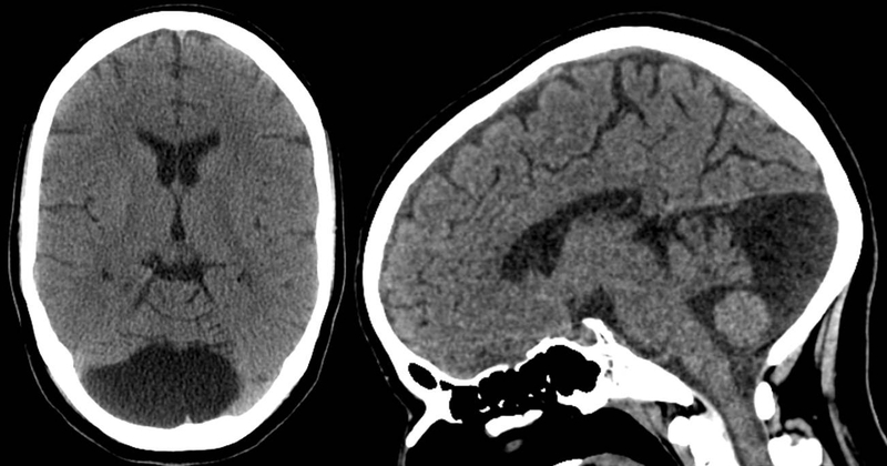
Nang màng nhện ở thai nhi là một nang đơn độc, chưa nước, dịch não tủy và thường xuất hiện ở não hoặc tủy sống. Hầu hết các trường hợp là dạng tổn thương lành tính, hiếm khi liên quan đến các bất thường nhiễm thể thường gặp trong lúc mang thai như NST 13, 18, 21 hay bất thường về não khác, chỉ có 2-5% có liên quan đến chấn thương hoặc nhiễm trùng (nang thứ phát). Nang màng nhện ở thai nhi được chia ra giới hạn bởi 2 lớp là: Màng trong và màng ngoài. Các lớp màng này có thể được tạo ra bởi tế bào thần kinh đệm, tế bào màng ống nội tủy hay lá của tế bào màng nhện.

Khi được chẩn đoán nang màng nhện thai nhi, rất nhiều sản phụ vô cùng lo lắng và sợ ảnh hưởng đến thai nhi sau này. Tuy nhiên nang màng nhện đa số thường lành tính, bé có thể phát triển bình thường mà không bị ảnh hưởng gì đến hệ thần kinh, phát triển tâm vận của trẻ. Trong một số trường hợp đặt biệt, nang màng nhện ở thai nhi phát triển quá nhanh, quá lớn, gây chèn ép, tăng áp lực nội sọ hay có một số triệu chứng thì sẽ có chỉ định phẫu thuật. Phương pháp được cân nhắc trước hết, dựa trên triệu chứng, vị trí và kích thước của nang là phương pháp phẫu thuật, tạo đường dẫn đến các khoang hấp thụ dịch nang.
Hầu hết các trường hợp mắc bệnh không có triệu chứng lâm sàng và thường được phát hiện một cách tình cờ. Các triệu chứng của nang màng nhện phụ thuộc vào kích thước, vị trí nang và thường không đặc hiệu.
Các triệu chứng của nang màng nhện nội sọ bao gồm:
Các triệu chứng của nang màng nhện ở tủy sống bao gồm:

Tóm lại, nang màng nhện ở thai nhi là một bệnh bẩm sinh lành tính và phần lớn sẽ không ảnh hưởng gì đến trẻ sau này. Tuy nhiên, dù là một bệnh lành tính nhưng người bệnh phải thường xuyên thăm khám, theo dõi và phát hiện kịp thời những triệu chứng nguy hiểm nhằm đảm bảo sức khỏe cho chính mình.
Xem thêm: Mối liên quan giữa kích thước nang màng nhện và mức độ nguy hiểm