Tốt nghiệp Đại Học Dược Hà Nội - chuyên môn Dược lâm sàng. Hiện đang là giảng viên cho Dược sĩ tại Nhà thuốc Long Châu.
Ánh Vũ
03/04/2024
Mặc định
Lớn hơn
Nang màng nhện là một vấn đề sức khỏe đáng lo ngại mà nhiều người quan tâm. Nhiều người tỏ ra lo lắng và muốn biết liệu nang màng nhện có nguy hiểm không. Qua bài viết này, chúng ta sẽ cùng tìm hiểu về triệu chứng, nguy cơ và các phương pháp điều trị hiệu quả cho u nang màng nhện.
Nang màng nhện là một nang chứa dịch não tủy trong não hoặc tủy sống. Thường thì nang màng nhện có nguồn gốc bẩm sinh và xuất phát từ quá trình phân tách màng nhện trong giai đoạn phôi thai. Đa số các trường hợp nang màng nhện lành tính, chỉ có khoảng 1 - 5% được liên quan đến chấn thương hoặc nhiễm trùng. Vậy nang màng nhện có nguy hiểm không?
Nang màng nhện phát triển trong màng nhện, một trong ba lớp màng bảo vệ não. Nó tồn tại tự nhiên trong não dưới dạng một túi chứa dịch não tủy. Hầu hết các nang màng nhện là nhỏ, không gây ra triệu chứng và thường nằm ở vùng thái dương.
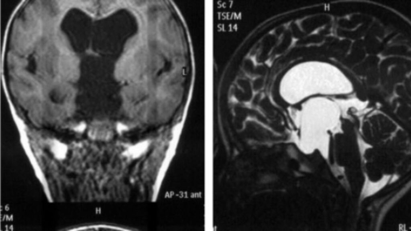
Nang màng nhện là một cấu trúc khép kín chứa dịch não tủy và có thể xuất hiện ở các vùng khác nhau của não hoặc tủy sống. Thông thường, nó không gây ra bất kỳ triệu chứng nào và được phát hiện ngẫu nhiên trong quá trình chụp cắt lớp (CT scan) hoặc cộng hưởng từ (MRI). Tuy nhiên, đôi khi nang màng nhện có thể dẫn đến các biến chứng nghiêm trọng. Nên vấn đề nang màng nhện có nguy hiểm không vẫn đang là nỗi lo của nhiều người.
Nguyên nhân gốc của nang màng nhện hầu hết là bẩm sinh, tức là nó xuất hiện từ khi sinh ra. U nang cũng có thể phát triển do chấn thương ở đầu hoặc ở cột sống. Chấn thương có thể gây ra sự tạo thành và tích tụ dịch trong nang màng nhện, dẫn đến sự phình to và tạo nên u.
Việc điều trị nang màng nhện phụ thuộc vào triệu chứng, kích thước, vị trí hình thành của nó. Trong trường hợp nhỏ và không gây ra triệu chứng, theo dõi chẩn đoán có thể được áp dụng. Tuy nhiên, nếu u lớn, gây áp lực lên não hoặc gây ra triệu chứng như đau đầu, buồn nôn, hoặc rối loạn chức năng thần kinh. Phẫu thuật có thể được xem xét để loại bỏ hoàn toàn u.
Quá trình điều trị cũng có thể bao gồm giảm thiểu triệu chứng và hỗ trợ bằng thuốc, nhưng hiệu quả của phương pháp này không được đảm bảo. Việc quyết định về điều trị sẽ được đưa ra sau khi đánh giá kỹ lưỡng các yếu tố liên quan và thảo luận giữa bác sĩ và bệnh nhân.

Nang màng nhện thường không nguy hiểm và không có khả năng chuyển thành ung thư. Tuy nhiên, trong một số trường hợp khi nang màng nhện có kích thước lớn, gây áp lực lên não và ảnh hưởng đến chức năng não, điều trị phẫu thuật có thể cần thiết. Sau một vụ va đập đầu, đôi khi không có dấu hiệu chảy máu ngay lập tức, nhưng sau đó có thể có sự chảy máu nhỏ dẫn đến tình trạng tụ máu ngoài màng cứng. Khối máu này có thể tăng kích thước dần và gây áp lực lên não. Nếu bạn gặp đau đầu trong vòng 3 tháng sau sự cố và cảm thấy nó tăng dần, hoặc có dấu hiệu thần kinh suy nhược, bạn nên tái khám bác sĩ chuyên khoa chấn thương để được đánh giá và điều trị.

Nguyên nhân hình thành bệnh nang màng nhện chưa được hiểu rõ hoàn toàn. Tuy nhiên, có một số yếu tố được cho là có thể đóng vai trò trong quá trình phát triển u. Dưới đây là một số nguyên nhân có thể góp phần vào hình thành bệnh u nang màng nhện:
Cần lưu ý rằng trên đây chỉ là một số nguyên nhân phổ biến được đề cập, và không phải tất cả các trường hợp nang màng nhện đều có nguyên nhân rõ ràng. Để hiểu rõ hơn về nguyên nhân cụ thể và tìm hiểu điều trị phù hợp, việc tham khảo bác sĩ chuyên khoa là cần thiết.

Phần lớn các nang màng nhện không gây triệu chứng, không ảnh hưởng đến sức khỏe và không làm xáo trộn quá trình phát triển bình thường của não. Thường thì, nang màng nhện được phát hiện ngẫu nhiên trong quá trình chụp cắt lớp (MRI, CT scan) để chẩn đoán một bệnh lý khác như viêm xoang, đau nửa đầu chấn thương hoặc viêm xoang.
Tuy nhiên, trong một số trường hợp khác, u có thể gây ra các triệu chứng khác nhau tùy thuộc vào kích thước và vị trí của nó. Dưới đây là một số triệu chứng được ghi nhận ở các bệnh nhân mắc u nang màng nhện:
Nang màng nhện có thể xuất hiện ở bất kỳ vị trí nào trên cơ thể, như trán, thái dương, đỉnh chẩm, tiểu não, bán thân, cột sống, thắt lưng, lồng ngực và nhiều nơi khác.

Các phương pháp chẩn đoán và điều trị nang màng nhện có triệu chứng thường được tiến hành dựa trên đánh giá bệnh lý và các triệu chứng của bệnh nhân.
Quá trình chẩn đoán và điều trị nang màng nhện có triệu chứng cần được thực hiện bởi bác sĩ chuyên khoa trong lĩnh vực này, chẳng hạn như bác sĩ thần kinh học hoặc bác sĩ phẫu thuật não. Việc lựa chọn phương pháp điều trị phụ thuộc vào tình trạng sức khỏe của bệnh nhân, kích thước và vị trí của u, và các yếu tố cá nhân khác.
Phương pháp điều trị nang màng nhện phụ thuộc vào từng trường hợp cụ thể và dựa trên tính chất và mức độ ảnh hưởng của u nang, cũng như tình trạng sức khỏe và hồ sơ tiền sử của bệnh nhân. Mỗi phương pháp điều trị cũng có những rủi ro riêng, bao gồm nguy cơ tái phát u nang, nguy cơ nhiễm trùng và nguy cơ xuất huyết.

Ngoài những thông tin về nguyên nhân, triệu chứng, thì bài viết đã có câu trả lời cho câu hỏi: Nang màng nhện có nguy hiểm không? Nang màng nhện không phải lúc nào cũng nguy hiểm, tuy nhiên, điều quan trọng là phải nhận biết và xử lý bệnh tình này một cách chính xác và kịp thời. Việc hiểu rõ về triệu chứng, nguy cơ và phương pháp điều trị sẽ giúp chúng ta tiếp cận với thông tin và sự chăm sóc y tế cần thiết. Nếu bạn có bất kỳ triệu chứng hoặc nghi ngờ về u nang màng nhện, hãy tham khảo ý kiến của bác sĩ chuyên khoa để được khám và điều trị đúng cách.
Xem thêm:
:format(webp)/KF_1b_LIQ_Tx_J_Pb27_Vsh90_QN_6b_Xz_OB_Jo_U_f0e2294e2e.png)
Dược sĩ Đại họcNguyễn Chí Chương
Tốt nghiệp Đại Học Dược Hà Nội - chuyên môn Dược lâm sàng. Hiện đang là giảng viên cho Dược sĩ tại Nhà thuốc Long Châu.