/https://cms-prod.s3-sgn09.fptcloud.com/7_nguyen_tac_an_uong_giup_lam_cham_su_phat_trien_cua_te_bao_ung_thu_ma_co_the_ban_chua_biet_0_992be57c96.png)
Một chế độ ăn uống lành mạnh và khoa học là một trong những yếu tố quan trọng và thiết yếu trong xây dựng một cơ thể khỏe mạnh. Trong hầu hết các phương pháp điều trị bệnh mạn tính, kể cả bệnh lý ung thư đều có vai trò mạnh mẽ của dinh dưỡng. Để đạt được những hiệu quả tối ưu cần tuân thủ những nguyên tắc mà có thể nhiều người chưa biết.
/https://cms-prod.s3-sgn09.fptcloud.com/te_bao_khong_dien_hinh_la_gi_te_bao_khong_dien_hinh_co_phai_la_ung_thu_14991b3ad1.jpg)
Ở Việt Nam, việc tầm soát ung thư ngày càng trở nên quan trọng. Kết quả xét nghiệm Pap smear hoặc sinh thiết giải phẫu bệnh thường khiến người bệnh lo lắng, đặc biệt khi phát hiện tế bào không điển hình thắc mắc rằng tế bào không điển hình là gì? Tế bào không điển hình có phải là ung thư?
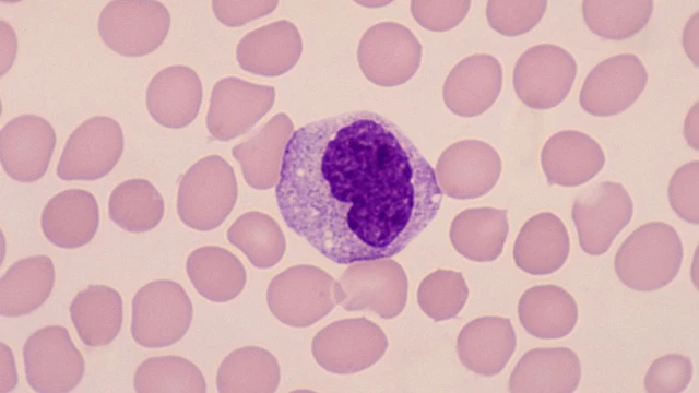
/https://cms-prod.s3-sgn09.fptcloud.com/te_bao_tieu_diet_tu_nhien_nk_nhung_dieu_can_biet_de4642ee4e.jpg)
Tế bào diệt tự nhiên hay còn gọi tắt là tế bào NK được coi là một hệ thống phòng thủ bảo vệ cơ thể chúng ta khỏi các khối u và các bệnh nhiễm trùng khác. Bài viết dưới đây sẽ cung cấp cho bạn những điều cần biết về loại tế bào tiêu diệt tự nhiên này.
/https://cms-prod.s3-sgn09.fptcloud.com/thang_diem_gleason_la_gi_nhung_thong_tin_can_biet_ve_ung_thu_tuyen_tien_liet_5ae3b4c78c.jpg)
Ung thư tuyến tiền liệt là một trong những bệnh ung thư phổ biến nhất ở nam giới. Thang điểm Gleason là một trong những công cụ được sử dụng để chẩn đoán mức độ và điều trị ung thư tuyến tiền liệt. Hãy cùng tìm hiểu về thang điểm Gleason qua bài viết dưới đây.
/https://cms-prod.s3-sgn09.fptcloud.com/te_bao_ung_thu_chet_o_nhiet_do_bao_nhieu_1_5ae3d539cf.jpg)
Phương pháp điều trị tế bào ung thư bằng cách tăng nhiệt độ cơ thể đã có từ lâu đời, cách này giúp làm hỏng và tiêu diệt các tế bào ung thư nhưng không gây tổn thương nghiêm trọng đến các tế bào bình thường. Để thực hiện phương pháp này cần nắm được tế bào ung thư chết ở nhiệt độ bao nhiêu. Chúng ta hãy cùng tìm hiểu nhé!
/https://cms-prod.s3-sgn09.fptcloud.com/virus_diet_ung_thu_1_Cropped_ba7de7aa3d.jpg)
Virus diệt ung thư được tạo ra để xác định và tiêu diệt tế bào ung thư. Virus diệt ung thư (virus oncolytic) bao gồm các loại như virus Herpes, virus Vaccinia, virus Zika, virus bại liệt,...
/https://cms-prod.s3-sgn09.fptcloud.com/5_bo_phan_co_nguy_co_bi_ung_thu_cao_nhat_hien_nay_1_1b3f974d8e.jpg)
Ung thư luôn là bệnh lý nguy hiểm đe dọa mạng sống của con người mà mỗi khi nhắc đến đều khiến chúng ta lo lắng sợ hãi. Vậy những bộ phận có nguy cơ bị ung thư trên cơ thể là gì và nguyên nhân là do đâu?
/https://cms-prod.s3-sgn09.fptcloud.com/bai_vietgiai_dap_thac_mac_te_bao_ung_thu_so_gi_nhat_html_8a4ff20615.png)
Ung thư là một trong những căn bệnh nguy hiểm nhất vì khả năng gây tử vong rất cao. Trong quá trình điều trị ung thư, người bệnh thường thắc mắc tế bào ung thư sợ gì nhất? Yếu tố nào có thể tiêu diệt được tế bào ung thư?
/https://cms-prod.s3-sgn09.fptcloud.com/thac_mac_te_bao_ung_thu_phat_trien_nhu_the_nao_a5ceda47e2.jpg)
Ung thư là nỗi ám ảnh của tất cả chúng ta, do đó việc hiểu được sự hình thành của tế bào ung thư là bước đầu tiên hướng tới việc điều trị và phòng ngừa hiệu quả. Bài viết sau đây sẽ giúp bạn tìm hiểu tế bào ung thư phát triển như thế nào, xâm lấn và di căn ra sao nhé.
/https://cms-prod.s3-sgn09.fptcloud.com/thac_mac_te_bao_ung_thu_thich_an_gi_nhat_4_dd043e5b02.jpg)
Nghe nhắc đến ung thư, hầu như ai cũng lo sợ mình bị mắc phải. Phòng bệnh hơn chữa bệnh. Biết tế bào ung thư thích ăn gì sẽ giúp chúng ta chủ động tránh xa các loại thực phẩm giúp tế bào ung thư có cơ hội phát triển và gây hại.