:format(webp)/noi_cuc_trong_mieng_khong_dau_nguyen_nhan_do_dau_5100f570b6.jpg)
Nổi cục trong miệng không đau có thể xuất hiện do nhiều nguyên nhân khác nhau, từ tổn thương nhẹ đến bệnh lý nghiêm trọng. Đây là dấu hiệu cần được chú ý, vì có thể liên quan đến các vấn đề sức khỏe tiềm ẩn.
:format(webp)/612_u_rang_6953_5c22_large_b5984f17d6.jpg)
U răng là tình trạng xuất hiện một khối u lành tính liên quan đến sự phát triển răng. Đó là một mô thừa nha khoa, bao gồm các mô răng phát triển bất thường.
:format(webp)/ap_xe_rang_nguyen_nhan_cach_dieu_tri_va_phong_ngua_hieu_qua_lyvof_1680774511_87fe5a314c.jpg)
Trong chăm sóc sức khỏe răng miệng, áp xe răng là một bệnh lý phổ biến. Nếu bạn gặp vấn đề về áp xe răng, hãy cố gắng tìm kiếm phương pháp điều trị kịp thời để ngăn ngừa sự lây lan của nhiễm trùng đến các vùng khác trong miệng.
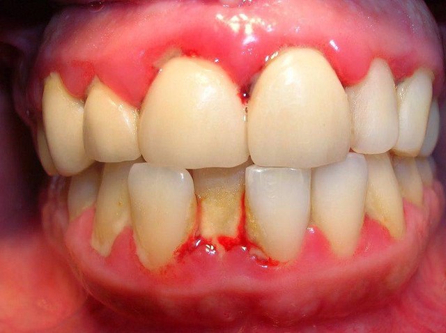
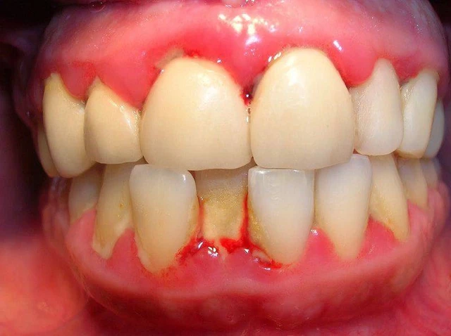
:format(webp)/ap_xe_rang_o_tre_em_bien_chung_nguy_hiem_cua_nhiem_trung_rang_mieng_Dl_Zin_1679646260_c663b09d6b.jpg)
Áp xe răng là một biến chứng nguy hiểm của nhiễm trùng do sâu răng, bệnh lý nướu hoặc nứt răng. Đặc biệt, ở trẻ em, áp xe răng không chỉ ảnh hưởng đến hình dạng khuôn mặt, khả năng phát âm mà còn để lại nhiều biến chứng nguy hiểm khác.