:format(webp)/chay_mau_chan_rang_nguyen_nhan_va_cach_khac_phuc_hieu_qua_1_435d6b6411.jpg)
Chảy máu chân răng là tình trạng khá phổ biến nhưng tiềm ẩn nhiều vấn đề sức khỏe răng miệng nếu không được nhận biết và xử lý đúng cách. Bài viết sẽ giúp bạn hiểu rõ chảy máu chân răng là bệnh gì, các nguyên nhân thường gặp, mức độ nguy hiểm, cũng như cách xử trí và phòng ngừa hiệu quả, từ đó chủ động bảo vệ sức khỏe nướu và răng.
:format(webp)/viem_loi_trum_rang_khon_khi_cho_con_bu_dau_hieu_va_phuong_phap_xu_tri_an_toan_Cropped_7feacf427a.jpg)
Viêm lợi trùm răng khôn khi cho con bú là tình trạng viêm nướu xảy ra ở răng khôn, đặc biệt dễ gặp ở mẹ sau sinh. Đây không chỉ là nỗi ám ảnh bởi cảm giác đau nhức, sưng đỏ mà còn ảnh hưởng đến sức khỏe toàn thân và chất lượng nuôi con bằng sữa mẹ. Nếu không xử lý đúng cách, bệnh có thể gây biến chứng nguy hiểm.
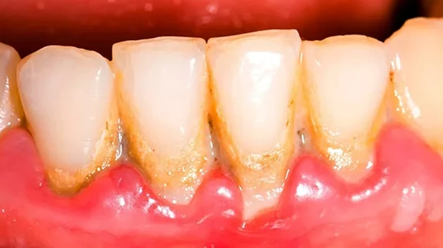
:format(webp)/hinh_anh_viem_nuou_rang_giup_nhan_biet_benh_som_0_86787bdb60.png)
Viêm nướu răng đang là một trong những bệnh lý răng miệng dễ gặp nhưng lại ít được quan tâm do triệu chứng khởi phát diễn ra âm thầm. Nếu không được phát hiện sớm, tình trạng viêm này có thể gây tổn thương nghiêm trọng đến tổ chức quanh răng, tiến triển thành viêm nha chu. Chính vì vậy, việc quan sát các hình ảnh viêm nướu răng là công cụ quan trọng để nhận diện bệnh.
:format(webp)/bai_vietnguyen_nhan_gay_viem_loi_chay_mau_chan_rang_va_nhung_yeu_to_nguy_co_html_967cee39d5.jpg)
Viêm lợi chảy máu chân răng là một trong những vấn đề răng miệng phổ biến có thể xảy ra ở mọi lứa tuổi.Việc hiểu rõ nguyên nhân gây viêm lợi và những yếu tố nguy cơ giúp người bệnh có biện pháp phòng ngừa hiệu quả. Bài viết dưới đây sẽ phân tích các tác nhân chính gây viêm lợi chảy máu chân răng và những yếu tố làm tăng nguy cơ mắc bệnh.
:format(webp)/viem_loi_co_mu_nguyen_nhan_trieu_chung_va_cach_dieu_tri_hieu_qua_1_4cf274ad8d.png)
Viêm lợi có mủ là một tình trạng phổ biến trong bệnh lý răng miệng, gây ảnh hưởng đến sức khỏe răng miệng và chất lượng cuộc sống của người bệnh. Vậy nên việc hiểu rõ về tình trạng này và các thông tin liên quan là rất cần thiết.
:format(webp)/viem_loi_mang_bam_nguy_hiem_nhu_the_nao_1_37d2e3380d.jpg)
Viêm lợi mảng bám là tình trạng rất phổ biến mà cả người lớn và trẻ em đều có thể mắc phải. Nguyên nhân chủ yếu gây nên viêm lợi mảng bám đó là do sự tích tụ của các loại vi khuẩn tại vị trí mảng bám của răng. Để hiểu rõ hơn về viêm lợi mảng bám cũng như mức độ nguy hiểm của nó, mời bạn tham khảo bài viết dưới đây.
:format(webp)/nen_lam_gi_khi_bi_viem_loi_rang_ham_1_c93ac79518.png)
Viêm lợi răng hàm không chỉ gây cảm giác đau nhức mà còn có thể dẫn đến những biến chứng nghiêm trọng nếu không được xử lý kịp thời. Vậy nên làm gì khi bị viêm lợi răng hàm?
:format(webp)/Thuoc_boi_viem_loi_dung_nhu_the_nao_de_dap_ung_hieu_qua_nhanh_nhat_ad298a789d.jpg)
Bạn đang gặp phải tình trạng viêm lợi khó chịu? Tìm hiểu cách sử dụng thuốc bôi viêm lợi hiệu quả nhất để nhanh chóng giảm sưng, đau và phục hồi nướu răng. Đọc ngay bài viết này để biết thêm thông tin!
:format(webp)/viem_loi_uong_thuoc_gi_de_nhanh_chong_khoi_benh_cach_dieu_tri_va_phong_ngua_hieu_qua_705513a911.jpg)
Viêm lợi không chỉ gây ra sự khó chịu mà còn ảnh hưởng lớn tới sức khỏe răng miệng nếu không được điều trị kịp thời. Trong bài viết này, Nhà thuốc Long Châu sẽ cùng bạn khám phá viêm lợi uống thuốc gì cũng như các lời khuyên từ chuyên gia để quản lý tình trạng này một cách hiệu quả.
:format(webp)/viem_loi_loet_hoai_tu_cap_nguyen_nhan_trieu_chung_bien_chung_va_dieu_tri_ff0393437c.jpg)
Có nhiều bệnh lý về răng miệng gây biến chứng nguy hiểm mà bạn không thể chủ quan, một trong số đó là viêm lợi loét hoại tử cấp. Nhà thuốc Long Châu sẽ gửi đến bạn thông tin về căn bệnh ảnh hưởng đến lợi và biện pháp điều trị đề phòng biến chứng không mong muốn.