Dược sĩ Đại học có nhiều năm kinh nghiệm trong việc tư vấn Dược phẩm và hỗ trợ giải đáp thắc mắc về Bệnh học. Hiện đang là giảng viên cho Dược sĩ tại Nhà thuốc Long Châu.
Quỳnh Loan
04/06/2025
Mặc định
Lớn hơn
Viêm lợi chảy máu chân răng là một trong những vấn đề răng miệng phổ biến có thể xảy ra ở mọi lứa tuổi.Việc hiểu rõ nguyên nhân gây viêm lợi và những yếu tố nguy cơ giúp người bệnh có biện pháp phòng ngừa hiệu quả. Bài viết dưới đây sẽ phân tích các tác nhân chính gây viêm lợi chảy máu chân răng và những yếu tố làm tăng nguy cơ mắc bệnh.
Tình trạng viêm lợi chảy máu chân răng không chỉ gây đau nhức khó chịu mà còn làm giảm chất lượng cuộc sống. Vì vậy, việc duy trì vệ sinh răng miệng đúng cách, khám nha khoa định kỳ và áp dụng các biện pháp phòng ngừa là rất quan trọng để bảo vệ sức khỏe răng miệng lâu dài.
Viêm lợi chảy máu chân răng là một trong những vấn đề răng miệng phổ biến, xảy ra khi mô nướu bị tổn thương hoặc viêm nhiễm. Lợi là bộ phận quan trọng giúp nâng đỡ và bảo vệ răng, tuy nhiên chúng khá nhạy cảm và dễ bị tác động bởi việc chải răng quá mạnh, dùng tăm xỉa răng hoặc ăn thực phẩm cứng. Nếu chỉ là tổn thương nhỏ, nướu có khả năng tự hồi phục sau vài ngày. Tuy nhiên, khi tổn thương nặng hơn hoặc có yếu tố cản trở quá trình tái tạo mô nướu, tình trạng viêm có thể xảy ra kéo dài và dẫn đến các vấn đề nghiêm trọng hơn.
Viêm lợi hình thành khi vi khuẩn trong khoang miệng xâm nhập vào mô nướu bị tổn thương, kích thích hệ miễn dịch tạo phản ứng viêm để bảo vệ cơ thể. Lúc này, nướu trở nên sưng đỏ, đau nhức và dễ chảy máu ngay cả khi có tác động nhẹ như chải răng hay ăn uống. Nếu không được điều trị kịp thời, viêm lợi có thể tiến triển thành viêm nha chu gây ảnh hưởng nghiêm trọng đến sức khỏe răng miệng, thậm chí có nguy cơ mất răng.

Viêm lợi chảy máu chân răng là tình trạng phổ biến ảnh hưởng đến sức khỏe răng miệng của nhiều người. Bệnh có thể xuất phát từ nhiều nguyên nhân khác nhau, trong đó có cả yếu tố thói quen vệ sinh răng miệng không đúng cách lẫn các bệnh lý toàn thân.
Viêm lợi chảy máu chân răng là tình trạng phổ biến do nhiều nguyên nhân khác nhau gây ra. Trong đó, vệ sinh răng miệng kém là yếu tố hàng đầu khiến vi khuẩn tích tụ, hình thành mảng bám và cao răng. Đây là môi trường lý tưởng để vi khuẩn phát triển, tấn công nướu và gây viêm nhiễm. Khi vi khuẩn xâm nhập vào mô nướu, cơ thể sẽ phản ứng lại bằng cách tạo phản ứng viêm khiến nướu sưng đỏ, đau nhức và dễ chảy máu khi chải răng hoặc ăn uống.
Trẻ em là nhóm đối tượng dễ bị viêm lợi do chưa có ý thức tự vệ sinh răng miệng đúng cách. Bên cạnh đó, các thói quen như cắn móng tay, nhai vật cứng hoặc mọc răng cũng có thể làm tổn thương mô nướu tạo điều kiện cho vi khuẩn xâm nhập. Ở người trưởng thành, tình trạng viêm lợi còn liên quan đến các yếu tố khác như chải răng sai cách, sử dụng bàn chải lông cứng, hút thuốc lá hoặc do tác động cơ học khi ăn uống. Nếu tình trạng tổn thương lặp đi lặp lại, mô nướu sẽ suy yếu dần và mất khả năng phục hồi như ban đầu.

Ngoài ra, viêm lợi chảy máu chân răng cũng có thể liên quan đến một số bệnh lý toàn thân như tiểu đường, thiếu vitamin C hoặc thay đổi nội tiết tố trong thai kỳ. Do đó, để ngăn ngừa tình trạng này, cần duy trì thói quen vệ sinh răng miệng tốt, lựa chọn bàn chải mềm và có chế độ ăn uống khoa học để bảo vệ sức khỏe răng miệng một cách toàn diện.
Bên cạnh nguyên nhân từ thói quen sinh hoạt, viêm lợi chảy máu chân răng còn có thể là dấu hiệu của một số bệnh lý toàn thân, bao gồm:
Bệnh tiểu đường, tim mạch, bệnh về máu, gan hoặc thận
Những bệnh lý này làm suy giảm sức đề kháng, khiến nướu dễ bị tổn thương và chảy máu hơn.
Viêm nha chu và các bệnh lý răng miệng khác
Khi viêm lợi không được điều trị sớm, tình trạng viêm nhiễm có thể lan rộng đến các mô quanh răng, gây viêm nha chu – một bệnh lý nghiêm trọng có thể dẫn đến mất răng. Ngoài ra, một số khối u lành tính ở nướu cũng có thể gây viêm và chảy máu chân răng.
Thay đổi nội tiết tố ở nữ giới
Phụ nữ trong giai đoạn dậy thì, mang thai, sử dụng thuốc tránh thai hoặc mãn kinh thường gặp tình trạng viêm lợi do sự biến động nội tiết tố làm tăng lưu lượng máu đến nướu, khiến nướu dễ bị sưng viêm và chảy máu hơn.
Thiếu hụt vitamin và suy dinh dưỡng
Cơ thể thiếu hụt các vi chất quan trọng như vitamin C, vitamin K hoặc canxi có thể ảnh hưởng đến sức khỏe răng miệng, làm nướu yếu và dễ chảy máu hơn khi có tác động nhẹ.
Viêm lợi chảy máu chân răng không chỉ gây đau nhức và khó chịu mà còn có thể là dấu hiệu cảnh báo các vấn đề sức khỏe nghiêm trọng. Vì vậy, cần duy trì thói quen vệ sinh răng miệng đúng cách, kết hợp chế độ ăn uống khoa học và đi khám nha khoa định kỳ để bảo vệ sức khỏe răng miệng một cách toàn diện.

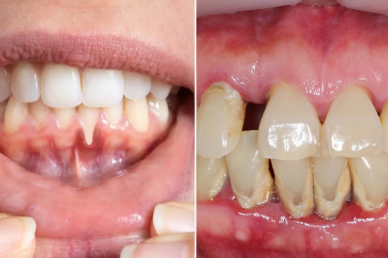
Khi bị viêm lợi cấp tính, người bệnh thường cảm thấy đau nhức vùng lợi quanh răng, đặc biệt khi ăn các thực phẩm có tính axit hoặc cay nóng. Khi quan sát bằng gương, có thể thấy vùng lợi bị sưng tấy đỏ, căng phồng và đau khi chạm vào.
Nếu viêm lợi không được điều trị kịp thời, tình trạng sưng tấy có thể giảm đi nhưng không có nghĩa là bệnh đã khỏi. Lúc này, viền lợi quanh răng có thể hơi sưng nhẹ, không còn cảm giác đau rõ rệt nhưng rất dễ bị chảy máu, đặc biệt khi đánh răng hoặc ăn nhai. Dựa vào mức độ chảy máu chân răng, có thể đánh giá mức độ nghiêm trọng của bệnh theo bốn cấp độ:
Người bệnh có thể nhận thấy những đốm máu nhỏ trên bàn chải hoặc chỉ nha khoa. Đôi khi bọt kem đánh răng cũng có lẫn máu màu sẫm.
Nếu viêm lợi tiến triển nặng hơn, máu có thể xuất hiện khi ăn uống bình thường mà không cần tác động mạnh.
Tình trạng chảy máu xảy ra ngay cả khi không có kích thích từ bên ngoài, dấu hiệu này cho thấy viêm lợi đã tiến triển nghiêm trọng.
Nướu có thể chuyển từ màu hồng nhạt sang đỏ đậm. Sự thay đổi màu sắc cho thấy tế bào nướu bị viêm nhiễm trên diện rộng. Nếu không điều trị kịp thời, mô nướu có thể bị tổn thương nặng nề, thậm chí làm tăng nguy cơ mất răng.

Việc điều trị dứt điểm tình trạng viêm lợi chảy máu chân răng cần sự kết hợp giữa thăm khám nha khoa, tuân thủ chỉ định điều trị của bác sĩ và tự chăm sóc răng miệng tại nhà. Đồng thời người bệnh cần loại bỏ những thói quen có hại để giúp nướu phục hồi nhanh chóng.
Ở giai đoạn đầu khi nướu có biểu hiện đau nhẹ hoặc hơi sưng đỏ, người bệnh cần chú ý hơn đến việc vệ sinh răng miệng nhằm hạn chế sự phát triển của vi khuẩn:

Ngoài việc vệ sinh răng miệng đúng cách, người bị viêm lợi cần hạn chế các thói quen gây hại như:
Không hút thuốc lá
Thuốc lá làm giảm khả năng phục hồi của nướu và tăng nguy cơ viêm nhiễm.
Hạn chế rượu bia và đồ uống có cồn
Các loại thức uống này có thể làm khô miệng và khiến vi khuẩn phát triển mạnh hơn.
Bổ sung đầy đủ vitamin và khoáng chất
Đặc biệt là vitamin C, vitamin K và canxi có trong rau xanh, trái cây tươi, các loại hạt giúp tăng cường sức khỏe nướu răng.

Hạn chế thực phẩm chứa nhiều đường
Đường là môi trường lý tưởng cho vi khuẩn phát triển, làm tăng nguy cơ hình thành mảng bám và viêm lợi.
Nếu tình trạng viêm lợi chảy máu chân răng kéo dài hoặc tái diễn thường xuyên dù đã cải thiện thói quen vệ sinh răng miệng, người bệnh cần thăm khám tại cơ sở nha khoa uy tín. Bác sĩ sẽ xác định nguyên nhân chính xác và đưa ra phương pháp điều trị phù hợp như làm sạch cao răng, điều trị viêm nha chu hoặc kê đơn thuốc hỗ trợ.
Xem thêm:
Dược sĩ Đại họcNguyễn Mỹ Huyền
Dược sĩ Đại học có nhiều năm kinh nghiệm trong việc tư vấn Dược phẩm và hỗ trợ giải đáp thắc mắc về Bệnh học. Hiện đang là giảng viên cho Dược sĩ tại Nhà thuốc Long Châu.