Tốt nghiệp Đại học Y Dược TP. Hồ Chí Minh. Có nhiều năm trong lĩnh vực dược phẩm. Hiện đang là giảng viên cho Dược sĩ tại Nhà thuốc Long Châu.
Chùng Linh
14/02/2025
Mặc định
Lớn hơn
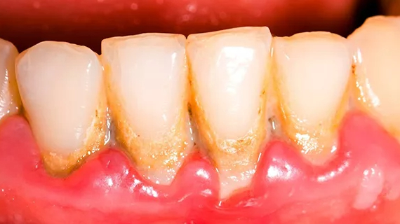
Viêm lợi mảng bám là tình trạng rất phổ biến mà cả người lớn và trẻ em đều có thể mắc phải. Nguyên nhân chủ yếu gây nên viêm lợi mảng bám đó là do sự tích tụ của các loại vi khuẩn tại vị trí mảng bám của răng. Để hiểu rõ hơn về viêm lợi mảng bám cũng như mức độ nguy hiểm của nó, mời bạn tham khảo bài viết dưới đây.
Tình trạng viêm lợi chủ yếu do sự tích tụ vi khuẩn trên các mảng bám quanh răng, làm tăng sự kích ứng và viêm nhiễm tại lợi. Viêm lợi mảng bám là bệnh lý răng miệng phổ biến, nhưng giai đoạn đầu thường không có triệu chứng rõ rệt, khiến bệnh dễ bị bỏ qua. Điều này khiến nhiều người vô tình bỏ qua tình trạng này và tạo điều kiện cho nhiều bệnh lý răng miệng phát triển. Hãy cùng Long Châu tìm hiểu viêm lợi mảng bám nguy hiểm như thế nào để có biện pháp bảo vệ phù hợp nhé!
Lợi (hay còn gọi là nướu) là bộ phận ở bên ngoài cùng, bao quanh và nâng đỡ chân răng, là nơi tiếp xúc trực tiếp với thức ăn, vi khuẩn, nấm… có trong khoang miệng. Lợi có cấu trúc mô, tự hoạt động để chống lại các tác nhân khác tấn công, bảo vệ mô răng luôn khỏe mạnh. Tuy nhiên, nếu mất đi sự cân bằng giữa hệ thống đề kháng của lợi với sự tấn công của vi khuẩn trên các mảng bám quanh lợi sẽ gây ra tình trạng viêm lợi.
Viêm lợi mảng bám là tình trạng phổ biến, thường chủ yếu do vi khuẩn gây nên. Viêm là tình trạng phổ biến nhất trong tất cả các bệnh lý về lợi và viêm cũng chính là yếu tố thúc đẩy sự hình thành mảng bám. Bệnh lý này có thể xảy ra ở bất kỳ độ tuổi nào, không phân biệt giới tính. Đặc biệt, có khoảng 50% người lớn trên 30 tuổi mắc bệnh viêm lợi. Viêm lợi mảng bám thường bắt đầu ở những vị trí dễ tích tụ mảng bám như bề mặt răng, sau đó các mảng bám này sẽ dần lan ra xung quanh.

Nguyên nhân chủ yếu gây nên tình trạng viêm lợi mảng bám mạn tính đó là do sự tích tụ vi khuẩn trên các mảng bám này. Mảng bám trên răng là một lớp màng mỏng, dính chặt vào mặt răng hoặc các mặt cứng trong miệng, độ dày thường dao động từ 54 - 2000 micromet.
Thành phần chính của các mảng bám này là vi khuẩn, bao gồm hơn 500 loại vi khuẩn khác nhau, trong đó có khoảng 56% vi khuẩn gram dương - 44% vi khuẩn gram âm và 59% là vi khuẩn hiếu khí - 41% là vi khuẩn kỵ khí. Một số loại vi khuẩn gây bệnh, chủ yếu là vi khuẩn gram dương như Actinomyces viscosus, Streptococcus sanguis sẽ sinh sôi và phát triển trực tiếp lên lớp màng vô khuẩn. Sau đó, các vi khuẩn khác sẽ tiếp tục bám lên các vi khuẩn có sẵn trên mảng bám của răng và phát triển, gây ra tình trạng viêm lợi.
Một số triệu chứng của bệnh viêm lợi mảng bám có liên quan đến sự thay đổi về màu sắc, kích thước, hình dạng, mức độ săn chắc và tình trạng chảy máu. Cụ thể như sau:

Nếu viêm lợi không được phát hiện và điều trị sớm sẽ có thể gây ra các bệnh lý nguy hiểm hơn. Khi viêm lợi tiến triển nặng hơn, lây lan đến các mô và xương bên dưới có thể dẫn đến tình trạng viêm nha chu hay nguy hiểm hơn có thể gây ra áp xe chân răng, tụt lợi và thậm chí là mất răng.
Ngoài ra, viêm lợi mạn tính cũng có thể liên quan đến các bệnh lý khác trên đường hô hấp, đái tháo đường, bệnh động mạch vành, viêm khớp dạng thấp hay đột quỵ… Vi khuẩn từ viêm lợi mảng bám có thể xâm nhập hệ tuần hoàn qua mạch máu quanh lợi, lan đến cơ quan khác, gây ra các bệnh lý nguy hiểm.
Càng nguy hiểm hơn khi vi khuẩn gây bệnh viêm lợi cũng có thể lây lan từ người này qua người khác thông qua sự tiếp xúc nước bọt, tuy nhiên nguy cơ gây bệnh lại khá thấp. Đối với những người vệ sinh răng miệng kém hoặc những người suy giảm miễn dịch, mắc bệnh bạch cầu sẽ có nguy cơ mắc bệnh viêm lợi mảng bám cao hơn những người khác.
Viêm lợi mảng bám hoàn toàn có thể điều trị được thông qua việc loại bỏ mảng bám khỏi răng lợi. Các phương pháp điều trị viêm lợi bao gồm:
Cạo vôi răng và làm sạch phần gốc răng: Thông qua việc loại bỏ các mảng bám, cao răng khỏi bề mặt ra cũng như phần dưới lợi sẽ giúp loại bỏ các vi khuẩn gây bệnh. Ngoài ra bạn cũng có thể loại bỏ các vi khuẩn gây viêm thông qua phương pháp laser để làm sạch bề mặt răng, ngăn chặn quá trình hình thành cao răng và sự tích tụ của vi khuẩn.

Sử dụng nước súc miệng kháng khuẩn: Nước súc miệng có chứa hoạt chất kháng khuẩn sẽ góp phần tiêu diệt các vi khuẩn gây nên tình trạng viêm lợi.
Sử dụng thuốc điều trị viêm: Nếu tình trạng bạn nghiêm trọng, các bác sĩ có thể sẽ chỉ định uống một số loại thuốc điều trị viêm như ibuprofen, methylprednisolone, prednisolone,… để giúp kháng viêm. Phương pháp sử dụng kháng sinh tại chỗ hoặc toàn thân trong các trường hợp viêm lợi nghiêm trọng.
Chỉnh sửa răng: Đôi khi răng mọc lệch, mão răng hay các miếng trám răng, cầu răng nhô hoặc không khít cũng có thể gây ra tình trạng kích ứng trên lợi. Hơn thế nữa, việc vệ sinh răng miệng cũng trở nên khó khăn hơn càng tạo điều kiện cho các mảng bám tích tụ. Trong các trường hợp này, bác sĩ sẽ tiến hành điều chỉnh các vị trí không phù hợp để ngăn chặn tình trạng viêm lợi diễn ra.
Điều quan trọng nhất để bảo vệ sức khỏe răng miệng và phòng chống bệnh viêm lợi mảng bám đó là vệ sinh răng miệng. Hãy xây dựng thói quen vệ sinh răng miệng hai lần một ngày, kết hợp sử dụng kem đánh răng có chứa fluor với một lượng vừa đủ, dùng chỉ nha khoa để làm sạch kẽ răng và tái khám định kỳ 6 tháng một lần. Hiểu được viêm lợi mảng bám nguy hiểm như thế nào sẽ giúp bạn nâng cao ý thức chăm sóc sức khỏe răng miệng và chú ý hơn đến các dấu hiệu bất thường của răng miệng để có sự can thiệp kịp thời.
Xem thêm:
Dược sĩ Đại họcNguyễn Vũ Kiều Ngân
Tốt nghiệp Đại học Y Dược TP. Hồ Chí Minh. Có nhiều năm trong lĩnh vực dược phẩm. Hiện đang là giảng viên cho Dược sĩ tại Nhà thuốc Long Châu.