:format(webp)/x_quang_gian_phe_quan_va_vai_tro_trong_danh_gia_benh_ho_hap_0_1460fe4a1d.png)
CT ngực độ phân giải cao được xem là tiêu chuẩn xác định giãn phế quản, nhưng trong thực hành lâm sàng hằng ngày, X-quang ngực vẫn là thăm dò hình ảnh đầu tiên và phổ biến. Việc hiểu đúng vai trò của X-quang giãn phế quản giúp bác sĩ sử dụng phương tiện này hợp lý, tránh kỳ vọng quá mức mà vẫn khai thác được giá trị thực tiễn.
:format(webp)/nhung_dieu_ba_me_can_luu_y_khi_chup_x_quang_rang_cho_tre_em_2_31d811d6a8.png)
Sức khỏe răng miệng đóng vai trò quan trọng trong sự phát triển toàn diện của trẻ em, đặc biệt trong những năm đầu đời khi răng và xương hàm đang hoàn thiện. Trong quá trình thăm khám nha khoa, nhiều trẻ được bác sĩ chỉ định chụp X-quang răng để đánh giá chính xác tình trạng bên trong răng và xương hàm. Bài viết dưới đây, nhà thuốc Long Châu sẽ giúp ba mẹ hiểu rõ vai trò, mức độ an toàn và những lưu ý quan trọng khi chụp X-quang răng cho trẻ em.
:format(webp)/Halo_sign_la_gi_2_9026b22a03.jpg)
Halo sign là một thuật ngữ được sử dụng trong siêu âm để mô tả một hiện tượng đặc biệt xung quanh một tổn thương. Vậy halo sign là gì? Dấu hiệu này có ý nghĩa gì và nó giúp các bác sĩ chẩn đoán bệnh như thế nào?
:format(webp)/chup_x_quang_rang_co_tac_dung_gi_quy_trinh_va_luu_y_khi_chup_x_quang_rang_1_5c8198b1ab.png)
Chụp X quang răng có tác dụng gì? Chụp X quang răng là một trong những kỹ thuật quan trọng trong nha khoa, giúp bác sĩ chẩn đoán, điều trị hiệu quả các vấn đề về răng miệng. Hãy tìm hiểu thêm về tác dụng của chụp X quang răng và quy trình thực hiện qua bài viết dưới đây.
:format(webp)/x_quang_thoai_hoa_khop_goi_tam_quan_trong_va_ung_dung_trong_chan_doan_08c8726835.jpg)
Thoái hóa khớp gối là một trong những bệnh lý thường gặp ở người cao tuổi và người thường xuyên vận động. Trong quá trình chẩn đoán và điều trị, X-quang thoái hóa khớp gối đóng vai trò quan trọng trong việc phát hiện sớm và đánh giá mức độ thoái hóa khớp gối.
:format(webp)/x_quang_ham_chech_phuong_phap_chan_doan_hieu_qua_trong_nha_khoa_96f5a5f739.jpg)
X-quang hàm chếch là một kỹ thuật hình ảnh y khoa quan trọng, giúp bác sĩ chẩn đoán và điều trị nhiều vấn đề liên quan đến vùng hàm mặt. Bài viết này sẽ giúp bạn hiểu rõ hơn về X-quang hàm chếch, từ quy trình thực hiện cho đến những lợi ích và hạn chế của nó.
:format(webp)/may_chup_x_quang_rang_la_gi_1_24fa4b1743.png)
Máy chụp X quang răng là một thiết bị không thể thiếu trong ngành nha khoa hiện đại. Với khả năng chụp ảnh chi tiết và rõ nét, máy X quang răng giúp các bác sĩ nha khoa chẩn đoán, điều trị các vấn đề răng miệng một cách chính xác và hiệu quả. Bài viết dưới đây sẽ cung cấp những thông tin quan trọng về máy chụp X quang răng, từ nguyên lý hoạt động, lợi ích đến những lưu ý khi sử dụng.
:format(webp)/x_quang_khop_khuyu_la_gi_1_ab86b3a17e.png)
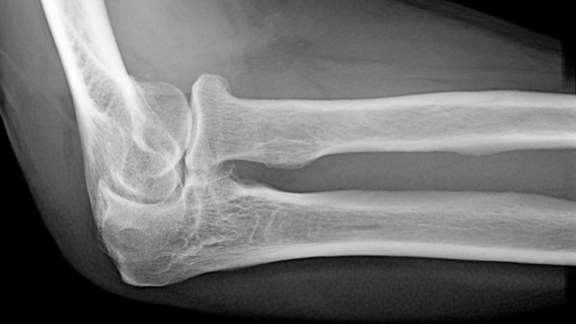
X quang khớp khuỷu là một phương pháp chẩn đoán hình ảnh quan trọng trong y khoa, giúp phát hiện sớm các vấn đề về khớp khuỷu như viêm khớp, gãy xương, hay tổn thương mô mềm. Phương pháp này không chỉ hỗ trợ bác sĩ trong việc xác định chính xác tình trạng bệnh lý mà còn góp phần xây dựng phác đồ điều trị hiệu quả. Đây là một công cụ không thể thiếu trong việc bảo vệ sức khỏe và nâng cao chất lượng sống của bệnh nhân.
:format(webp)/gioi_thieu_ve_phuong_phap_chup_x_quang_xuong_dui_1_938737a20f.jpg)
Kỹ thuật chụp X-quang xương đùi là phương pháp chẩn đoán hình ảnh dùng tia X để tạo hình ảnh của xương đùi. Hình chụp X-quang là một trong những công cụ quan trọng hỗ trợ bác sĩ xác định tình trạng của bệnh nhân. Bài viết dưới đây sẽ cung cấp cho bạn những thông tin hữu ích về phương pháp chụp X-quang xương đùi.
:format(webp)/chup_xquang_khop_vai_phat_hien_benh_ly_gi_khi_nao_can_thuc_hien_3_c2266c90d8.jpg)
Chụp Xquang khớp vai đóng một vai trò quan trọng trong việc chẩn đoán các tình trạng vai khác nhau, từ gãy xương và trật khớp đến rách gân và các bệnh viêm nhiễm. Phát hiện và điều trị sớm là điều cần thiết để duy trì chức năng vai và ngăn ngừa các biến chứng lâu dài.