Tốt nghiệp đại học Khoa Dược. Có kinh nghiệm hơn 10 năm trong lĩnh vực Dược phẩm, tư vấn thuốc và thực phẩm chức năng. Hiện đang là giảng viên cho Dược sĩ tại Nhà thuốc Long Châu.
Thục Hiền
24/12/2024
Mặc định
Lớn hơn
X quang khớp khuỷu là một phương pháp chẩn đoán hình ảnh quan trọng trong y khoa, giúp phát hiện sớm các vấn đề về khớp khuỷu như viêm khớp, gãy xương, hay tổn thương mô mềm. Phương pháp này không chỉ hỗ trợ bác sĩ trong việc xác định chính xác tình trạng bệnh lý mà còn góp phần xây dựng phác đồ điều trị hiệu quả. Đây là một công cụ không thể thiếu trong việc bảo vệ sức khỏe và nâng cao chất lượng sống của bệnh nhân.
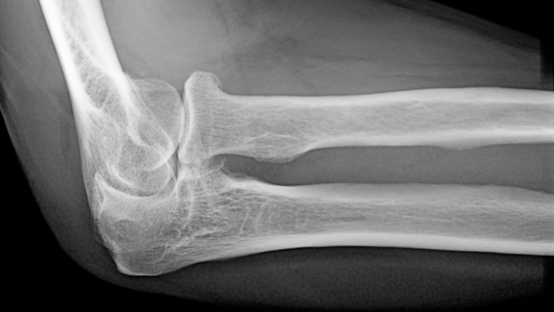
Khớp khuỷu là một trong những khớp quan trọng nhất của cơ thể, đóng vai trò then chốt trong các hoạt động hằng ngày. Việc chẩn đoán và điều trị các vấn đề liên quan đến khớp khuỷu đòi hỏi sự chính xác và kịp thời, trong đó X quang khớp khuỷu là một phương pháp không thể thiếu. Vậy X quang khớp khuỷu là gì và nó có những ứng dụng quan trọng như thế nào trong y khoa?
X quang khớp khuỷu là một phương pháp chẩn đoán hình ảnh quan trọng trong y khoa, được sử dụng rộng rãi để xác định các bệnh lý liên quan đến khớp khuỷu. Qua hình ảnh X quang, bác sĩ có thể dễ dàng phát hiện các tình trạng như gãy xương, nứt xương, lệch trục, từ đó có cơ sở chính xác để đưa ra quyết định điều trị.
Gãy xương, một bệnh lý phổ biến và gây đau đớn, thường gặp do tai nạn hoặc hoạt động thể thao, có thể được chẩn đoán sớm nhờ vào hình ảnh X quang chi tiết, giúp ngăn chặn sự tiến triển của bệnh và bảo vệ chức năng khớp khuỷu, từ đó hỗ trợ bác sĩ trong việc lựa chọn phương pháp điều trị thích hợp như bó bột hay phẫu thuật.

Đây là công cụ hỗ trợ đắc lực cho bác sĩ trong việc xây dựng phác đồ điều trị hiệu quả. Nhờ vào X quang khớp khuỷu, bác sĩ có thể theo dõi tiến trình điều trị, điều chỉnh phác đồ theo diễn biến thực tế của bệnh lý. Điều này đặc biệt quan trọng trong việc quản lý các trường hợp gãy xương, khi mà việc điều trị cần được theo dõi chặt chẽ và liên tục để đảm bảo quá trình phục hồi diễn ra thuận lợi.
Ngoài ra, X quang khớp khuỷu còn giúp bác sĩ đánh giá tình trạng phục hồi sau điều trị, phát hiện sớm các biến chứng có thể xảy ra, từ đó đưa ra những điều chỉnh kịp thời để tối ưu hóa kết quả điều trị. Với những ưu điểm vượt trội này, X quang khớp khuỷu đã trở thành một phần không thể thiếu trong y khoa hiện đại, đóng góp tích cực vào việc nâng cao chất lượng chăm sóc và điều trị bệnh nhân.
X quang khớp khuỷu là một công cụ quan trọng giúp phát hiện sớm các vấn đề sức khỏe liên quan đến khớp khuỷu, từ đó có biện pháp can thiệp kịp thời. Khi khớp khuỷu gặp vấn đề, các triệu chứng ban đầu thường khó phát hiện hoặc dễ nhầm lẫn với các bệnh lý khác. Nhờ vào hình ảnh X quang, bác sĩ có thể xác định chính xác tình trạng của khớp khuỷu, từ những tổn thương nhỏ nhất đến những vấn đề nghiêm trọng hơn.
Việc phát hiện sớm không chỉ giúp ngăn chặn bệnh phát triển mà còn giúp giảm thiểu nguy cơ biến chứng và cải thiện hiệu quả điều trị. Đối với các bệnh nhân có nguy cơ cao mắc các vấn đề về khớp, như người cao tuổi hoặc những người có tiền sử chấn thương, X quang khớp khuỷu là một phương pháp không thể thiếu để theo dõi và bảo vệ sức khỏe khớp khuỷu một cách toàn diện.

Phương pháp này góp phần nâng cao chất lượng sống bằng cách duy trì chức năng và cấu trúc khớp khuỷu. Một khớp khuỷu khỏe mạnh là yếu tố quan trọng giúp duy trì khả năng vận động và thực hiện các hoạt động hàng ngày. Bằng việc sử dụng X quang để theo dõi, điều trị kịp thời các vấn đề khớp khuỷu, bệnh nhân có thể duy trì được chức năng khớp khuỷu tốt, tránh được các tình trạng đau đớn và hạn chế khả năng vận động. Điều này đặc biệt quan trọng đối với những người thường xuyên phải sử dụng khớp khuỷu trong công việc hoặc hoạt động thể thao.
Hơn nữa, việc duy trì cấu trúc khớp khuỷu ổn định cũng giúp giảm nguy cơ thoái hóa khớp và các bệnh lý mãn tính khác, từ đó cải thiện chất lượng sống lâu dài. Với những lợi ích vượt trội, X quang khớp khuỷu không chỉ là công cụ chẩn đoán mà còn là biện pháp bảo vệ sức khỏe toàn diện, giúp mỗi người sống khỏe mạnh và năng động hơn.
Công nghệ X quang hiện đại đã có những bước tiến vượt bậc, cho phép hình ảnh rõ nét và chi tiết, hỗ trợ chẩn đoán chính xác các vấn đề về khớp khuỷu. Những máy X quang thế hệ mới sử dụng các kỹ thuật tiên tiến, giảm thiểu độ nhiễu và tăng cường độ phân giải của hình ảnh, giúp bác sĩ dễ dàng nhận diện các tổn thương nhỏ nhất.
Độ rõ nét của hình ảnh X quang hiện đại là yếu tố then chốt giúp xác định chính xác vị trí và mức độ của các bệnh lý như gãy xương, viêm khớp hay các tổn thương khác. Điều này không chỉ giúp đưa ra chẩn đoán nhanh chóng mà còn giảm thiểu khả năng sai sót trong quá trình đánh giá tình trạng bệnh, từ đó đưa ra phương pháp điều trị hiệu quả và phù hợp nhất cho bệnh nhân.

X quang khớp khuỷu kết hợp với các phương pháp chẩn đoán hình ảnh khác như MRI (Magnetic Resonance Imaging) và CT (Computed Tomography) để đưa ra kết luận toàn diện về tình trạng khớp khuỷu. MRI cung cấp hình ảnh chi tiết về các mô mềm và cấu trúc bên trong khớp, giúp phát hiện các tổn thương ở sụn, dây chằng, cơ bắp, những khu vực mà X quang không thể thấy rõ.
Trong khi đó, CT scan mang lại hình ảnh ba chiều và chi tiết về xương và khớp, cho phép đánh giá chính xác các tổn thương phức tạp và những biến dạng cấu trúc. Sự kết hợp giữa X quang, MRI và CT scan tạo ra một cái nhìn tổng thể và chi tiết về tình trạng khớp khuỷu, giúp bác sĩ đưa ra chẩn đoán toàn diện và lên kế hoạch điều trị chính xác. Điều này đặc biệt quan trọng trong các trường hợp phức tạp, đòi hỏi sự đánh giá chi tiết từ nhiều góc độ khác nhau để đảm bảo bệnh nhân nhận được sự chăm sóc tốt nhất.
X quang khớp khuỷu được sử dụng rộng rãi trong việc theo dõi tiến triển điều trị của bệnh nhân, đóng vai trò quan trọng trong quá trình phục hồi. Khi bệnh nhân được điều trị các vấn đề về khớp khuỷu như gãy xương hoặc viêm khớp, việc theo dõi tiến triển điều trị qua X quang giúp bác sĩ đánh giá hiệu quả của phương pháp điều trị đang áp dụng.
Hình ảnh X quang cung cấp thông tin trực quan về sự phục hồi của xương và mô mềm, từ đó bác sĩ có thể điều chỉnh phác đồ điều trị kịp thời nếu phát hiện các dấu hiệu bất thường hoặc điều trị không hiệu quả. Điều này đảm bảo rằng bệnh nhân nhận được sự chăm sóc tối ưu, giúp quá trình phục hồi diễn ra thuận lợi và nhanh chóng hơn.

Đối với những người có nguy cơ cao mắc các bệnh lý về khớp khuỷu, như người cao tuổi hoặc vận động viên, việc kiểm tra định kỳ bằng X quang là cần thiết để duy trì sức khỏe khớp. Kiểm tra định kỳ giúp phát hiện sớm các vấn đề tiềm ẩn, chẳng hạn như dấu hiệu thoái hóa khớp hoặc tổn thương nhỏ do chấn thương lặp đi lặp lại, trước khi chúng phát triển thành các vấn đề nghiêm trọng hơn. Nhờ vậy, các biện pháp can thiệp có thể được thực hiện kịp thời để ngăn chặn sự tiến triển của bệnh và giảm thiểu nguy cơ biến chứng.
Trên đây là thông tin giải đáp cho câu hỏi: "X quang khớp khuỷu là gì?". Sự chủ động trong việc kiểm tra và theo dõi trên X quang góp phần quan trọng trong việc duy trì chức năng khớp khuỷu, bảo vệ sức khỏe tổng thể và nâng cao chất lượng sống của bệnh nhân.d
Xem thêm:
Dược sĩ Đại họcNguyễn Thị Hồng Nhung
Tốt nghiệp đại học Khoa Dược. Có kinh nghiệm hơn 10 năm trong lĩnh vực Dược phẩm, tư vấn thuốc và thực phẩm chức năng. Hiện đang là giảng viên cho Dược sĩ tại Nhà thuốc Long Châu.