Tốt nghiệp Đại học Y Dược TP. Hồ Chí Minh. Có nhiều năm trong lĩnh vực dược phẩm. Hiện đang là giảng viên cho Dược sĩ tại Nhà thuốc Long Châu.
Thanh Hương
11/03/2025
Mặc định
Lớn hơn
Halo sign là một thuật ngữ được sử dụng trong siêu âm để mô tả một hiện tượng đặc biệt xung quanh một tổn thương. Vậy halo sign là gì? Dấu hiệu này có ý nghĩa gì và nó giúp các bác sĩ chẩn đoán bệnh như thế nào?
Trong lĩnh vực siêu âm, các bác sĩ thường sử dụng nhiều dấu hiệu hình ảnh để chẩn đoán bệnh. Một trong số đó là halo sign – dấu hiệu hào quang. Vậy halo sign là gì? Nó có ý nghĩa gì đối với việc chẩn đoán bệnh? Chẩn đoán bệnh qua dấu hiệu halo sign có hạn chế gì không? Mọi thắc mắc cả bạn về halo sign sẽ được Long Châu giải đáp chi tiết trong bài viết dưới đây.
Trong chẩn đoán hình ảnh y tế, các bác sĩ thường sử dụng nhiều dấu hiệu để đánh giá tình trạng bệnh lý.
Một trong những dấu hiệu quan trọng là halo sign, hay còn được gọi là dấu hiệu hào quang. Nó được mô tả là một vùng không có âm bao quanh một tổn thương trên hình ảnh siêu âm, chụp cắt lớp CT scan hoặc MRI. Bạn có thể tưởng tượng như một quả bóng có một lớp vỏ bao quanh, lớp vỏ này chính là halo. Sự hiện diện của halo thường cho thấy sự có mặt của một lớp mô xơ hoặc một lớp tế bào viêm xung quanh tổn thương.
Halo sign có thể giúp bác sĩ phân biệt các loại tổn thương khác nhau. Ví dụ, trong các khối u gan, sự có mặt của halo thường gợi ý đến một khối u lành tính như u máu. Ngược lại, nếu một khối u không có halo, khả năng ác tính sẽ cao hơn. Tuy nhiên, việc chẩn đoán bệnh dựa trên dấu hiệu halo sign không đơn giản. Nó còn phụ thuộc vào nhiều yếu tố khác như vị trí của tổn thương, kích thước và loại mô.

Bên cạnh đó, halo sign cũng có thể cung cấp thông tin về mức độ xâm lấn của một tổn thương. Nếu halo dày và rõ ràng, có thể cho thấy tổn thương chưa xâm lấn vào các mô xung quanh. Ngoài ra, việc theo dõi sự thay đổi của halo sign theo thời gian có thể giúp phát hiện sớm sự tiến triển của bệnh và đánh giá hiệu quả điều trị.
Dấu hiệu halo sign có thể xuất hiện trong nhiều bối cảnh lâm sàng khác nhau như:
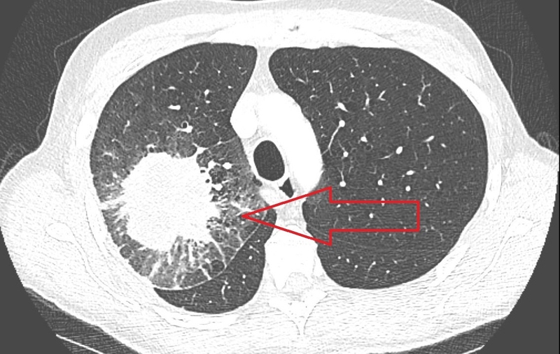
Trên CT scan phổi, halo sign được mô tả là vùng mờ dạng kính mờ bao quanh một nốt phổi. Đây là biểu hiện thường gặp trong giai đoạn sớm của viêm phổi do nấm Aspergillus. Ngoài ra, dấu hiệu này cũng có thể xuất hiện trong các bệnh lý khác như mucormycosis, candidiasis, lao, viêm phổi do virus, ung thư phế quản phế nang, lymphoma và di căn phổi.
Trong trường hợp chấn thương đầu, halo sign là gì và phản ánh điều gì? Lúc này, dấu hiệu halo được sử dụng để phát hiện sự hiện diện của dịch não tủy. Dịch tạo thành một vòng sáng bao quanh một vùng trung tâm có thể là dấu hiệu của vỡ nền sọ. Việc nhận biết sớm dấu hiệu này giúp can thiệp kịp thời, giảm nguy cơ biến chứng nghiêm trọng.
Trong siêu âm động mạch thái dương, dấu hiệu halo được mô tả là vùng giảm âm bao quanh lòng động mạch. Đây là đặc điểm quan trọng trong chẩn đoán viêm động mạch thái dương. Việc phát hiện dấu hiệu này qua siêu âm có thể hỗ trợ chẩn đoán bệnh mà không cần thực hiện sinh thiết động mạch. Điều này giúp giảm thiểu rủi ro cho bệnh nhân.

Dưới đây là một số bệnh lý có thể xuất hiện halo sign:
Nhiễm trùng nấm:
Ung thư:
Bệnh nhiễm khuẩn:
Chấn thương và tổn thương mô mềm:
Các bệnh tự miễn và viêm:
Nhiễm trùng virus:
Tổn thương sau xạ trị:
Hội chứng nấm phổi:

Halo sign là gì và biểu hiện thế nào trong những trường hợp phổ biến đến đây bạn đã biết. Tuy nhiên, ngoài ý nghĩa lâm sàng, dấu hiệu halo cũng tồn tại những hạn chế nhất định.
Dấu hiệu halo không phải là dấu hiệu đặc hiệu cho một bệnh lý cụ thể. Nhiều loại tổn thương khác nhau có thể có hoặc không có halo sign. Chỉ dựa vào hiệu halo để đưa ra chẩn đoán bệnh là không đủ. Để đưa ra chẩn đoán chính xác, các bác sĩ cần kết hợp dấu hiệu halo với các yếu tố khác. Ví dụ như các thông tin lâm sàng, kết quả xét nghiệm máu và các phương pháp chẩn đoán hình ảnh khác như CT, MRI.
Sự xuất hiện và đặc điểm của halo có thể bị ảnh hưởng bởi nhiều yếu tố khác. Ví dụ như loại máy siêu âm, kỹ thuật của người thực hiện và đặc điểm của mô xung quanh tổn thương. Halo sign có thể bị nhầm lẫn với các tổn thương khác, chẳng hạn như u lympho hoặc khối u, dẫn đến chẩn đoán sai.
Halo sign không phải lúc nào cũng là dấu hiệu của một bệnh nghiêm trọng. Trong một số trường hợp, nó có thể chỉ ra những tình trạng như viêm nhiễm hoặc u lành tính. Những tình trạng này có thể được điều trị dễ dàng với thuốc kháng sinh hoặc phẫu thuật. Theo một nghiên cứu từ Journal of Clinical Neuroscience, 50% trường hợp halo sign có thể là dấu hiệu của các bệnh lý không nghiêm trọng.
Tuy nhiên, đôi khi, halo sign lại cảnh báo về những vấn đề sức khỏe nghiêm trọng. Nếu halo sign xuất hiện cùng với các triệu chứng như đau đầu dữ dội, buồn nôn, hoặc sốt cao, bạn nên khám chuyên khoa ngay lập tức. Bác sĩ sẽ kết hợp halo sign với các triệu chứng lâm sàng và các kết quả xét nghiệm khác để đưa ra chẩn đoán chính xác. Khi xác định rõ nguyên nhân, bác sĩ có thể tư vấn hướng điều trị thích hợp.

Qua bài viết này, hy vọng bạn đã biết halo sign là gì. Đây là một công cụ quan trọng giúp các bác sĩ phân biệt các loại tổn thương khác nhau, đặc biệt là trong việc chẩn đoán các khối u. Thực tế thì halo sign không phải lúc nào cũng đáng sợ. Khi phát hiện halo sign, bạn không nên quá lo lắng nhưng cũng không được bỏ qua. Việc thăm khám kỹ càng với một bác sĩ chuyên khoa là vô cùng cần thiết.
Dược sĩ Đại họcNguyễn Vũ Kiều Ngân
Tốt nghiệp Đại học Y Dược TP. Hồ Chí Minh. Có nhiều năm trong lĩnh vực dược phẩm. Hiện đang là giảng viên cho Dược sĩ tại Nhà thuốc Long Châu.