Từng làm ở Viện ISDS, nhiều năm cộng tác với CDC Thái Nguyên triển khai dự án phòng chống HIV/AIDS, 2 năm cộng tác với WHO.
Ánh Vũ
12/03/2025
Mặc định
Lớn hơn
X-quang hàm chếch là một kỹ thuật hình ảnh y khoa quan trọng, giúp bác sĩ chẩn đoán và điều trị nhiều vấn đề liên quan đến vùng hàm mặt. Bài viết này sẽ giúp bạn hiểu rõ hơn về X-quang hàm chếch, từ quy trình thực hiện cho đến những lợi ích và hạn chế của nó.
Trong lĩnh vực nha khoa, việc chẩn đoán chính xác và nhanh chóng các vấn đề răng miệng đóng vai trò vô cùng quan trọng. Phương pháp chụp X-quang hàm chếch đã trở thành một công cụ không thể thiếu, giúp các nha sĩ có thể phát hiện và điều trị hiệu quả các bệnh lý liên quan đến răng hàm mặt. Vậy, X-quang hàm chếch là gì và tại sao nó lại quan trọng đến vậy?
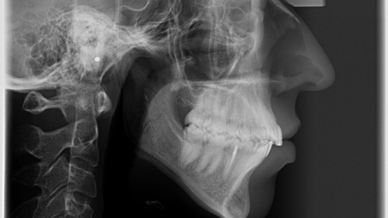
Chụp X-quang hàm chếch là một phương pháp chẩn đoán hình ảnh tiên tiến, sử dụng tia X để tạo ra hình ảnh chi tiết và ba chiều của cấu trúc xương hàm, răng và các mô mềm xung quanh. Kỹ thuật này cho phép các nha sĩ có thể nhìn thấy những khu vực mà các phương pháp X-quang truyền thống như X-quang toàn cảnh hoặc X-quang cận chóp không thể hiển thị rõ ràng.
Hình ảnh từ X-quang hàm chếch cung cấp cái nhìn toàn diện về tình trạng răng miệng, giúp phát hiện các vấn đề như sâu răng, nhiễm trùng, u bướu và các dị dạng xương hàm. Phương pháp này đóng vai trò quan trọng trong việc chẩn đoán chính xác và nhanh chóng, hỗ trợ lập kế hoạch điều trị hiệu quả hơn. Với sự phát triển của công nghệ, chụp X-quang hàm chếch ngày càng trở nên an toàn hơn cho bệnh nhân, giảm thiểu tối đa mức độ phơi nhiễm tia X.

Mục đích chính của chụp X-quang hàm chếch là cung cấp hình ảnh chi tiết về cấu trúc xương hàm và răng để hỗ trợ chẩn đoán và điều trị các vấn đề răng miệng. Phương pháp này có nhiều ứng dụng quan trọng trong nha khoa, bao gồm:

Để đảm bảo quá trình chụp X-quang hàm chếch diễn ra chính xác và an toàn, cần tuân thủ các bước chuẩn bị và thực hiện kỹ thuật nghiêm ngặt.
Người thực hiện: Quy trình chụp X-quang hàm chếch được thực hiện bởi bác sĩ và kỹ thuật viên chẩn đoán hình ảnh có chuyên môn cao.
Dụng cụ: Bao gồm máy chụp X-quang kỹ thuật số chuyên dụng, tấm cảm biến kỹ thuật số, áo chì, cổ chì, kính chì và bục gỗ cắt góc 15 độ.
Người bệnh:
Đảm bảo tư thế của bệnh nhân khi thực hiện đúng khi chụp X-quang hàm chếch, nhằm đảm bảo chất lượng hình ảnh tốt nhất và giảm thiểu sai sót trong quá trình chụp:
Đảm bảo an toàn cho bệnh nhân:
Chất lượng hình ảnh:
Xử lý sau khi chụp:

Chụp X-quang hàm chếch là phương pháp không thể thiếu trong nha khoa, mang lại nhiều lợi ích đáng kể. Tuy nhiên, cũng có các giới hạn cần lưu ý khi sử dụng kỹ thuật này:

Phương pháp chụp X-quang hàm chếch đã và đang đóng góp một phần quan trọng trong việc nâng cao hiệu quả chẩn đoán và điều trị trong nha khoa. Việc nắm rõ quy trình và ứng dụng của nó không chỉ giúp các chuyên gia nha khoa thực hiện công việc tốt hơn mà còn giúp bệnh nhân hiểu rõ hơn về tình trạng sức khỏe răng miệng của mình. Nếu bạn còn bất kỳ thắc mắc nào về X-quang hàm chếch, đừng ngần ngại liên hệ với các chuyên gia nha khoa để được tư vấn chi tiết.
Dược sĩ Đại học Nguyễn Tuấn Trịnh
Từng làm ở Viện ISDS, nhiều năm cộng tác với CDC Thái Nguyên triển khai dự án phòng chống HIV/AIDS, 2 năm cộng tác với WHO.