Dược sĩ Đại học có nhiều năm kinh nghiệm trong việc tư vấn Dược phẩm và hỗ trợ giải đáp thắc mắc về Bệnh học. Hiện đang là giảng viên cho Dược sĩ tại Nhà thuốc Long Châu.
Ngọc Diễm
07/09/2025
Mặc định
Lớn hơn
Trong xét nghiệm máu, chỉ số bạch cầu luôn được các bác sĩ quan tâm vì nó liên quan trực tiếp đến sức khỏe và khả năng miễn dịch của cơ thể. Vậy bạch cầu là gì và con số này phản ánh điều gì về tình trạng sức khỏe của bạn? Hãy cùng chúng tôi tìm hiểu chi tiết hơn về bạch cầu là gì và một số thông tin về chủ đề này nhé!
Để hiểu rõ hơn về ý nghĩa của chỉ số này, chúng ta cần tìm hiểu vai trò của bạch cầu đối với hệ miễn dịch, các loại bạch cầu phổ biến và nguyên nhân khiến chỉ số bạch cầu thay đổi. Những thông tin này sẽ giúp bạn biết cách theo dõi và bảo vệ sức khỏe hiệu quả hơn. Bài viết này sẽ cung cấp cho bạn một số thông tin về bạch cầu là gì cũng như các chỉ số liên quan đến bạch cầu.
Bạch cầu (White Blood Cells – WBC) là một loại tế bào máu đóng vai trò cực kỳ quan trọng trong hệ miễn dịch của con người. Đây là chiến binh chính giúp cơ thể chống lại các tác nhân gây hại như vi khuẩn, virus, ký sinh trùng và nấm. Bạch cầu được sản xuất chủ yếu từ tủy xương, sau đó lưu thông khắp cơ thể thông qua máu và các mô bạch huyết.
Không chỉ tuần hoàn trong máu, bạch cầu còn có khả năng di chuyển tới các mô, cơ quan bị viêm hoặc nhiễm trùng để tiêu diệt tác nhân gây bệnh. Quá trình này giúp cơ thể giảm nguy cơ nhiễm trùng lan rộng và hỗ trợ phục hồi nhanh hơn.
Nhờ khả năng nhận diện và tiêu diệt kẻ xâm nhập, bạch cầu đóng vai trò then chốt trong việc duy trì sức khỏe, bảo vệ cơ thể trước nhiều bệnh lý nguy hiểm. Vì vậy, chỉ số bạch cầu trong xét nghiệm máu thường được sử dụng như một dấu hiệu quan trọng để đánh giá tình trạng sức khỏe và hệ miễn dịch.

Mỗi loại bạch cầu đều là một mắt xích quan trọng của hệ miễn dịch và việc hiểu rõ các loại bạch cầu chính cùng chức năng của chúng sẽ giúp bạn nắm bắt cách cơ thể chống lại bệnh tật, từ đó chủ động hơn trong việc bảo vệ sức khỏe.
Bạch cầu hạt là nhóm bạch cầu có chứa các hạt nhỏ trong bào tương, dễ dàng quan sát dưới kính hiển vi. Nhóm này đóng vai trò tuyến đầu trong phản ứng miễn dịch, giúp cơ thể chống lại nhiều tác nhân gây bệnh. Bạch cầu hạt bao gồm 3 loại chính, mỗi loại đảm nhận một nhiệm vụ riêng biệt:
Sự phối hợp hoạt động của 3 loại bạch cầu hạt này giúp cơ thể vừa tiêu diệt tác nhân gây bệnh, vừa điều hòa phản ứng viêm và dị ứng, đảm bảo hệ miễn dịch hoạt động cân bằng và hiệu quả.

Lympho là một nhóm bạch cầu không hạt quan trọng hàng đầu trong hệ thống miễn dịch của cơ thể, chịu trách nhiệm nhận diện, ghi nhớ và tiêu diệt các tác nhân gây bệnh. Khác với các loại bạch cầu khác, Lympho không chỉ tham gia phản ứng miễn dịch tức thời mà còn đóng vai trò tạo nên trí nhớ miễn dịch giúp cơ thể phòng bệnh lâu dài.
Nhóm này gồm hai loại chính là Lympho T và Lympho B:
Sự phối hợp giữa Lympho T và Lympho B tạo thành một hệ thống phòng thủ tinh vi, vừa tấn công trực tiếp, vừa tạo kho vũ khí kháng thể, bảo vệ cơ thể trước hàng loạt mối đe dọa từ bên ngoài lẫn bên trong.

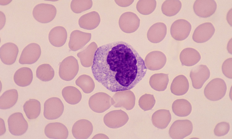
Bạch cầu Mono (bạch cầu đơn nhân) có kích thước lớn, nhân hình hạt đậu, bào tương rộng và thường chứa nhiều không bào. Chúng lưu thông trong máu và có khả năng xuyên mạch để đi vào mô. Tại đây, Mono sẽ biệt hóa thành đại thực bào hoặc tế bào dạng tua, thực hiện chức năng thực bào mạnh mẽ nhằm tiêu diệt vi khuẩn, virus, ký sinh trùng và loại bỏ các mảnh vụn tế bào chết.
Ngoài ra, Mono đóng vai trò quan trọng trong kích hoạt đáp ứng miễn dịch, khi trình diện kháng nguyên cho tế bào lympho T, từ đó khởi động quá trình phòng vệ đặc hiệu của cơ thể. Nhờ khả năng vừa dọn dẹp, vừa báo động này, Mono giữ vai trò thiết yếu trong việc bảo vệ và duy trì môi trường bên trong cơ thể luôn ổn định.

Chỉ số bạch cầu là số lượng bạch cầu được đo trong một thể tích máu nhất định, thường biểu thị bằng đơn vị tế bào trên microlit máu (cells/µL). Đây là một chỉ số quan trọng trong xét nghiệm công thức máu, phản ánh tình trạng hoạt động của hệ miễn dịch.

Qua những thông tin trên, bạn đã hiểu rõ bạch cầu là gì và vai trò quan trọng của chúng trong việc bảo vệ cơ thể. Hiểu rõ bạch cầu và chỉ số bạch cầu không chỉ giúp bạn nắm được vai trò của chúng trong việc bảo vệ cơ thể, mà còn hỗ trợ phát hiện sớm những dấu hiệu bất thường về sức khỏe. Hãy duy trì chế độ ăn uống, sinh hoạt lành mạnh và thăm khám định kỳ để giữ cho đội quân phòng thủ của cơ thể luôn ở trạng thái sẵn sàng chiến đấu. Hy vọng bài viết này có thể giúp bạn hiểu rõ hơn về chủ đề bạch cầu là gì cũng như một số vấn đề liên quan.
Dược sĩ Đại họcNguyễn Mỹ Huyền
Dược sĩ Đại học có nhiều năm kinh nghiệm trong việc tư vấn Dược phẩm và hỗ trợ giải đáp thắc mắc về Bệnh học. Hiện đang là giảng viên cho Dược sĩ tại Nhà thuốc Long Châu.