Tốt nghiệp loại giỏi trường Đại học Y Dược Huế. Từng tham gia nghiên cứu khoa học đề tài về Dược liệu. Nhiều năm kinh nghiệm làm việc trong lĩnh vực Dược phẩm. Hiện đang là giảng viên cho Dược sĩ tại Nhà thuốc Long Châu.
Thanh Tâm
02/12/2023
Mặc định
Lớn hơn
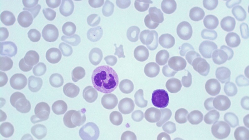
Bạch cầu lympholà một loại tế bào có nhiệm vụ quan trọng trong việc bảo vệ chúng ta khỏi các tác nhân gây bệnh. Trong bài viết này, chúng ta sẽ tìm hiểu về bạch cầu lympho là gì, vai trò của chúng, và cách nhận biết khi lượng bạch cầu lympho tăng lên trong cơ thể.
Bạch cầu lympho đóng vai trò quan trọng trong hệ thống miễn dịch của con người, chống lại sự tấn công của các virus, vi khuẩn, ký sinh trùng và các tác nhân gây bệnh. Nhưng điều gì xảy ra khi lượng bạch cầu lympho tăng lên ngoài mức bình thường?
Bạch cầu lympho hay còn gọi là bạch cầu lymphocyte, là một dạng tế bào trắng có trong máu. Chúng chịu trách nhiệm quan trọng trong việc tăng cường khả năng miễn dịch của cơ thể, giúp chống lại vi khuẩn, ký sinh trùng, và các tác nhân gây bệnh khác. Vì vai trò quan trọng này, bạch cầu lympho đóng góp một phần quan trọng cho hệ miễn dịch của cơ thể và giúp bảo vệ chúng ta chống lại bệnh tật.

Ở cơ thể người khỏe mạnh bình thường, số lượng bạch cầu lympho trong lượng bạch cầu thường ở mức khoảng 3.000 tế bào trong mỗi microlit máu. Nếu bạn thấy rằng số lượng bạch cầu lympho vượt quá ngưỡng này, điều này có thể cho thấy rằng cơ thể bạn đang hoạt động tăng mức tế bào lympho, và điều này cần được kiểm tra và theo dõi bởi bác sĩ chuyên khoa.
Bạch cầu lympho tăng lên trong máu thường không gây ra các biểu hiện bên ngoài rõ ràng, điều này khiến việc nhận biết và kết luận chính xác trở nên khó khăn. Chỉ thông qua xét nghiệm máu và các xét nghiệm bạch cầu cần thiết, chúng ta mới có thể phát hiện sự thay đổi trong số lượng bạch cầu lympho. Tuy nhiên, một số người có tăng bạch cầu lympho có thể trải qua các triệu chứng và biểu hiện sau đây cần đến gặp bác sĩ:

Những triệu chứng này không đồng nghĩa với việc bạn chắc chắn đã bị tăng bạch cầu lympho. Việc tham khảo ý kiến bác sĩ và tiến hành xét nghiệm sẽ giúp bạn xác định chính xác tình trạng sức khỏe của mình.
Bạch cầu lympho thường tăng lên trong nhiều tình trạng bệnh lý khác nhau. Dưới đây là một số ví dụ về các bệnh lý mà người bệnh có thể gặp khi trải qua tình trạng tăng bạch cầu lympho:

Tăng bạch cầu lympho có thể là một biểu hiện của nhiều loại bệnh lý khác nhau và không nên tự chẩn đoán. Nếu bạn có bất kỳ triệu chứng bất thường về sức khỏe, hãy tìm đến bác sĩ để được thăm khám và đưa ra chẩn đoán chính xác.
Việc hiểu rõ về bạch cầu lympho và khả năng nhận biết dấu hiệu tăng của chúng có thể giúp bạn nhận biết sớm những biểu hiện bất thường trong sức khỏe và tìm đến chuyên gia y tế để được tư vấn và điều trị kịp thời.
Dược sĩ Đại họcNgô Kim Thúy
Tốt nghiệp loại giỏi trường Đại học Y Dược Huế. Từng tham gia nghiên cứu khoa học đề tài về Dược liệu. Nhiều năm kinh nghiệm làm việc trong lĩnh vực Dược phẩm. Hiện đang là giảng viên cho Dược sĩ tại Nhà thuốc Long Châu.