Dược sĩ Đại học có nhiều năm kinh nghiệm trong việc tư vấn Dược phẩm và hỗ trợ giải đáp thắc mắc về Bệnh học. Hiện đang là giảng viên cho Dược sĩ tại Nhà thuốc Long Châu.
Thảo Nhi
10/05/2024
Mặc định
Lớn hơn
Quá trình bọc răng sứ lần 2 đòi hỏi sự chuyên nghiệp từ phía bác sĩ nha khoa, để đảm bảo rằng răng sứ mới sẽ có kết quả tốt và đáp ứng đúng mong đợi của bệnh nhân. Vậy cụ thể quá trình bọc răng sứ lần 2 diễn ra như thế nào? Hãy cùng Nhà thuốc Long Châu tìm hiểu qua bài viết dưới đây nhé!
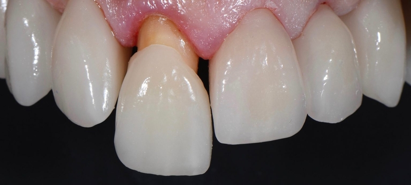
Bọc răng sứ lần 2 là quá trình cải thiện và tăng cường lại răng sứ sau khi đã có răng sứ trước đó. Quy trình này có những bước phức tạp và đòi hỏi sự kỹ năng và kinh nghiệm của bác sĩ nha khoa.
Trên thực tế, việc tái bọc răng sứ lần thứ hai hoặc nhiều lần đã trở nên khá phổ biến. Điều này bởi vì tuổi thọ của răng sứ không thể kéo dài mãi mãi, và theo thời gian, chúng có thể trở nên thẩm mỹ kém và không còn đủ chắc chắn như ban đầu.
Trong trường hợp này, việc tháo mão sứ cũ và thay bằng một mão sứ mới là một giải pháp cần được thực hiện. Điều này giúp đảm bảo rằng hàm răng vẫn giữ được vẻ đẹp tự nhiên, khỏe mạnh và không ảnh hưởng đến khả năng ăn nhai.
Thường thì, các trường hợp mà bác sĩ khuyên nên bọc răng sứ lần 2 bao gồm những trường hợp sau đây:

So với lần đầu, quá trình bọc răng sứ lần 2 sẽ phức tạp hơn và yêu cầu bác sĩ có nhiều kinh nghiệm hơn. Cụ thể, các bước thực hiện như sau:
Bước 1: Kiểm tra tổng quan và tư vấn
Đầu tiên, bác sĩ sẽ thực hiện kiểm tra tình trạng sức khỏe răng miệng. Trong trường hợp cần thiết, có thể tiến hành chụp phim X-quang để phát hiện vị trí của răng bị viêm tủy hoặc sâu răng. Dựa trên kết quả này, bác sĩ sẽ xây dựng một kế hoạch điều trị cụ thể. Sau đó, bệnh nhân sẽ được tư vấn để chọn loại răng sứ phù hợp.
Bước 2: Gỡ bỏ răng sứ cũ
Bác sĩ sẽ sử dụng các dụng cụ chuyên dụng để gỡ bỏ toàn bộ răng sứ cũ từ cùi răng thật. Nếu gặp vấn đề như viêm nhiễm, sâu răng,... bác sĩ sẽ tiến hành điều trị trước khi bọc lại răng sứ mới.
Bước 3: Chụp dấu răng
Sau khi xử lý các vấn đề về răng miệng, bác sĩ sẽ xem xét xem có cần điều chỉnh cùi răng hay không. Thường thì, sẽ cố gắng hạn chế việc mài răng lần thứ hai để không ảnh hưởng đến chất lượng của răng thật.
Bác sĩ sẽ sử dụng công nghệ quét dấu răng và gửi mẫu đến phòng thí nghiệm để chế tạo răng sứ mới.
Bước 4: Gắn răng sứ cố định
Sau khi răng sứ đã được chế tạo xong, bác sĩ sẽ thực hiện việc gắn thử để kiểm tra sự khớp cắn và thẩm mỹ. Nếu không cần điều chỉnh gì thêm, bác sĩ sẽ tiến hành gắn răng sứ cố định. Sau đó, bác sĩ sẽ hướng dẫn bệnh nhân về cách chăm sóc răng sứ, đặt lịch tái khám và hoàn tất quá trình bọc răng sứ lần thứ hai.

Khi tiến hành bọc răng sứ lần thứ hai, quá trình này không còn đơn giản như lần đầu và có một số vấn đề quan trọng mà bệnh nhân cần lưu ý như sau:

Tóm lại, quá trình bọc răng sứ lần 2 là một quy trình phức tạp nhưng mang lại những kết quả tuyệt vời cho việc cải thiện và nâng cao vẻ đẹp, chức năng và tự tin của nụ cười. Do đó, nếu có mong muốn bọc răng sứ lần 2, quý đọc giả nên tìm đến cơ sở nha khoa uy tín để được tư vấn và thực hiện qui trình này một cách chuyên nghiệp.
Xem thêm:
Dược sĩ Đại họcNguyễn Mỹ Huyền
Dược sĩ Đại học có nhiều năm kinh nghiệm trong việc tư vấn Dược phẩm và hỗ trợ giải đáp thắc mắc về Bệnh học. Hiện đang là giảng viên cho Dược sĩ tại Nhà thuốc Long Châu.