Tốt nghiệp Đại Học Dược Hà Nội - chuyên môn Dược lâm sàng. Hiện đang là giảng viên cho Dược sĩ tại Nhà thuốc Long Châu.
21/06/2023
Mặc định
Lớn hơn
Niềng răng là phương pháp chỉnh nha truyền thống nhưng mang lại hiệu quả làm thẳng đều hàm răng rất cao. Nhiều lựa chọn niềng răng khác nhau để bệnh nhân điều trị tùy theo yêu cầu điều trị chỉnh nha và nhu cầu, sở thích của mỗi người. Cùng Nhà thuốc Long Châu tìm hiểu các loại mắc cài niềng răng phổ biến hiện nay nhé.
Ngày nay, niềng răng là một trong những phương pháp phục hình răng rất phù hợp để cải thiện tính thẩm mỹ cho hàm răng. Có các loại mắc cài niềng răng khác nhau nên giá cả và hiệu quả cũng khác nhau. Tùy thuộc vào các phản ứng dị ứng (nếu có), khả năng chi trả, tình hình công việc,… mà người dùng có thể lựa chọn loại mắc cài phù hợp.
Niềng răng là kỹ thuật nha khoa sử dụng hệ thống các mắc cài và dây cung để tạo lực kéo lên răng, di chuyển răng vào vị trí mong muốn trong cung hàm, làm răng thẳng và cân đối.
Có nhiều phương pháp niềng răng mắc cài khác nhau hiện nay, nhưng các phương pháp đều có thể áp dụng cho nhiều trường hợp chỉnh nha khác nhau như:
Mắc cài kim loại truyền thống là loại mắc cài được sử dụng phổ biến nhất trong các loại mắc cài niềng răng hiện nay. Mắc cài kim loại thường là loại mắc cài cơ bản, chất liệu thường là thép không gỉ, thép không gỉ hoặc đôi khi là bạc, vàng. Khung kim loại của các kẹp kim loại có khả năng chịu tải tốt. Loại mắc cài này sử dụng dây thun để gắn dây cung vào khe mắc cài, tạo lực kéo để di chuyển răng vào vị trí mong muốn.
Ưu điểm
Nhược điểm
Mắc cài kim loại truyền thống được sử dụng phổ biến nhấtMắc cài kim loại tự buộc là loại niềng răng mà đầu mắc cài có hệ thống nắp trượt tự động hoặc cánh kim loại che và giữ dây trong kẹp mà không cần dây chun như các loại mắc cài kim loại thông thường. Do đó, dây cung có thể trượt tự do trong rãnh của mắc cài.
Ưu điểm
Nhược điểm
Mắc cài sứ được làm từ hợp kim gốm sứ và một số vật liệu vô cơ khác. Có hai loại mắc cài sứ: Mắc cài sứ thường và mắc cài sứ tự buộc. Mắc cài pha lê được làm bằng pha lê, tính chất tương tự như mắc cài sứ.
Ưu điểm
Nhược điểm
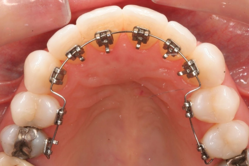
Mắc cài sứ rất thẩm mỹ, khó nhận thấy trong quá trình giao tiếpNiềng răng mắc cài mặt trong được gắn vào mặt trong của răng. Điều này giúp tăng hiệu quả thẩm mỹ. Người dùng có thể giao tiếp thoải mái mà không sợ lộ mắc cài như các loại mắc cài niềng răng thông thường.
Ưu điểm
Nhược điểm
Niềng răng mắc cài mặt trong giúp tăng hiệu quả thẩm mỹVì có nhiều loại mắc cài niềng răng khác nhau nên chi phí niềng răng cũng khác nhau. Tùy từng loại răng mà chi phí chăm sóc cũng phụ thuộc vào tình trạng răng và mức độ lệch lạc của răng ở mỗi người. Để biết thêm thông tin chi tiết về giá niềng răng, bạn nên đến nha khoa để thăm khám răng miệng và được bác sĩ tư vấn và lựa chọn loại niềng răng phù hợp cho mình.
Tôi hy vọng những thông tin trên sẽ giúp bạn hiểu rõ hơn về các loại mắc cài niềng răng. Để được an tâm và lựa chọn cho mình phương pháp điều trị chỉnh nha phù hợp nhất, bạn nên đến trực tiếp các cơ sở nha khoa uy tín thăm khám và nhận những tư vấn thiết thực từ các bác sĩ.
Ngọc Hà
Nguồn tham khảo: Tổng hợp
/https://cms-prod.s3-sgn09.fptcloud.com/KF_1b_LIQ_Tx_J_Pb27_Vsh90_QN_6b_Xz_OB_Jo_U_f0e2294e2e.png)
Dược sĩ Đại họcNguyễn Chí Chương
Tốt nghiệp Đại Học Dược Hà Nội - chuyên môn Dược lâm sàng. Hiện đang là giảng viên cho Dược sĩ tại Nhà thuốc Long Châu.