Tốt nghiệp loại giỏi trường Đại học Y Dược Huế. Từng tham gia nghiên cứu khoa học đề tài về Dược liệu. Nhiều năm kinh nghiệm làm việc trong lĩnh vực Dược phẩm. Hiện đang là giảng viên cho Dược sĩ tại Nhà thuốc Long Châu.
21/06/2023
Mặc định
Lớn hơn
Bài viết sau đây sẽ giải thích tình trạng răng bị nhiễm fluor là gì, nguyên nhân khiến cho răng bị nhiễm fluor và cách điều trị răng bị nhiễm fluor hiệu quả mà ai cũng nên biết.
Hiện nay, tình trạng răng bị nhiễm fluor đang là vấn đề được rất nhiều người quan tâm, làm sao để điều trị răng bị nhiễm fluor? Bài viết dưới đây sẽ phần nào giúp bạn hiểu rõ hơn về tình trạng này cũng như cách điều trị răng nhiễm fluor hiệu quả.
Răng nhiễm fluor có thể được hiểu là tình trạng răng có lượng fluor bị dư thừa quá nhiều, dẫn đến hình thái ban đầu của men răng bị thay đổi. Thông thường, khi mắc phải tình trạng này, sự diễn biến của nó sẽ diễn ra nhất nhanh khi răng và nướu đang trong giai đoạn phát triển, đặc biệt là ở trẻ em.
Mặc dù là một căn bệnh thường gặp nhưng không phải ai cũng có thể phát hiện ra sớm để kịp thời điều trị tình trạng này. Hầu hết, khi trẻ mắc phải đều phải đợi tới khi răng đã hoàn thiện thì ba mẹ mới phát hiện ra và tìm cách điều trị răng bị nhiễm fluor.
Để có thể phát hiện sớm và kịp thời điều trị, bạn nên theo dõi tình trạng răng miệng xem có gặp phải các dấu hiệu dưới đây hay không.

Một trong những nguyên nhân thường thấy nhất chính là việc cung cấp quá nhiều fluor cho răng trong thời gian dài. Lượng fluor này có thể đến từ những chế phẩm thường ngày như kem đánh răng, nước súc miệng, nguồn nước cũng như các loại thuốc có thành phần là fluor.
Bên cạnh đó, việc bạn có một chế độ ăn uống các thực phẩm chứa quá nhiều fluor (như cá biển, trà, nho khô,...) cũng khiến cho lượng fluor ở răng miệng bị gia tăng quá mức, dẫn đến dư thừa và ảnh hưởng đến tình trạng của men răng.
Hiện nay, để có thể điều trị răng bị nhiễm fluor hiệu quả, bạn cần phải xem xét lại tình trạng fluor của răng để có cách điều trị phù hợp. Tuy nhiên, cách điều trị răng nhiễm fluor đơn giản và hiệu quả nhất chính là hạn chế sử dụng các chế phẩm bổ sung quá nhiều lượng fluor. Trong trường hợp, răng xuất hiện những dấu hiệu đã nhắc đến ở trên, phải đến ngay nha sĩ để được điều trị kịp thời, tránh để men răng bị ảnh hưởng.
Dưới đây là những cách điều trị răng bị nhiễm fluor hiệu quả mà bạn nên tham khảo.
Nhiều người thường thắc mắc răng bị nhiễm fluor có tẩy trắng được không? Câu trả lời là trong trường hợp răng bạn gặp tình trạng nhiễm fluor không đáng kể, có thể tẩy trắng răng để phá vỡ các thành phần gây nên tình trạng nhiễm màu răng.
Trong quá trình thực hiện, các bác sĩ nha khoa sẽ tiến hành che nướu răng cho bạn để hạn chế được tình trạng thuốc tẩy gây nên kích ứng cho nước. Phương pháp này sẽ giúp lấy lại hàm răng trắng sáng chỉ trong khoảng 30 phút thực hiện thủ thuật.

Bọc răng sứ được cho là cách điều trị răng bị nhiễm fluor tình trạng nhẹ. Bạn phải bọc lên răng của mình một mão răng sứ được thiết kế theo đúng hình dáng và màu sắc tương tự như răng thật nhằm che đi những khuyết điểm trên răng.
Thông thường, trước khi bọc răng sứ, các nha sĩ tiến hành mài phần răng thật thành trụ để lắp răng sứ. Tùy vào kích thước của răng thật mà độ mài răng sẽ được cân nhắc sao cho hợp lý, để có được tỷ lệ vừa vặn khi lắp răng sứ, tạo nên được sự đồng đều và không bị kênh cộm trên răng.
Phương pháp này thường cần được thực hiện và hoàn thành sau 2-3 ngày. Bạn có thể sử dụng phần răng sứ này từ 15 - 20 năm trở lên, tùy vào cách chăm sóc răng của bạn.

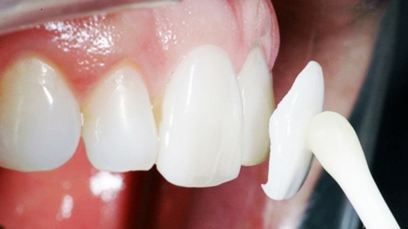
Ngoài những cách trên, bạn có thể áp dụng phương pháp dán răng sứ, một trong những phương pháp phổ biến đang được nhiều người sử dụng nhất hiện nay. Phương pháp này cũng có kỹ thuật thực hiện tương tự như phương pháp bọc răng sứ thông thường, nhưng được thay thế bằng một miếng dán sứ mỏng hơn, hạn chế được tỷ lệ mài cùi răng một cách tối đa nhất để bảo vệ răng.
Điều này sẽ giúp cho răng thật của bạn không bị xâm lấn nhiều cũng như đảm bảo được tính thẩm mỹ tốt nhất. Mặc dù vậy, cách điều trị răng bị nhiễm fluor này lại có mức chi phí khá cao và đòi hỏi cơ sở thực hiện phải có chuyên môn cao.

Có thể thấy, răng bị nhiễm fluor tuy không gây nguy hiểm quá nhiều nhưng lại ảnh hưởng lớn đến tính thẩm mỹ của răng, khiến cho sức khỏe của răng dần suy giảm. Vì vậy, Long Châu khuyên bạn nên đi thăm khám và áp dụng cách điều trị răng bị nhiễm fluor kịp thời, để khắc phục sớm tình trạng này nhé!
Hằng Lê
Nguồn tham khảo: Tổng hợp
Dược sĩ Đại họcNgô Kim Thúy
Tốt nghiệp loại giỏi trường Đại học Y Dược Huế. Từng tham gia nghiên cứu khoa học đề tài về Dược liệu. Nhiều năm kinh nghiệm làm việc trong lĩnh vực Dược phẩm. Hiện đang là giảng viên cho Dược sĩ tại Nhà thuốc Long Châu.