:format(webp)/smalls/thuoc_tay_trang_rang_co_tot_khong_dung_thuoc_tay_trang_rang_tai_nha_nhu_the_nao_b53c88051a.jpg)
Hàm răng xỉn màu khiến cho nhiều người mất tự tin khi cười và gây cản trở giao tiếp. Để khắc phục các tình trạng răng bị xỉn màu, ố vàng thì nhiều người đã lựa chọn các sản phẩm thuốc tẩy trắng răng. Vậy dùng thuốc tẩy trắng răng tại nhà có tốt không?
:format(webp)/6_thoi_quen_hang_ngay_khien_rang_xin_mau_o_vang_1_70997d9a1e.jpg)
Sở hữu một hàm răng trắng sáng là mong muốn của nhiều người, nhưng không phải ai cũng biết rằng những thói quen hàng ngày có thể gây hại nghiêm trọng đến màu sắc của răng. Trong bài viết này, chúng ta sẽ cùng điểm qua 6 thói quen thường gặp mà nhiều người không nhận ra đang gây ảnh hưởng xấu đến sức khỏe và vẻ đẹp của hàm răng, từ đó tìm hiểu cách phòng tránh để duy trì một nụ cười rạng rỡ.
:format(webp)/vet_den_tren_rang_ham_la_do_nhung_nguyen_nhan_gi_1_Cropped_b727135efa.jpg)
Vết đen trên răng hàm thường là một nỗi lo lắng của nhiều người, đặc biệt là những người mong muốn giữ cho hàm răng của mình luôn trắng sáng. Những vết này không chỉ ảnh hưởng đến thẩm mỹ và tự tin khi giao tiếp mà còn có thể tác động đến sức khỏe của răng miệng.
:format(webp)/vi_sao_rang_co_dom_trang_lam_the_nao_de_khac_phuc_tinh_trang_nay_0_db7c96bd02.jpg)
Bạn có thể chăm sóc răng miệng thật tốt bằng cách đánh răng hai lần một ngày, dùng chỉ nha khoa và khám răng định kỳ nhưng các đốm trắng vẫn có thể phát triển trên răng của bạn. Vậy, vì sao răng có đốm trắng?
:format(webp)/rang_loi_xi_la_gi_nguyen_nhan_va_cach_dieu_tri_1_Cropped_eb44d36468.jpg)
Răng lồi xỉ còn được gọi là răng hô hoặc răng nanh nhô ra. Khi răng cửa trên hoặc dưới hoặc cả hai nhô ra xa hơn bình thường so với hàm đối diện, đây được gọi là răng lồi xỉ.
:format(webp)/cach_dieu_tri_rang_nhiem_fluor_an_toan_va_hieu_qua_Czyd_B_1656097639_045af06cc8.jpg)
Bài viết sau đây sẽ giải thích tình trạng răng bị nhiễm fluor là gì, nguyên nhân khiến cho răng bị nhiễm fluor và cách điều trị răng bị nhiễm fluor hiệu quả mà ai cũng nên biết.
:format(webp)/rang_nhiem_fluor_la_nhu_the_nao_co_dieu_tri_duoc_khong_Hdg_BV_1654090115_e992d8e9cc.jpeg)
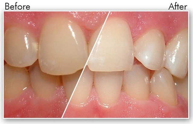
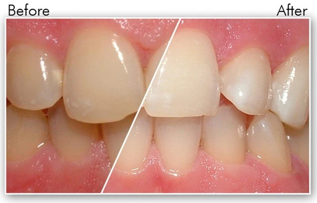
Fluor là một chất cần thiết để bảo vệ răng chắc khỏe hơn, nhưng khi cơ thể hấp thụ quá nhiều florua sẽ không tốt cho răng chút nào. Răng nhiễm fluor dần dần bị đổi màu, có những vệt trắng trên bề mặt răng, ảnh hưởng rất nhiều đến tính thẩm mỹ. Vậy làm thế nào để ngăn ngừa và điều trị tình trạng răng bị nhiễm khuẩn fluor?
:format(webp)/rang_be_bi_xin_mau_co_anh_huong_gi_cach_dieu_tri_theo_do_tuoi_HG_Rn_M_1654078826_ac5e2f4658.jpeg)
Răng bé bị xỉn màu và đổi màu có thể do nhiều nguyên nhân. Thông thường, răng của trẻ có thể có màu trắng ngà. Nhưng nếu bạn thấy răng của trẻ chuyển sang màu vàng nâu hoặc đen thì nên đưa trẻ đi khám để xác định nguyên nhân là do đâu.
:format(webp)/chan_rang_bi_vang_nguyen_nhan_va_cach_cai_thien_hx_Ai_D_1654071129_9b43919706.jpeg)
Chân răng bị vàng là một trong những vấn đề thường gặp khiến nhiều người mất tự tin trong giao tiếp. Ngoài ra, vàng răng còn có thể tiềm ẩn bệnh lý ảnh hưởng đến sức khỏe. Do đó, cần tìm ra các yếu tố gây vàng răng để có hướng khắc phục. Tuy nhiên, hầu hết mọi người không nhận ra rằng những thói quen hằng ngày cũng chính là nguyên nhân khiến răng vàng ố.
:format(webp)/nguyen_nhan_nao_dan_den_rang_xin_mau_va_cach_dieu_tri_hieu_qua_qba_Go_1654062735_7f333de945.jpeg)
Nhiều người e ngại, mất tự tin khi giao tiếp vì một hàm răng xỉn màu hay ố vàng. Tuy nhiên, điều đáng lo ngại hơn là tình trạng răng xỉn màu còn có thể do bệnh lý răng miệng nào đó gây hại cho sức khỏe như răng trám bị xỉn màu. Dưới đây là những nguyên nhân phổ biến nhất của sự đổi màu răng và các phương pháp điều trị cho tình trạng này.