• Thực phẩm chức năng

  • Dược mỹ phẩm

  • Thuốc

  • Chăm sóc cá nhân

  • Thiết bị y tế

  • Tiêm chủng

  • Bệnh & Góc sức khỏe

  • Hệ thống nhà thuốc

    1. /
    2. Góc sức khỏe/
    3. Phòng bệnh & Sống khoẻ

    Răng nhiễm fluor là như thế nào? Có điều trị được không?

    21/06/2023

    Kích thước chữ

    Fluor là một chất cần thiết để bảo vệ răng chắc khỏe hơn, nhưng khi cơ thể hấp thụ quá nhiều florua sẽ không tốt cho răng chút nào. Răng nhiễm fluor dần dần bị đổi màu, có những vệt trắng trên bề mặt răng, ảnh hưởng rất nhiều đến tính thẩm mỹ. Vậy làm thế nào để ngăn ngừa và điều trị tình trạng răng bị nhiễm khuẩn fluor?

    Răng bị nhiễm fluor là một trong những bệnh lý răng miệng phổ biến, ảnh hưởng đến màu sắc của răng và khiến nhiều người cảm thấy không tự tin về hàm răng của mình. Hãy cùng nhà thuốc Long Châu tìm hiểu thêm về dấu hiệu và cách điều trị răng nhiễm fluor trong bài viết này.

    Răng nhiễm fluor là gì?

    Răng nhiễm fluor là một bệnh lý răng miệng do dư thừa fluor làm thay đổi màu của men răng. Tình trạng này thường tiến triển nhanh hơn trong giai đoạn phát triển nướu, nghĩa là trẻ có nguy cơ nhiễm fluor cao hơn người lớn. Tuy nhiên, thông thường ba mẹ khó phát hiện tình trạng này ở trẻ do răng vẫn đang phát triển. Chỉ đến khi trẻ mọc hết răng mới phát hiện ra nhiễm fluor.

    Nguyên nhân khiến răng bị nhiễm fluor

    Công dụng của fluor là làm chắc răng hay tăng cường men răng và ngăn ngừa sâu răng. Nhiều người lầm tưởng rằng việc bổ sung fluor là cần thiết, nhưng trên thực tế chỉ cần một lượng fluor vừa đủ vào cơ thể. Nếu lạm dụng nhiều fluor bạn sẽ bị nhiễm fluor.

    Bệnh nhiễm fluor thường do tiêu thụ quá nhiều florua kéo dài khi còn nhỏ như thói quen dùng nước có chất fluor, kem đánh răng, nước súc miệng có thành phần này. Ngoài ra, lượng fluor dư thừa cũng có thể liên quan đến chế độ ăn uống. Việc hấp thụ quá nhiều fluoride là nguyên nhân ảnh hưởng đến men răng sau này.

    Nguyên nhân khiến răng nhiễm fluor Có nhiều nguyên nhân khiến răng bị nhiễm fluor trong đó có kem đánh răng chứa nhiều fluor là nguyên nhân rất phổ biến

    Dấu hiệu răng nhiễm fluor

    Tùy theo từng giai đoạn khác nhau mà xuất hiện những biểu hiện khác nhau:

    • Giai đoạn đầu: Xuất hiện những chấm nhỏ màu trắng sữa, lâu dần tạo thành mảng lớn nhưng chiếm không quá 25% bề mặt răng.
    • Giai đoạn nhẹ: Các đốm trắng sữa lan rộng hơn nhưng không quá 50% bề mặt răng.
    • Giai đoạn nặng: Toàn bộ bề mặt răng có màu trắng sữa, một số chỗ từ từ chuyển sang màu nâu.
    • Giai đoạn nghiêm trọng: Bề mặt răng không đều, thân răng có lỗ hổng khiến răng nhạy cảm, dễ bị sứt mẻ.

    Cách xử lý răng bị nhiễm fluor

    Tuỳ vào từng mức độ nhiễm fluor mà bác sĩ sẽ chỉ định biện pháp, cách điều trị răng bị nhiễm fluor phù hợp.

    Tẩy trắng răng

    Nếu răng nhiễm fluor nhẹ, bác sĩ sẽ đánh giá và tư vấn cho bạn có nên thực hiện tẩy trắng răng không. Tẩy trắng răng là một lựa chọn để áp dụng cho những trường hợp nhiễm fluor nhẹ. Phương pháp này sử dụng thuốc làm trắng răng và các thiết bị công nghệ để tác động sâu và tăng cường màu sắc giúp răng trắng sáng hơn. Cách này có thể giúp làm trắng răng trong khoảng 3 - 5 năm nếu chăm sóc tốt. Nhưng nếu bạn ăn nhiều thực phẩm có màu hoặc sử dụng các sản phẩm có chứa nhiều florua, hiệu quả làm trắng có thể ngắn hơn.

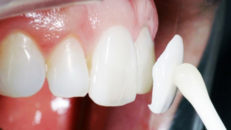
    Dán răng sứ Veneer

    Bên cạnh phương pháp trên, thì mặt dán sứ Veneer cũng là một trong những kỹ thuật phục hình răng bị ngả màu được nhiều người áp dụng. Kỹ thuật phục hình răng tương tự như bọc răng sứ nhưng sử dụng mặt dán sứ mỏng hơn. Tỷ lệ mài cùi răng cũng được giảm thiểu. Vì vậy, phương pháp này giúp răng thật ít bị bào mòn, bảo vệ răng tối ưu mà vẫn đảm bảo tính thẩm mỹ, do đó chi phí cao hơn so với bọc răng sứ.

    Cách xử lý răng bị nhiễm fluor: Dán răng sứ Veneer Dán răng sứ là một trong những cách xử lý răng nhiễm fluor tốt nhất

    Bọc răng sứ

    Bọc răng sứ được áp dụng cho những trường hợp răng bị ngả màu quá nhiều và không thể làm trắng được. Phương pháp này khắc phục các khuyết điểm về răng bằng cách đặt một mão sứ lên răng thật. Loại răng sứ này được thiết kế với hình dáng và màu sắc giống với răng thật nhất để đảm bảo tính thẩm mỹ tối đa.

    Trước khi chế tạo mão răng sứ, bác sĩ phải mài cùi răng thật để tạo thành trụ đặt răng sứ. Mức độ mài răng bao nhiêu tùy thuộc vào kích thước và sức khỏe của răng thật. Đồng thời, tỷ lệ mài răng phải đảm bảo mão sứ đóng khít sau khi lắp, không bị lệch. Bọc răng có thể sử dụng từ 15 - 20 năm, thậm chí nhiều hơn nếu được chăm sóc răng miệng đúng cách.

    Cách phòng ngừa nhiễm fluor

    Để tránh tình trạng trên bạn cần lưu ý những điều sau:

    • Thường xuyên kiểm tra nồng độ florua trong nước uống và nước sinh hoạt nếu hàm lượng fluor vượt quá 1 mg/l thì bạn nên sử dụng các biện pháp xử lý nước như chưng cất, thẩm thấu ngược, sử dụng máy lọc nước,…
    • Chọn kem đánh răng và nước súc miệng có nồng độ florua phù hợp với lứa tuổi của bạn. Đặc biệt là với trẻ em chỉ nên sử dụng kem đánh răng dành cho trẻ nhỏ. Còn trường hợp sử dụng chung kem đánh răng với người lớn thì phải đảm bảo nồng độ fluor phù hợp với cả người lớn và trẻ em.
    • Không nên dùng quá nhiều kem đánh răng mỗi khi đánh răng và cũng không nên đánh răng quá lâu để tránh florua ngấm vào răng. Sau khi đánh răng cần súc miệng bằng nước sạch.
    • Thực hiện chế độ ăn uống khoa học, không nên ăn quá nhiều thức ăn có chứa fluor trong thời gian dài.
    Cách phòng ngừa răng nhiễm fluor Kiểm tra nồng độ fluor trong nước sinh hoạt hằng ngày để đảm bảo fluor không vượt mức an toàn

    Với những thông tin ở trên hy vọng bạn đã hiểu về tình trạng răng nhiễm fluor là như thế nào, cách điều trị cũng như cách phòng ngừa hiệu quả. Để tìm được phương pháp điều trị thích hợp với tình trạng răng của bản thân bạn nên đi khám tại nha khoa uy tín với bác sĩ giàu kinh nghiệm.

    Cao Hiếu

    Nguồn tham khảo: Tổng hợp

    Có thể bạn quan tâm

    Thông tin và sản phẩm gợi ý trong bài viết chỉ mang tính chất tham khảo, vui lòng liên hệ với Bác sĩ, Dược sĩ hoặc chuyên viên y tế để được tư vấn cụ thể. Xem thêm

    Dược sĩ Đại học Nguyễn Tuấn Trịnh

    Đã kiểm duyệt nội dung

    Từng làm ở Viện ISDS, nhiều năm cộng tác với CDC Thái Nguyên triển khai dự án phòng chống HIV/AIDS, 2 năm cộng tác với WHO.

    Xem thêm thông tin