• Thực phẩm chức năng

  • Dược mỹ phẩm

  • Thuốc

  • Chăm sóc cá nhân

  • Thiết bị y tế

  • Tiêm chủng

  • Bệnh & Góc sức khỏe

  • Hệ thống nhà thuốc

    1. /
    2. Góc sức khỏe/
    3. Phòng bệnh & Sống khoẻ

    Giải đáp: Răng bị nhiễm fluor có tẩy trắng được không?

    21/06/2023

    Kích thước chữ

    Răng nhiễm flour là tình trạng răng có những mảng đục không đều màu. Tình trạng này gây ảnh hưởng rất lớn đến tính thẩm mỹ của hàm răng. Vậy đâu là nguyên nhân khiến răng bị nhiễm flour? Răng bị nhiễm flour có tẩy trắng được không?

    Răng nhiễm flour là vấn đề răng miệng thường gặp. Nó gây ảnh hưởng đến màu sắc của răng và làm cho nhiều người tự tin với nụ cười của mình. Vậy răng bị nhiễm flour có tẩy trắng được không? Nội dung bài viết sau đây sẽ giúp bạn giải đáp thắc mắc này, cùng theo dõi nhé.

    Tổng quan về tình trạng răng bị nhiễm flour

    Răng bị nhiễm flour là gì?

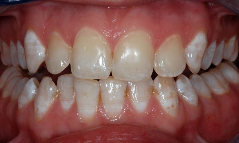
    Răng bị nhiễm fluor là một biểu hiện của tình trạng dư thừa fluor. Flour bị dư thừa làm ảnh hưởng đến quá trình hình thành men răng. Khi đó sẽ xuất hiện nhiều đốm trắng đục loang lổ trên răng, làm cho răng không trắng đều màu. Tình trạng này xảy ra chủ yếu độ tuổi nhỏ cho đến giai đoạn vị thành niên khi răng đã tiếp xúc với một lượng lớn fluor trong một khoảng thời gian dài.

    Lúc mới đầu thì răng nhiễm bị fluor không có biểu hiện rõ ràng. Đến khi tình trạng nhiễm flour nặng hơn bạn mới nhận thấy những hiện tượng như sau:

    • Các đốm trắng xuất hiện trên răng tạo thành mảng, tùy vào mức độ nhiễm flour nặng nhẹ mà tỷ lệ mảng trắng trên nhiều hoặc ít.
    • Răng không đều màu và bị chuyển màu, một số khu vực chuyển sang màu vàng hoặc nâu.
    • Bề mặt răng sần sùi và các lỗ bắt đầu xuất hiện rời rạc trên răng.
    Răng bị nhiễm fluor là một biểu hiện của tình trạng dư thừa fluor Răng bị nhiễm fluor là một biểu hiện của tình trạng dư thừa fluor

    Nguyên nhân dẫn đến tình trạng răng nhiễm flour

    Fluor là một chất khoáng chất tự nhiên, nó có trong nhiều loại thực phẩm cũng như trong nước sinh hoạt hàng ngày. Đối với răng miệng thì loại khoáng chất này có tác dụng bồi đắp men răng và chống sâu răng hiệu quả. Cũng chính vì lý do này mà trong nhiều loại kem đánh răng hầu hết đều có thành phần fluor.

    Tuy nhiên, nếu fluor bị dư thừa thì hoàn toàn không tốt cho cả sức khỏe răng miệng và cơ thể. Bởi vì chúng sẽ làm cho răng nhiễm bị màu fluor và không còn chắc khỏe như trước. Nguyên nhân dẫn đến tình trạng răng nhiễm flour là do:

    • Nhiễm từ nước uống tự nhiên chứa quá nhiều fluor.
    • Chế độ ăn uống không hợp lý. Chế độ ăn với quá nhiều loại thực phẩm giàu fluor như tôm, cua, nước soda, khoai tây, nho khô,…
    • Sử dụng kem đánh răng có nồng độ fluor cao.

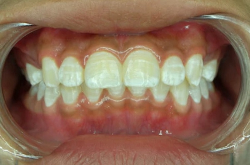
    Răng bị nhiễm fluor chủ yếu bắt nguồn từ thói quen sinh hoạt hàng ngày. Khi răng bị nhiễm màu nặng sẽ gây mất thẩm mỹ. Do đó người bệnh cũng sẽ không còn tự tin khi giao tiếp hay không còn cười nhiều nữa. Lúc này người bệnh cần can thiệp các biện pháp nha khoa để khắc phục răng nhiễm flour. Vậy răng bị nhiễm fluor có tẩy trắng được không?

    Răng bị nhiễm fluor chủ yếu bắt nguồn từ thói quen sinh hoạt hàng ngày Răng bị nhiễm fluor chủ yếu bắt nguồn từ thói quen sinh hoạt hàng ngày

    Răng bị nhiễm flour có tẩy trắng được không?

    Trên thực tế, để chẩn đoán chính xác tình trạng răng bị nhiễm fluor có tẩy trắng được không thì bạn cần đến trực tiếp nha khoa uy tín để thăm khám. Tùy thuộc vào mức độ nặng nhẹ của răng nhiễm flour mà lúc này nha sĩ sẽ đưa ra lời khuyên có thể thực hiện tẩy trắng răng hoặc không.

    Tẩy trắng răng đối với trường hợp nhiễm fluor nhẹ

    Đối với các trường hợp răng bị nhiễm màu fluor nhẹ và tình trạng này chưa gây ra tổn thương đến bề mặt của răng thì có thể thực hiện phương pháp tẩy trắng răng Laser. Đây là công nghệ tẩy trắng răng hiện đại. Công nghệ này sử dụng ánh sáng Laser với thuốc tẩy trắng răng để loại bỏ đi những phần tử bám màu từ bên trong men răng. Phương pháp này giúp người bệnh đạt hiệu quả thẩm mỹ tối ưu.

    Răng nhiễm flour nặng

    Nếu như răng của người bệnh bị nhiễm flour quá nặng, răng quá đậm màu và răng không còn khỏe mạnh thì răng bị nhiễm Fluor có tẩy trắng được không? Đối với tình trạng này tẩy trắng gần như không mang lại hiệu quả. Lúc này, bác sĩ nha khoa sẽ khuyên người bệnh nên sử dụng các biện pháp phục hình răng thẩm mỹ để khắc phục tình trạng nhiễm flour triệt để.

    Tùy thuộc vào mức độ nặng nhẹ của răng nhiễm flour mà lúc này nha sĩ sẽ đưa ra lời khuyên có thể thực hiện tẩy trắng răng hoặc không Tùy thuộc vào mức độ của răng nhiễm flour mà có thể thực hiện tẩy trắng răng hoặc không

    Cách ngăn ngừa răng nhiễm fluor

    Có một số gia đình gặp phải tình huống cả nhà đều bị nhiễm fluor. Nguyên nhân của trường hợp này phần lớn đến từ thói quen sinh hoạt, ăn uống hằng ngày chứ không phải là vấn đề di truyền. Thế nên, hãy tập thói quen chăm sóc sức khỏe răng miệng thật tốt ngay từ nhỏ cho trẻ và bảo vệ hàm răng của bạn sau khi đã điều trị nhiễm flour. Để ngăn ngừa tình trạng răng bị nhiễm flour, bạn có thể tham khảo một số cách sau:

    • Kiểm tra nồng độ fluor trong nước sinh hoạt của nhà bạn. Lượng fluor trong nước cho phép chỉ là 0.7 – 1 mg trên một lít. Nếu như nồng độ vượt quá mức này, bạn nên áp dụng một số biện pháp xử lý ngay như chưng cất, lọc RO, thẩm thấu ngược,…
    • Lựa chọn và sử dụng loại kem đánh răng có nồng độ fluor phù hợp với từng độ tuổi theo khuyến cáo của tiêu chuẩn bác sĩ nha khoa. Tuyệt đối không cho trẻ sử dụng kem đánh răng của người lớn.
    • Kiểm soát lượng kem đánh răng vừa đủ mỗi khi dùng.
    • Tránh để trẻ nuốt kem đánh răng vào bụng.
    • Không nên đánh răng quá lâu bởi như vậy sẽ làm tăng khả năng ngấm fluor vào men răng. Sau đó, nhớ súc miệng thật sạch bằng nước sạch để rửa trôi lượng fluor còn sót lại.
    • Kiểm soát chế độ ăn phù hợp, không nên ăn liên tục trong thời gian dài các loại thực phẩm chứa nhiều fluor.

    Fluor là khoáng chất cần thiết đối với sự chắc khỏe răng của bạn. Tuy nhiên, chúng cũng có thể sẽ là nguyên nhân gây răng nhiễm fluor mất thẩm mỹ nếu sử dụng không đúng cách.

    Răng bị nhiễm flour có tẩy trắng được không? Các phương pháp tẩy trắng chỉ có tác dụng với tình trạng nhiễm flour nhẹ. Nếu bạn bị nhiễm flour quá nặng thì cần áp dụng các biện pháp phức tạp hơn để khắc phục tình trạng này. Để giữ được sự trắng sáng của răng, bạn cần chăm sóc răng miệng đúng cách, đặc biệt là không được sử dụng flour quá nhiều vì nó sẽ gây nên tình trạng răng nhiễm flour.

    Ngọc Hiếu

    Nguồn tham khảo: Tổng hợp

    Có thể bạn quan tâm

    Thông tin và sản phẩm gợi ý trong bài viết chỉ mang tính chất tham khảo, vui lòng liên hệ với Bác sĩ, Dược sĩ hoặc chuyên viên y tế để được tư vấn cụ thể. Xem thêm

    Dược sĩ Đại họcTrần Thị Dương

    Đã kiểm duyệt nội dung

    Tốt nghiệp Đại Học Dược Hà Nội và có nhiều kinh nghiệm trong lĩnh vực Dược phẩm. Nhiều năm công tác giảng dạy tại các trường trung cấp và cao đẳng dược. Hiện đang là giảng viên cho Dược sĩ tại Nhà thuốc Long Châu.

    Xem thêm thông tin