Tốt nghiệp Đại Học Dược Hà Nội - chuyên môn Dược lâm sàng. Hiện đang là giảng viên cho Dược sĩ tại Nhà thuốc Long Châu.
21/06/2023
Mặc định
Lớn hơn
Chân răng bị mòn là tình trạng gây ảnh hưởng đến tính thẩm mỹ của hàm răng và làm cho người bệnh bị ê buốt, khó chịu khi ăn nhai. Tình trạng này còn có thể gây ra những biến chứng nguy hiểm nếu như để lâu không điều trị kịp thời. Bài viết này sẽ cung cấp cho bạn những thông tin bổ ích về tình trạng chân răng bị mòn này.
Hiện nay, cổ chân răng bị mòn là một bệnh lý khá nhiều người mắc phải. Tình trạng này sẽ gây ảnh hưởng lớn đến sức khỏe răng miệng và tính thẩm mỹ của hàm răng. Được biết nguyên nhân chủ yếu của việc chân răng bị mòn là do những thói quen sinh hoạt không tốt hằng ngày. Cụ thể là những hoạt động nào và cách khắc phục tình trạng chân răng bị ăn mòn ra sao mời các bạn cùng theo dõi bài viết dưới đây nhé!
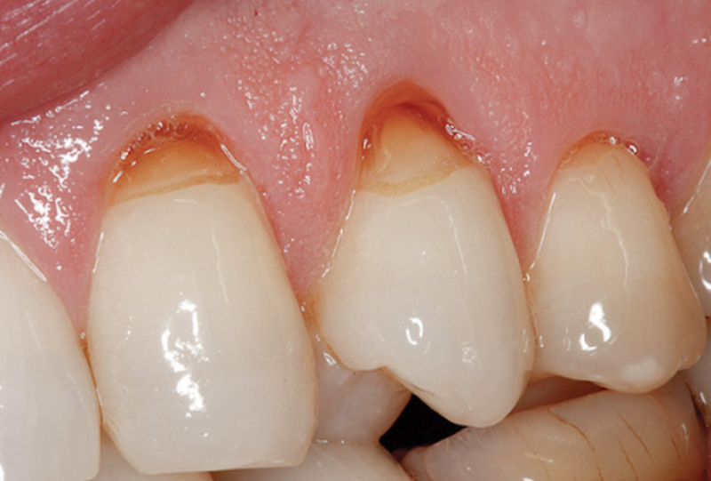
Mòn cổ chân răng là hiện tượng men răng ở vùng cổ chân răng bị mòn khuyết vào trong. Biểu hiện của tình trạng này là khi ăn uống hoặc hít không khí lạnh thì răng sẽ có cảm giác bị ê buốt. Đồng thời trên răng bị ăn mòn sẽ xuất hiện vết mòn hình chữ V.
Trên thực tế, theo thời gian men răng của mỗi người sẽ bị mòn dần dần đi một phần. Tình trạng này chủ yếu là do lực ma sát khi nhai thức ăn và sự tác động qua lại của các chất trong khoang miệng. Tuổi tác càng cao thì độ dày của men răng càng mỏng. Bên cạnh đó, tuỳ thuộc vào cơ địa của mỗi người khoẻ hay yếu mà độ mòn men răng sẽ nhiều hoặc ít.
Chân răng bị mòn là hiện tượng men răng ở vùng cổ chân răng bị mòn khuyết vào trongTheo các chuyên gia nha khoa thì bệnh chân răng bị mòn chủ yếu xảy ra bởi các nguyên nhân sau đây:
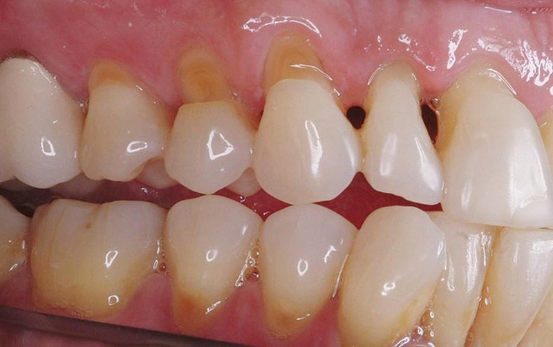
Dựa vào mức độ ăn mòn nặng nhẹ của răng để chọn phương pháp phù hợpTrong thời buổi công nghệ hiện đại, tiên tiến như hiện này thì việc khắc phục cổ chân răng bị mòn không hề khó. Tuy nhiên, người bệnh cần phải dựa vào mức độ ăn mòn nặng nhẹ của răng để chọn phương pháp phù hợp.
Đánh răng đúng cách với tác động lực vừa phảiPhòng bệnh hơn chữa bệnh luôn luôn là phương pháp hữu hiệu nhất từ trước đến nay dù là đối với bất kỳ căn bệnh nào. Vậy nên để bảo vệ sức khỏe răng miệng cũng như ngăn ngừa bệnh cổ chân răng bị mòn thì bạn nên thực hiện một số điều sau:
Nội dung bài viết trên đây là tất cả những vấn đề cần biết về tình trạng cổ chân răng bị mòn. Hi vọng những thông tin trên sẽ giúp bạn tiếp thu được thêm nhiều kiến thức để bảo vệ răng miệng chắc khỏe và sáng bóng hơn.
Ngọc Hiếu
Nguồn tham khảo: Tổng hợp
/https://cms-prod.s3-sgn09.fptcloud.com/KF_1b_LIQ_Tx_J_Pb27_Vsh90_QN_6b_Xz_OB_Jo_U_f0e2294e2e.png)
Dược sĩ Đại họcNguyễn Chí Chương
Tốt nghiệp Đại Học Dược Hà Nội - chuyên môn Dược lâm sàng. Hiện đang là giảng viên cho Dược sĩ tại Nhà thuốc Long Châu.