:format(webp)/mon_men_rang_la_gi_nguyen_nhan_gay_mon_men_rang_1_bf6f00220d.png)
Mòn men răng là một tình trạng xảy ra khi lớp men răng lớp bảo vệ bên ngoài của răng bị hao mòn hoặc mất đi. Men răng là lớp vật liệu cứng nhất trong cơ thể con người, có vai trò quan trọng trong việc bảo vệ các phần mềm bên trong của răng và giúp răng duy trì hình dạng, chức năng. Khi men răng bị tổn thương, răng có thể trở nên nhạy cảm hơn với nhiệt độ và các loại thực phẩm, đồng thời cũng dễ bị sâu và các vấn đề khác liên quan đến răng miệng.
:format(webp)/cach_xu_ly_khi_rang_sua_cua_tre_bi_mon_nhu_the_nao_la_dung_Cropped_46f0c37b9d.jpg)
Khi răng sữa của trẻ bị mòn, cần có cách xử lý khi răng sữa của trẻ bị mòn thích hợp để giữ cho răng sữa khỏe mạnh và ngăn chặn sự tiến triển của bệnh. Hãy cùng Nhà thuốc Long Châu khám phá cách xử lý khi răng sữa của trẻ bị mòn qua bài viết dưới đây nhé!
:format(webp)/336_mon_rang_1578_63f1_large_67cbb115ae.jpg)
Thuật ngữ mòn răng là một thuật ngữ chung có thể được sử dụng để mô tả sự mất bề mặt của các mô cứng răng do các nguyên nhân khác ngoài sâu răng, chấn thương hoặc do rối loạn phát triển. Đây là một quá trình sinh lý bình thường và thay đổi theo độ tuổi. Nghiên cứu ước tính mức độ mất men theo chiều dọc bình thường do mài mòn sinh lý là khoảng 20-38 μm mỗi năm.
:format(webp)/dieu_tri_nghien_rang_bang_mang_chong_nghien_rang_khi_ngu_o_Ek_BN_1674827148_91f7f8e96a.jpg)
Máng chống nghiến răng là một biện pháp ứng dụng điều trị tình trạng nghiến răng khi ngủ chủ yếu hiện nay. Hãy cùng chúng tôi tìm hiểu về công dụng của máng chống nghiến răng khi ngủ nhé.
:format(webp)/tram_mon_co_chan_rang_co_hieu_qua_khong_F_Rd_Lb_1653255710_a3c0fb62cb.jpg)
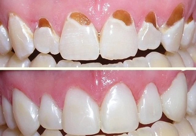
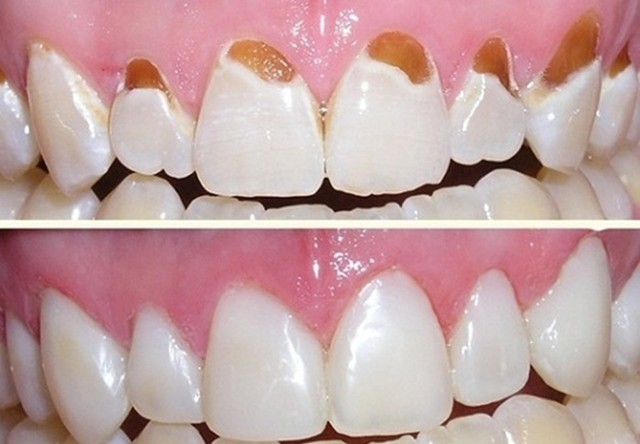
Mòn cổ chân răng nếu không được điều trị sớm sẽ dẫn đến những biến chứng nghiêm trọng cho sức khỏe răng miệng, thậm chí có thể gây mất răng. Trám mòn cổ chân răng là một trong những phương pháp phổ biến được áp dụng điều trị tình trạng này. Vậy phương pháp này có hiệu quả không?
:format(webp)/benh_an_mon_chan_rang_o_tre_em_bo_me_phai_xu_tri_the_nao_d_Sy_PG_1653256032_f3613375bb.jpg)
Bệnh ăn mòn chân răng ở trẻ em vẫn có thể xảy ra nếu vệ sinh răng miệng kém. Tình trạng này làm cho men răng của bé mỏng dần và có nguy cơ dẫn đến sâu răng. May mắn là tình trạng này vẫn có thể khắc phục được, bố mẹ hãy theo dõi bài viết sau đây để biết cách hồi phục tổn thương men răng cho con nhé.
:format(webp)/chan_rang_bi_mon_la_benh_gi_dieu_tri_nhu_the_nao_p_Mhl_S_1653256426_9aae2c1bae.png)
Chân răng bị mòn là tình trạng gây ảnh hưởng đến tính thẩm mỹ của hàm răng và làm cho người bệnh bị ê buốt, khó chịu khi ăn nhai. Tình trạng này còn có thể gây ra những biến chứng nguy hiểm nếu như để lâu không điều trị kịp thời. Bài viết này sẽ cung cấp cho bạn những thông tin bổ ích về tình trạng chân răng bị mòn này.
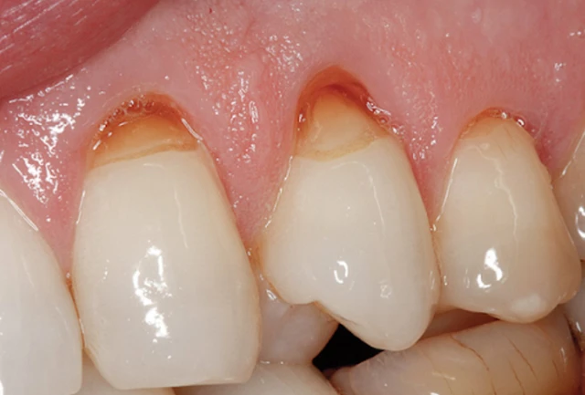
:format(webp)/mon_co_chan_rang_nguyen_nhan_khac_phuc_va_phong_ngua_ujx_AK_1653256790_22c26812db.jpg)
Mòn cổ chân răng là tình trạng gây ê buốt, cảm giác khó chịu cho người bệnh cũng như gây mất thẩm mỹ. Không những vậy tình trạng này còn có thể gây ra những biến chứng lâu dài nếu không điều trị kịp thời.
:format(webp)/rang_bi_mon_mat_nhai_lam_sao_de_khac_phuc_rym_XF_1653255379_ccad336595.jpg)
Răng bị mòn mặt nhai là một tình trạng tổn thương men răng thường gặp. Vậy làm sao để khắc phục tình trạng này? Hãy tham khảo bài viết sau đây để biết thêm những thông tin bổ ích về tình trạng này nhé.
:format(webp)/cach_chua_an_mon_chan_rang_cho_be_cha_me_can_nam_duoc_B_Zag_R_1653254245_06d00f9b3f.jpg)
Tình trạng ăn mòn chân răng không chỉ xảy ra ở người lớn mà còn có nguy cơ đối với trẻ em. Tình trạng này gây ảnh hưởng đến chức năng răng miệng của bé, nhưng vẫn có thể phục hồi nếu được điều trị kịp thời. Bài viết sau đây sẽ hướng dẫn cho bố mẹ cách chữa ăn mòn chân răng cho bé.