• Thực phẩm chức năng

  • Dược mỹ phẩm

  • Thuốc

  • Chăm sóc cá nhân

  • Thiết bị y tế

  • Tiêm chủng

  • Bệnh & Góc sức khỏe

  • Hệ thống nhà thuốc

    1. /
    2. Góc sức khỏe/
    3. Phòng bệnh & Sống khoẻ

    Mòn cổ chân răng: Nguyên nhân, khắc phục và phòng ngừa

    21/07/2025

    Kích thước chữ

    Mòn cổ chân răng là tình trạng gây ê buốt, cảm giác khó chịu cho người bệnh cũng như gây mất thẩm mỹ. Không những vậy tình trạng này còn có thể gây ra những biến chứng lâu dài nếu không điều trị kịp thời.

    Mòn cổ chân răng là gì? Đâu là nguyên nhân dẫn đến tình trạng mòn cổ chân răng? Tình trạng này có thể khắc phục được không? Đây chính là những thắc mắc thường gặp khi nhắc đến bệnh lý răng miệng này. Hãy theo dõi nội dung bài viết này để được giải đáp những thắc mắc trên nhé.

    Mòn cổ chân răng là tình trạng gì?

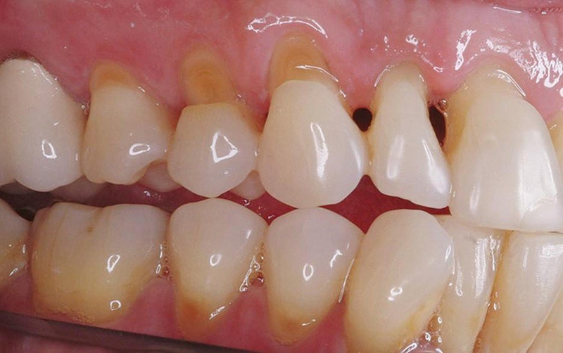
    Mòn cổ chân răng là những tổn thương ở phần cứng của răng, không phải do sâu răng. Đặc trưng của tình trạng mòn cổ chân răng là mất chất khu trú ở khu vực cổ răng, phần sát với lợi. Hình thái mất chất có thể là dạng vát hoặc lõm chữ V. Tình trạng này hay gặp ở các răng hàm nhỏ, răng số 6 và vùng răng cửa. Tình trạng mòn cổ răng có thể gặp ở bất cứ ai, cả nam và nữ, tuổi tác càng cao thì tỷ lệ mòn cổ chân răng càng tăng.

    Đặc trưng của tình trạng mòn cổ chân răng là mất chất khu trú ở khu vực cổ răng, phần sát với lợi Đặc trưng của tình trạng mòn cổ chân răng là mất chất khu trú ở khu vực cổ răng, phần sát với lợi

    Mòn cổ chân răng có thể là tình trạng mòn, mất chất vùng men răng. Nếu trường hợp nặng hơn có thể mòn tới lớp ngà, thậm chí là phá hủy tủy răng. Việc này gây ê buốt khi ăn đồ quá nóng hay quá lạnh. Tồi tệ hơn, cổ chân răng bị mòn còn có thể dẫn đến tình trạng viêm tủy răng và mất răng.

    Triệu chứng điển hình, thường gặp của mòn cổ chân răng gồm:

    • Người bệnh có cảm giác bị ê buốt răng khi ăn đồ nóng, lạnh.
    • Khi tổn thương mòn cổ chân răng lan đến tủy răng có thể khiến cho người bệnh bị đau dai dẳng, cơn đau có thể lan tới đỉnh đầu.
    • Nếu người bệnh không điều trị kịp thời, răng có thể bị mất chất trầm trọng. Điều này dễ dẫn đến hiện tượng gãy ngang cổ răng, lúc này buộc phải nhổ bỏ răng.

    Nguyên nhân dẫn đến mòn cổ chân răng

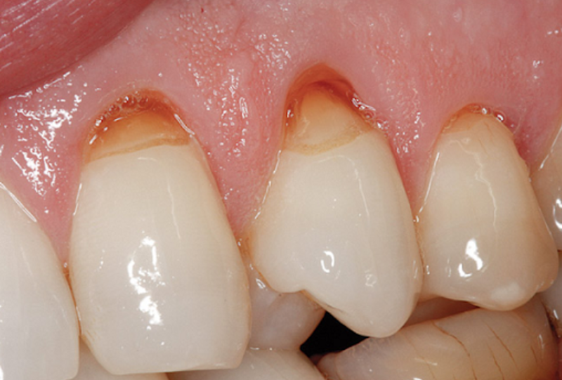
    Có nhiều nguyên nhân khác nhau gây nên tình trạng mòn cổ chân răng Có nhiều nguyên nhân khác nhau gây nên tình trạng mòn cổ chân răng

    Có nhiều nguyên nhân khác nhau gây nên tình trạng mòn cổ chân răng gồm:

    • Thiểu sản men răng: Nhiều trường hợp bệnh nhân bẩm sinh đã có tình trạng men răng thiểu sản. Đây là tình trạng răng chưa khoáng hóa hoàn toàn hoặc bị mất nâng đỡ của khung cấu trúc bên dưới. Càng lâu ngày, vị trí thiểu sản men răng càng bị mất chất dẫn đến hiện tượng mòn cổ chân răng. Tổn thương thiểu sản men răng có đặc trưng là các vết mất men răng mủn như phấn.
    • Vôi răng tồn tại lâu ngày: Vôi răng hình thành và bám dính trên răng lâu ngày sẽ khiến cho lợi bị tụt khỏi răng. Khi lợi bị tụt sẽ để lại chân răng trống trơn và không được bảo vệ. Lúc này, chân răng dễ bị tấn công bởi các tác nhân như vi khuẩn, axit trong thức ăn,... lâu ngày sẽ dẫn tới bào mòn cổ chân răng.
    • Đánh răng không đúng cách: Thói quen đánh răng chải hướng ngang, lực chải mạnh, kết hợp với các chất mài mòn có trong kem đánh răng có thể là nguyên nhân gây mòn cổ chân răng. Nguy cơ cổ chân răng bị mòn sẽ càng tăng nếu bạn sử dụng bàn chải có lông chải dày cứng.
    • Tật nghiến răng: Nghiến răng nhiều làm cho các răng sẽ dễ bị mòn và xuất hiện tình trạng ê buốt ở vùng mặt nhai và vùng cổ chân răng.
    • Bên cạnh những nguyên nhân trên thì còn có một số nguyên nhân khác như do dùng nhiều thực phẩm có tính axit hoặc hóa chất, do di truyền hoặc mắc các bệnh liên quan tới tiết nước bọt,...

    Làm sao để khắc phục cổ chân răng bị mòn?

    Tùy vào nguyên nhân và mức độ tổn thương cổ chân răng bị mòn, người bệnh sẽ được bác sĩ nha khoa chỉ định các phương pháp điều trị khác nhau. Cụ thể:

    • Trường hợp tổn thương còn nông, chưa vào tới tủy răng: Nha sĩ chỉ cần trám vùng cổ chân răng bị mòn. Nếu tổn thương đã lan đến vùng tủy răng, nha sĩ cần điều trị tủy và bọc răng sứ để đảm bảo răng được duy trì lâu dài và khỏe mạnh trên khung hàm.
    • Trường hợp bệnh nhân bị mòn cổ chân răng, kèm theo tụt lợi và lộ lớp cement chân răng: Bác sĩ có thể phải ghép mô liên kết để che phủ vùng chân răng bị lộ, đồng thời xóa tổn thương mòn cổ răng.
    • Trường hợp bệnh nhân có tật nghiến răng: Bác sĩ có thể phải cho bệnh nhân đeo máng nhai vào ban đêm để chống lại nguy cơ biến chứng của việc nghiến răng liên tục.

    Biện pháp phòng tránh tình trạng mòn cổ chân răng

    Đánh răng đúng cách, chải hướng dọc hoặc theo đường tròn, không chải hướng ngang Đánh răng đúng cách, chải hướng dọc hoặc theo đường tròn, không chải hướng ngang

    Để tránh những ảnh hưởng, biến chứng nguy hiểm từ tình trạng mòn cổ chân rằng, người bệnh cần chủ động phòng ngừa tình trạng này. Một số lưu ý bạn có thể tham khảo và áp dụng để ngăn ngừa cổ chân răng bị ăn mòn là:

    • Đánh răng đúng cách, chải hướng dọc hoặc theo đường tròn, không chải hướng ngang. Kết hợp dùng chỉ nha khoa để làm sạch kẽ răng. Dùng bàn chải lông mềm và kem đánh răng có độ mài mòn thấp để vệ sinh răng miệng hàng ngày.
    • Không nên ăn những thực phẩm có tính axit, đồ ngọt cũng như các chất kích thích,... vì chúng có thể gây nên tình trạng mòn răng;
    • Súc miệng ngay sau khi ăn để loại bỏ vi khuẩn tấn công răng và hạn chế hình thành mảng bám. Việc này giúp giảm nguy cơ mòn men răng.
    • Khám răng và lấy vôi răng định kỳ 3-6 tháng.

    Mòn cổ chân răng là tình trạng thường gặp, nó gây mất chất và yếu răng. Khi mắc phải tình trạng này, bạn cần đến nha khoa điều trị càng sớm càng tốt. Bởi vì nếu tình trạng này kéo dài sẽ gây nhiều phiền toái và khó chịu. Việc lựa chọn phương pháp điều trị mòn cổ chân răng sẽ phụ thuộc vào mức độ tổn thương của chân răng. Người bệnh hãy tuân theo mọi chỉ định của nha sĩ để giữ cho mình hàm răng chắc khỏe và trắng sáng.

    Ngọc Hiếu

    Nguồn tham khảo: Tổng hợp

    Thông tin và sản phẩm gợi ý trong bài viết chỉ mang tính chất tham khảo, vui lòng liên hệ với Bác sĩ, Dược sĩ hoặc chuyên viên y tế để được tư vấn cụ thể. Xem thêm

    Dược sĩ Đại họcNgô Kim Thúy

    Đã kiểm duyệt nội dung

    Tốt nghiệp loại giỏi trường Đại học Y Dược Huế. Từng tham gia nghiên cứu khoa học đề tài về Dược liệu. Nhiều năm kinh nghiệm làm việc trong lĩnh vực Dược phẩm. Hiện đang là giảng viên cho Dược sĩ tại Nhà thuốc Long Châu.

    Xem thêm thông tin