• Thực phẩm chức năng

  • Dược mỹ phẩm

  • Thuốc

  • Chăm sóc cá nhân

  • Thiết bị y tế

  • Tiêm chủng

  • Bệnh & Góc sức khỏe

  • Hệ thống nhà thuốc

    1. /
    2. Góc sức khỏe/
    3. Phòng bệnh & Sống khoẻ

    Trám mòn cổ chân răng có hiệu quả không?

    21/06/2023

    Kích thước chữ

    Mòn cổ chân răng nếu không được điều trị sớm sẽ dẫn đến những biến chứng nghiêm trọng cho sức khỏe răng miệng, thậm chí có thể gây mất răng. Trám mòn cổ chân răng là một trong những phương pháp phổ biến được áp dụng điều trị tình trạng này. Vậy phương pháp này có hiệu quả không?

    Mòn cổ chân răng là một tình trạng răng miệng khá phổ biến. Mặc dù không gây nguy hiểm nhưng nếu để lâu tình trạng này có thể dẫn đến những biến chứng nghiêm trọng. Hiện nay, phương pháp trám mòn cổ chân răng đang được các bác sĩ chuyên khoa khuyến cáo sử dụng để khắc phục tình trạng cổ chân răng bị mòn. Hãy cùng tìm hiểu qua nội dung dưới đây xem phương pháp này là gì? Có ưu điểm, nhược điểm gì?.

    Mòn cổ chân răng là gì?

    Mòn cổ chân răng là hiện tượng lớp men ở vùng cổ răng bị bào mòn và dần dần tiêu biến. Theo thời gian, vùng cổ răng bị ăn mòn vào sâu dần tạo thành vùng lõm có hình chữ V ở mặt ngoài của răng.

    Tình trạng mòn cổ chân răng có thể bắt gặp ở tất cả các vị trí răng. Tình trạng này gây xỉn màu ở cổ răng ảnh hưởng lớn tới tính thẩm mỹ.

    Hiện tượng này còn có thể xảy ra ở bất kì độ tuổi nào từ trẻ nhỏ đến người trưởng thành hay người già với một số dấu hiệu phổ biến như ê buốt răng khi ăn uống thường ngày đặc biệt các món ăn quá nóng hoặc lạnh.

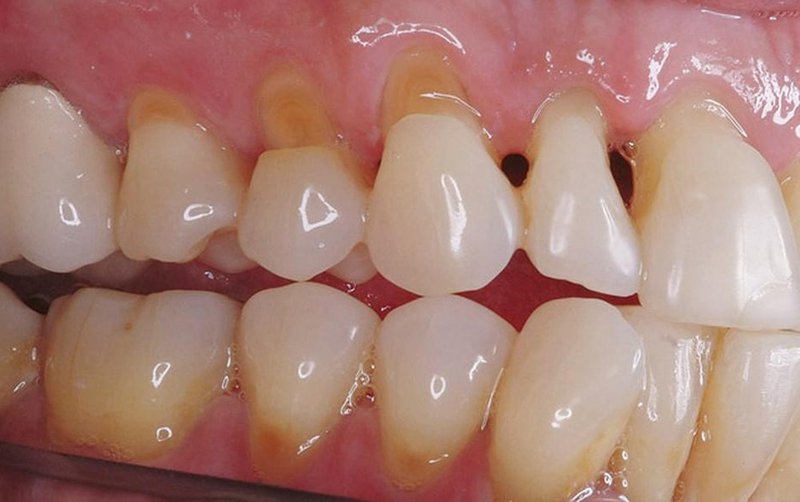
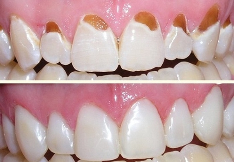
    Trám mòn cổ chân răng có hiệu quả không? Có thể dùng phương pháp trám mòn cổ chân răng để khắc phục vùng cổ răng bị bào mòn

    Cổ chân răng bị ăn mòn diễn biến từ từ qua nhiều giai đoạn khác nhau với từng mức độ nặng nhẹ của bệnh lý:

    Cấp độ 1:Nhẹ, chân răng chỉ bị mòn nhẹ

    Người bệnh có thể phát hiện được bệnh lý mòn chân răng ngay từ ban đầu nếu chú ý quan sát kĩ sự thay đổi ở răng. Đó là tình trạng men răng vùng cổ màu tối và ố vàng hơn các vùng khác và khi sờ vào cảm thấy có vết đứt ngang cổ răng.

    Bên cạnh đó, thi thoảng người bệnh cũng sẽ cảm nhận thấy sự ê buốt nhẹ nhưng không nhiều và không diễn ra thường xuyên.

    Cấp độ 2: Trung bình, chân răng ê buốt nhiều

    Mòn cổ chân răng ở mức độ trung bình, người bệnh bị ê buốt răng khi gặp tác nhân từ bên ngoài như ăn uống, đánh răng,...

    Khi bình thường, nếu không có tác động thì người bệnh sẽ không thấy ê buốt răng nên nhiều người còn chủ quan chưa đi kiểm tra răng miệng sớm.

    Cấp độ 3: Nặng, ăn mòn vào tủy

    Đây là mức độ nghiêm trọng của bệnh lý mòn cổ chân răng khi mà răng bị ăn mòn sâu vào đến tủy răng, có thể gây viêm tủy răng. Bác sĩ nha khoa tiếp nhận phần lớn các trường hợp bệnh nhân tới khám chữa khi quá nặng, răng đau nhức dữ dội kèm theo sưng tấy, chảy máu.

    Lúc này, buộc bác sĩ phải can thiệp nhiều kĩ thuật phức tạp để điều trị cũng như phục hình lại răng.

    Người trưởng thành và thanh niên là đối tượng mắc bệnh mòn cổ chân răng nhiều nhất bởi vì những thói quen ăn uống cay nóng, ăn đồ chứa nhiều axit, chất kích thích, … chúng đều là tác nhân khiến cổ răng bị hư hại, ăn mòn răng nhanh chóng.

    Trám mòn cổ chân răng có hiệu quả không?

    Trám mòn cổ chân răng là kỹ thuật bác sĩ phủ vật liệu chuyên dụng trong trám răng lên vùng cổ chân răng đã bị ăn mòn men răng đem lại hiệu quả khôi phục lại chiếc răng như ban đầu.

    Phương pháp trám răng đơn giản, thực hiện nhanh chóng, bác sĩ chỉ thao tác từ 15 – 30 phút phụ thuộc vào từng tình trạng răng để điều trị răng bị mòn cho hiệu quả lâu dài.

    Phương pháp trám mòn cổ chân răng có công dụng giúp người bệnh kịp thời bảo vệ được mô răng đang bị mòn Phương pháp trám mòn cổ chân răng có công dụng giúp người bệnh kịp thời bảo vệ được mô răng đang bị mòn

    Ưu điểm

    • Trám mòn cổ chân răng là phương pháp phục hình răng đơn giản. Phương pháp này giúp khắc phục hiệu quả tình trạng mòn cổ chân răng nhẹ và chưa ảnh hưởng đến phần tủy.
    • Trám mòn cổ chân răng cũng là kĩ thuật được thực hiện nhanh chóng và tiết kiệm thời gian, chi phí cho khách hàng.
    • Phương pháp trám mòn cổ chân răng có công dụng giúp người bệnh kịp thời bảo vệ được mô răng đang bị mòn. Đồng thời với đó là bảo vệ tủy răng cũng như ngăn chặn tình trạng vi khuẩn xâm nhập vào buồng tủy gây sâu răng.
    • Sau khi thực hiện kĩ thuật trám răng này, bệnh nhân có thể lấy lại được diện mạo hàm răng trắng sáng như ban đầu, các hoạt động ăn nhai, sinh hoạt bình thường mà không bị cảm giác ê buốt.

    Nhược điểm

    Mặc dù sở hữu nhiều ưu điểm nổi bật, nhưng nếu so sánh với những kĩ thuật phục hình phức tạp hơn như phục hình mão răng sứ thì trám mòn cổ chân răng vẫn còn tồn tại một số nhược điểm như:

    • Độ bền của kỹ thuật trám mòn cổ chân răng chưa cao. Đặc biệt nếu khách hàng không biết cách chăm sóc đúng cách, vệ sinh răng miệng đúng cách, thì miếng trám rất dễ bị bể hoặc rơi ra ngoài.
    • Hơn nữa, phương pháp này chỉ thích hợp sử dụng cho người bệnh gặp vấn đề với tình trạng mòn cổ chân răng nhẹ, chưa ảnh hưởng đến tủy.
    Việc lựa chọn phương pháp điều trị nào sẽ phụ thuộc vào mức độ tổn thương của chân răng Việc lựa chọn phương pháp điều trị nào sẽ phụ thuộc vào mức độ tổn thương của chân răng

    Cách phòng ngừa mòn cổ chân răng

    Để tránh những ảnh hưởng tiêu cực từ tình trạng mòn cổ chân răng, người bệnh cần phải có sự chủ động phòng ngừa bệnh lý này. Một số lưu ý bạn có thể tham khảo và áp dụng để phòng ngừa mòn cổ chân răng là:

    • Người bệnh cần đánh răng đúng chiều, đúng cách. Hãy chải dọc hoặc theo đường tròn, chứ không chải ngang. Đồng thời dùng chỉ nha khoa, bàn chải lông mềm và kem đánh răng có độ mài mòn thấp để vệ sinh răng miệng sạch sẽ mỗi ngày.
    • Không nên ăn những loại thực phẩm chứa nhiều chất axit, đồ ngọt, đường và các chất kích thích,... vì chúng có thể gây mòn cổ chân răng.
    • Súc miệng ngay sau khi ăn để loại bỏ thức ăn thừa, vi khuẩn tấn công răng, từ đó giúp giảm nguy cơ mòn men răng.
    • Cạo vôi răng định kỳ 3 - 6 tháng một lần.

    Cổ chân răng bị mòn là tình trạng răng miệng thường gặp, tình trạng này gây mất chất và yếu răng. Khi gặp phải tình trạng này, người bệnh nên đến nha khoa để điều trị càng sớm càng tốt bởi vì nếu kéo dài sẽ gây nhiều phiền toái và khó chịu. Việc lựa chọn phương pháp điều trị nào sẽ phụ thuộc vào mức độ tổn thương của chân răng, nếu tình trạng nhẹ thì chỉ cần thực hiện phương pháp trám mòn cổ chân răng là ổn. Người bệnh hãy làm theo mọi chỉ định của nha sĩ để giữ cho mình hàm răng chắc, khỏe mạnh và trắng sáng.

    Ngọc Hiếu

    Nguồn tham khảo: Tổng hợp

    Có thể bạn quan tâm

    Thông tin và sản phẩm gợi ý trong bài viết chỉ mang tính chất tham khảo, vui lòng liên hệ với Bác sĩ, Dược sĩ hoặc chuyên viên y tế để được tư vấn cụ thể. Xem thêm

    Dược sĩ Đại họcNguyễn Mỹ Huyền

    Đã kiểm duyệt nội dung

    Dược sĩ Đại học có nhiều năm kinh nghiệm trong việc tư vấn Dược phẩm và hỗ trợ giải đáp thắc mắc về Bệnh học. Hiện đang là giảng viên cho Dược sĩ tại Nhà thuốc Long Châu.

    Xem thêm thông tin