Từng làm ở Viện ISDS, nhiều năm cộng tác với CDC Thái Nguyên triển khai dự án phòng chống HIV/AIDS, 2 năm cộng tác với WHO.
09/01/2024
Mặc định
Lớn hơn
Việc giữ cho răng và lợi của chúng ta luôn khỏe mạnh là rất quan trọng. Và để làm được điều đó, chúng ta thường xuyên đến nha khoa để chăm sóc răng miệng. Tuy nhiên, có một số cách làm rụng cao răng theo dân gian được cho là hiệu quả và tiết kiệm chi phí. Nhưng liệu các phương pháp này có thực sự an toàn và hiệu quả?
Răng sạch, trắng và chắc khỏe luôn là một yếu tố quan trọng cho sức khỏe tổng thể của chúng ta. Ngoài việc chăm sóc răng đều đặn tại nhà và đến nha khoa thường xuyên, một số người đã áp dụng cách làm rụng cao răng tại nhà bằng các nguyên liệu tự làm hoặc dùng than hoạt tính. Tuy nhiên, liệu các phương pháp này có thực sự hiệu quả và không gây hại cho răng của chúng ta? Cùng tìm hiểu trong bài viết dưới đây.
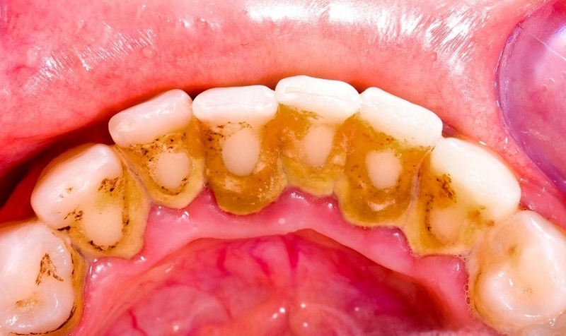
Cao răng hay còn được gọi là vôi răng, là một dạng mảng bám cứng và tích tụ trên bề mặt răng hoặc dưới chân răng. Tình trạng này cũng có thể xảy ra ở phía trên và ở ngay chính mép nướu, gây kích ứng cho các mô nướu và tạo điều kiện cho mảng bám phát triển. Điều này có thể dẫn đến độ bám dính cao hơn của mảng bám và các vấn đề nghiêm trọng như sâu răng và bệnh viêm nướu.

Cao răng có hai dạng chính là cao răng trên nướu và cao răng dưới nướu. Cao răng trên nướu hình thành phía trên đường viền nướu, có màu vàng hoặc nâu và có thể nhìn thấy bằng mắt thường trên bề mặt răng. Trong khi đó, cao răng dưới nướu xuất hiện trong khe hở giữa răng và đường viền nướu, thường không thể nhìn thấy bằng mắt thường trừ khi đã xảy ra tình trạng tụt nướu. Cao răng dưới nướu thường có màu nâu hoặc đen.
Một phương pháp làm trắng răng dân gian đơn giản và tiết kiệm chi phí là sử dụng muối và chanh. Đây là những nguyên liệu phổ biến, có tính kháng khuẩn cao, giúp loại bỏ cao răng một cách hiệu quả, mang lại cho bạn một nụ cười sáng và hàm răng trắng tinh khiết.
Cách thực hiện khá đơn giản, bạn chỉ cần cắt một quả chanh và vắt lấy nước cốt, sau đó thêm một ít muối và nước vào, khuấy đều và ngâm hỗn hợp mới pha trong khoảng 5 phút rồi súc miệng lại với nước sạch.
Nếu bạn không có chanh, có thể dùng muối tinh, mát xa nhẹ nhàng lên răng bằng ngón tay hoặc bàn chải trong 3 phút rồi súc miệng sạch.
Tuy nhiên, bạn nên lưu ý không sử dụng quá nhiều, vì axit trong chanh có thể gây tổn hại men răng. Thường xuyên sử dụng từ 2 đến 3 lần một tuần để đạt được hiệu quả tốt nhất. Với cách làm này, bạn có thể loại bỏ cao răng một cách tự nhiên và đơn giản tại nhà.
Ngoài các tác dụng làm đẹp như tóc mượt, dài mi, dưỡng ẩm môi,... dầu dừa còn có thể giúp bạn làm sạch vôi răng tại nhà một cách hiệu quả.
Cách thực hiện rất đơn giản. Bạn chỉ cần chuẩn bị một miếng bông gòn sạch và một lượng dầu dừa vừa đủ. Sau đó, thoa đều lên bề mặt răng và chải nhẹ trong khoảng 3 đến 5 phút. Thực hiện thường xuyên, phương pháp này giúp bạn làm sạch vôi răng hiệu quả.
Với phương pháp lấy vôi răng bằng dầu dừa, bạn hoàn toàn yên tâm vì đây là phương pháp tự nhiên, không gây hại cho răng và an toàn cho sức khỏe của bạn.
Baking soda là một nguyên liệu hữu hiệu trong việc loại bỏ vôi răng và còn có khả năng làm trắng răng.
Cách thực hiện rất đơn giản: Trộn đều 2 muỗng baking soda với 1 muỗng nước, sau đó dùng bàn chải đánh răng trong 3 phút. Sau khi tẩy vôi xong, rửa sạch miệng bằng nước.
Tuy hiệu quả của baking soda rất cao, nhưng lưu ý rằng baking soda có tính axit cao. Do đó, bạn nên chỉ sử dụng phương pháp này 1 hoặc 2 lần mỗi tuần để tránh làm mòn men răng.

Bạn có biết rằng đường nâu không chỉ là một nguyên liệu trong bếp mà còn là một phương pháp đơn giản để tẩy trắng răng tại nhà? Đây là một phương pháp ít người biết đến, nhưng lại rất hiệu quả trong việc làm sạch cao răng.
Cách thực hiện rất đơn giản: Bạn chỉ cần ngậm một thìa đường nâu từ 15 đến 20 phút, sau đó dùng lưỡi đảo quanh để đường bám vào khắp các bề mặt răng. Sau khi đường tan hết, bạn có thể nhổ đi và súc miệng lại với nước sạch.
Nếu bạn kiên trì thực hiện phương pháp này một hoặc hai lần một tuần, bạn sẽ nhận thấy kết quả bất ngờ trong việc loại bỏ cao răng.
Bạn có biết rằng vỏ chuối chín thực chất chứa nhiều thành phần có lợi cho việc tẩy trắng răng? Các thành phần như Magie, Kali, Mangan có tác dụng loại bỏ mảng bám trên bề mặt răng một cách hiệu quả nhưng lại ít được biết đến.
Cách thực hiện rất đơn giản: Bạn chỉ cần cắt nhỏ vỏ chuối chín thành miếng từ 2 đến 4 cm, sau đó chà xát lên bề mặt răng trong khoảng 3 đến 5 phút, rồi súc miệng lại với nước sạch.
Phương pháp này phù hợp cho mọi độ tuổi bởi tính an toàn cao và hiệu quả làm sạch răng đến không ngờ. Bạn hãy thử ngay và cảm nhận sự khác biệt trên nụ cười của mình.
Các cách làm rụng cao răng tại nhà bằng các vật liệu tự nhiên như đường nâu hay vỏ chuối chín có thể hiệu quả đối với các trường hợp răng bám vôi nhẹ. Tuy nhiên, việc lạm dụng hoặc thực hiện không đúng cách có thể gây ra các vấn đề về sức khỏe răng miệng như viêm nhiễm nướu, viêm nha chu, mòn men răng, răng nhạy cảm và đau buốt.
Ngoài ra, các phương pháp này không thể loại bỏ triệt để phần cao răng, đặc biệt là ở những vị trí sâu bên trong. Do đó, việc đến một cơ sở nha khoa có dịch vụ cao vôi răng chuyên nghiệp là vô cùng cần thiết để có thể lấy lại một hàm răng trắng sáng.

Tóm lại, việc áp dụng cách làm rụng cao răng dân gian tại nhà có thể giúp tiết kiệm chi phí và giữ cho răng miệng của chúng ta khỏe mạnh. Tuy nhiên, cần cân nhắc kỹ trước khi sử dụng bất kỳ phương pháp nào và nên tham khảo ý kiến của chuyên gia hoặc bác sĩ nha khoa để đảm bảo an toàn và hiệu quả. Chúng ta cũng nên nhớ rằng, việc chăm sóc răng miệng đều đặn và đúng cách là một yếu tố quan trọng để giữ cho răng miệng của chúng ta luôn khỏe mạnh và tránh những vấn đề về sức khỏe răng miệng trong tương lai.
Phương Nhi
Nguồn tham khảo: Tổng hợp
Dược sĩ Đại học Nguyễn Tuấn Trịnh
Từng làm ở Viện ISDS, nhiều năm cộng tác với CDC Thái Nguyên triển khai dự án phòng chống HIV/AIDS, 2 năm cộng tác với WHO.