Tốt nghiệp đại học Khoa Dược. Có kinh nghiệm hơn 10 năm trong lĩnh vực Dược phẩm, tư vấn thuốc và thực phẩm chức năng. Hiện đang là giảng viên cho Dược sĩ tại Nhà thuốc Long Châu.
Ngọc Vân
27/03/2026
Mặc định
Lớn hơn
Gãy chân răng là tình trạng khá phổ biến, có thể gặp ở nhiều độ tuổi khác nhau. Tình trạng này không chỉ gây đau nhức, khó chịu mà còn ảnh hưởng đến khả năng ăn nhai, giao tiếp và thẩm mỹ khuôn mặt.
Trên thực tế, răng có thể bị nứt, gãy một phần thân răng hoặc tổn thương sâu đến chân răng do chấn thương, thói quen xấu hoặc bệnh lý răng miệng kéo dài. Nếu không thăm khám và điều trị đúng lúc, tình trạng này có thể dẫn đến viêm tủy, nhiễm trùng, mất răng và tiêu xương hàm. Vì vậy, việc nhận biết sớm dấu hiệu và lựa chọn đúng phương pháp xử lý là rất quan trọng.
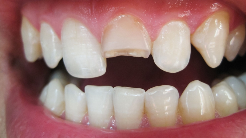
Tổn thương răng do nứt hoặc gãy có thể biểu hiện với nhiều mức độ và hình thái khác nhau, từ những vết rạn nhỏ ở men răng đến các tổn thương lan sâu đến ngà, tủy hoặc chân răng. Biểu hiện lâm sàng và hướng điều trị phụ thuộc vào vị trí, mức độ tổn thương cũng như cấu trúc răng còn lại.
Ở giai đoạn này, tổn thương chủ yếu chỉ xảy ra ở lớp men răng bên ngoài, chưa ảnh hưởng đến ngà răng hay tủy răng. Tình trạng này hay gặp ở răng hàm và có thể xuất phát từ chấn thương nhẹ hoặc sự suy yếu tự nhiên của cấu trúc răng theo thời gian.
Khi vết nứt lan vào lớp ngà răng và tủy, tình trạng trở nên nghiêm trọng hơn. Đây là giai đoạn răng dễ bị vi khuẩn tấn công, từ đó có thể dẫn đến viêm tủy hoặc hoại tử tủy nếu không được điều trị kịp thời. Người bệnh đôi khi chỉ cảm thấy ê buốt nhẹ hoặc đau thoáng qua nên dễ chủ quan, tuy nhiên nguy cơ biến chứng vẫn khá cao.

Ở mức độ nặng, vết nứt có thể lan rộng khiến thân răng bị tách làm hai phần hoặc mất đi một phần cấu trúc răng. Lúc này, tổn thương thường có thể nhìn thấy rõ bằng mắt thường. Người bệnh sẽ cảm thấy đau nhức khi ăn nhai, răng trở nên nhạy cảm với các loại thực phẩm nóng, lạnh hoặc có vị chua, cay. Cơn đau có thể kéo dài và tái phát nhiều lần nếu không được can thiệp sớm.
Có nhiều nguyên nhân dẫn đến gãy chân răng, trong đó phổ biến nhất là chấn thương và các yếu tố khiến răng yếu đi theo thời gian. Dưới đây là những nguyên nhân thường gặp:
Những tai nạn như té ngã, va chạm khi sinh hoạt, chơi thể thao hoặc tai nạn giao thông có thể khiến răng chịu lực tác động lớn. Tùy mức độ, răng có thể chỉ sứt mẻ nhẹ, nứt thân răng hoặc tổn thương sâu đến chân răng, thậm chí làm răng lung lay hay rụng hẳn.
Nghiến răng, đặc biệt trong lúc ngủ, tạo áp lực liên tục lên bề mặt răng. Khi hai hàm siết chặt trong thời gian dài, men răng dễ bị bào mòn, cấu trúc răng suy yếu dần và nguy cơ nứt gãy cũng tăng cao.
Những chiếc răng đã được phục hồi bằng miếng trám có kích thước lớn thường không còn độ chắc khỏe như ban đầu. Phần mô răng thật bị mất đi nhiều khiến răng yếu hơn, dễ nứt hoặc gãy khi ăn nhai mạnh.

Việc dùng răng để cắn đá, nhai xương cứng, mở nắp chai hoặc cắn các vật cứng khác có thể khiến răng phải chịu lực vượt ngưỡng. Đây là nguyên nhân phổ biến làm răng bị rạn, nứt hoặc gãy chân răng.
Những vấn đề như sâu răng, viêm tủy hay viêm nha chu nếu kéo dài mà không điều trị sẽ làm răng yếu đi rõ rệt. Khi cấu trúc răng bị tổn hại từ bên trong, răng trở nên giòn hơn, dễ nứt vỡ và có nguy cơ mất răng nếu tình trạng tiến triển nặng.
Theo thời gian, mô răng và tổ chức quanh răng dần suy giảm. Ở người lớn tuổi, chân răng thường kém chắc hơn, khả năng chịu lực cũng giảm, vì vậy răng dễ bị nứt, gãy hoặc rụng hơn so với người trẻ. Tình trạng này còn ảnh hưởng trực tiếp đến việc ăn nhai và sức khỏe tổng thể.

Đối với răng vĩnh viễn ở người trưởng thành, khi đã bị gãy thì sẽ không thể tự mọc lại. Khác với một số mô trong cơ thể có khả năng tái tạo, răng không thể tự phục hồi hoàn toàn sau khi bị tổn thương. Vì vậy, khi xảy ra tình trạng gãy chân răng, người bệnh cần được thăm khám nha khoa để có hướng phục hình phù hợp.
Mất răng hoặc gãy răng không chỉ làm giảm tính thẩm mỹ mà còn ảnh hưởng trực tiếp đến việc ăn uống, phát âm và giao tiếp hằng ngày. Tuy nhiên, với sự phát triển của nha khoa hiện đại, hiện nay đã có nhiều giải pháp giúp phục hồi răng đã gãy khá hiệu quả, vừa cải thiện ngoại hình vừa đảm bảo chức năng ăn nhai.
Tùy theo mức độ tổn thương và tình trạng chân răng còn lại, bác sĩ sẽ chỉ định phương pháp điều trị thích hợp.
Nếu răng chỉ gãy một phần và chân răng vẫn còn chắc chắn, bọc răng sứ thường là lựa chọn phù hợp. Bác sĩ sẽ xử lý phần răng bị mẻ, làm nhẵn các cạnh sắc và chụp mão sứ lên trên để khôi phục hình dáng răng. Sau khi thực hiện, răng có thể cải thiện cả về thẩm mỹ lẫn khả năng ăn nhai, đồng thời phần răng thật còn lại cũng được bảo vệ tốt hơn.
Trong trường hợp răng bị tổn thương nặng, chân răng lung lay hoặc buộc phải nhổ bỏ, cầu răng sứ có thể được cân nhắc. Với phương pháp này, bác sĩ sẽ mài hai răng bên cạnh để làm trụ và gắn một dãy cầu sứ lên trên nhằm thay thế răng đã mất. Giải pháp này giúp phục hồi tương đối tốt về hình thức và chức năng, nhưng hạn chế là không ngăn được tình trạng tiêu xương hàm sau mất răng và có thể ảnh hưởng đến các răng kế cận do phải mài trụ.
Đây là phương pháp thường được nhiều bác sĩ khuyến khích khi bị gãy chân răng và không thể giữ lại răng thật. Trụ Implant sẽ được đặt vào xương hàm để thay thế phần chân răng đã mất, sau đó gắn khớp nối và mão sứ bên trên. Nhờ cấu trúc gần giống răng thật, Implant có độ bền cao, chịu lực tốt và hỗ trợ ăn nhai hiệu quả. Ngoài ra, phương pháp này còn giúp hạn chế các biến chứng như tiêu xương hàm, tụt lợi, hóp má hoặc lệch răng về sau. Nếu được chăm sóc đúng cách, răng Implant có thể sử dụng rất lâu dài.

Gãy chân răng là tình trạng không nên chủ quan vì có thể ảnh hưởng trực tiếp đến chức năng ăn nhai, sức khỏe răng miệng và thẩm mỹ khuôn mặt. Nếu bạn đang gặp tình trạng gãy chân răng, hãy chủ động đến cơ sở nha khoa uy tín để được bác sĩ đánh giá chính xác và tư vấn hướng điều trị phù hợp nhất.
Dược sĩ Đại họcNguyễn Thị Hồng Nhung
Tốt nghiệp đại học Khoa Dược. Có kinh nghiệm hơn 10 năm trong lĩnh vực Dược phẩm, tư vấn thuốc và thực phẩm chức năng. Hiện đang là giảng viên cho Dược sĩ tại Nhà thuốc Long Châu.