• Thực phẩm chức năng

  • Dược mỹ phẩm

  • Thuốc

  • Chăm sóc cá nhân

  • Thiết bị y tế

  • Tiêm chủng

  • Bệnh & Góc sức khỏe

  • Hệ thống nhà thuốc

    1. /
    2. Góc sức khỏe/
    3. Phòng bệnh & Sống khoẻ

    Dấu hiệu răng mọc ngầm bạn cần chú ý

    21/06/2023

    Kích thước chữ

    Răng mọc ngầm là tình trạng có thể xảy ra đối với mọi răng trong hàm. Dấu hiệu răng mọc ngầm khá khó nhận biết nếu chỉ dựa vào những dấu hiệu lâm sàng. Tuy nhiên, nếu phát hiện trễ thì tình trạng này có thể dẫn đến một số biến chứng nguy hiểm. Bài viết này sẽ cung cấp cho bạn một số kiến thức liên quan đến dấu hiệu răng mọc ngầm bạn cần lưu ý để phát hiện và xử lý sớm.

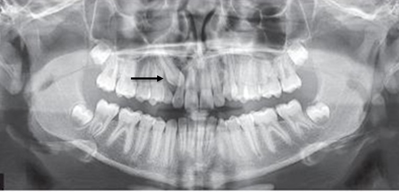
    Răng mọc ngầm là tình trạng răng mọc sâu bên trong xương hàm hoặc nằm dưới nướu nhưng không trồi lên được. Chính vì vậy mà rất khó để có thể dấu hiệu răng mọc ngầm. Bạn có thể nhận biết được một số dấu hiệu lâm sàng nhưng để chắc chắn thì cần phải chụp X-quang răng để biết có răng mọc ngầm hay không, răng ngầm nằm ở vị trí nào.

    Răng mọc ngầm là gì?

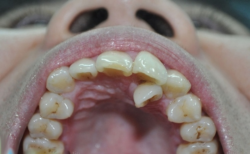
    Dấu hiệu răng mọc ngầm Răng mọc ngầm là răng mọc nằm sâu ở bên trong ổ xương hàm hoặc ở vị trí dưới nướu

    Răng mọc ngầm có đặc điểm chính là răng mọc nằm sâu ở bên trong ổ xương hàm hoặc ở vị trí dưới nướu nhưng không mọc lên cung hàm được. Các chiếc răng mọc ngầm hoàn toàn có thể mọc đầy đủ nguyên vẹn như các răng bình thường khác. Hoặc đôi khi nó có thể chỉ ở dạng nang.

    Trong thực tế, tình trạng răng mọc ngầm có thể xảy ra ở mọi răng vĩnh viễn của mỗi người. Tuy nhiên, răng mọc ngầm thường gặp nhất đó chính là răng khôn, hay còn được gọi là răng số 8. Nguyên do của tình trạng này là vì răng khôn là những chiếc răng mọc sau cùng trên cung hàm. Trong khi các răng khác đã mọc đầy đủ và đúng vị trí thì nó vẫn chưa mọc lên. Thế nên không còn đủ khoảng trống thuận lợi để răng khôn mọc bình thường và thậm chí là không thể tách nướu trồi lên. Không chỉ có vậy, những chiếc răng số 8 này thường hay mọc lệch lạc, mọc sai vị trí hay mọc xiên, mọc ngang,...

    Răng mọc ngầm không chỉ ảnh hưởng đến tính thẩm mỹ của hàm răng. Mà bên cạnh đó nó còn gây hại trực tiếp đến sức khỏe răng miệng của những ai gặp phải. Làm tăng nguy cơ mắc nhiều bệnh lý nhiễm trùng răng miệng và phá hủy các răng lân cận. Thậm chí răng ngầm còn có thể làm tổn thương đến thần kinh khá nguy hiểm. Vậy làm sao để nhận biết dấu hiệu răng mọc ngầm để xử lý kịp thời?

    Một số dấu hiệu răng mọc ngầm cần chú ý

    Răng ngầm xuất hiện muộn hơn so với bình thường

    Răng mọc muộn là một trong những dấu hiệu răng mọc ngầm phổ biến. Thậm chí là trong các vị trí răng có răng sữa thì thấy răng sữa vẫn còn tồn tại ở đó dù đã qua tuổi thay răng vĩnh viễn.

    Không sờ thấy răng trong vùng xương ổ răng

    Đây cũng là một trong những dấu hiệu răng mọc ngầm bạn cần chú ý. Bạn không sờ thấy răng trong miệng dọc theo vùng xương ổ răng. Hoặc có một vùng lợi xuất hiện trồi lên bất thường khi sờ vùng xương ổ răng.

    Đau nhức và cảm giác ê buốt khó chịu

    Cảm giác đau nhức, ê buốt có thể xuất hiện bất chợt hoặc tái diễn thường xuyên khi bị răng mọc ngầm. Cảm giác này rõ rệt nhất là khi bạn đang ăn nhai thức ăn hàng ngày. Trong một số trường hợp răng mọc ngầm có thể gây tổn thương thần kinh nên khiến bạn có cảm giác tê bì, đau nhức lan đến tận vùng đầu.

    đau nhức, ê buốt,... có thể là dấu hiệu răng mọc ngầm Răng mọc ngầm có thể gây tổn thương thần kinh nên khiến bạn có cảm giác tê bì, đau nhức

    Nướu sưng tấy đỏ

    Trường hợp nếu bạn thấy nướu bị sưng đỏ giống như sắp mọc răng nhưng lại không thấy răng trồi lên. Thì lúc này là dấu hiệu răng của bạn bị mọc ngầm. Đặc biệt tình trạng này rất hay gặp ở răng khôn. Răng mọc ngầm có thể gây đau nhức ê ẩm cho bạn trong một thời gian rồi lại hết nhưng răng vẫn chưa mọc trồi lên và thậm chí nó còn tiếp diễn nhiều lần như thế.

    Hôi miệng, đắng miệng

    Hôi miệng và đắng miệng cũng là một trong những dấu hiệu răng mọc ngầm. Vấn đề này ảnh hưởng khá lớn đến đời sống sinh hoạt cũng như việc giao tiếp của người bệnh. Đặc biệt, cho dù là răng mọc ngầm nhưng phần nướu vẫn bị sưng lên. Thế nên nó vẫn khiến cho các vụn thức ăn, mảng bám sau khi ăn bị mắc lại. Nếu như không chăm sóc vệ sinh răng miệng kỹ lưỡng sẽ tạo điều kiện lý tưởng cho vi khuẩn phát triển và tấn công. Từ đó nó gây ra những mùi hôi khó chịu xuất phát từ khoang miệng của bạn.

    Để xác định chính xác là bạn có đang gặp tình trạng răng mọc ngầm hay không không thể chỉ dựa vào những dấu hiệu răng mọc ngầm trên. Nếu bạn nhận thấy bản thân đang gặp phải nhưng vấn đề trên thì nên tiến hành chụp X quang răng tại phòng khám nha khoa mới đánh giá rõ được.

    Biến chứng răng mọc ngầm

    Răng mọc ngầm có thể gây ra nhiều ảnh hưởng, biến chứng nguy hiểm đến sức khỏe răng miệng Răng mọc ngầm có thể gây biến chứng nguy hiểm đến sức khỏe răng miệng

    Theo các bác sĩ nha khoa, răng mọc ngầm có thể gây ra nhiều ảnh hưởng, biến chứng nguy hiểm đến sức khỏe răng miệng và cơ thể của người bệnh. Tình trạng biến chứng sẽ ngày càng tồi tệ nếu như không được điều trị và xử lý sớm. Một số biến chứng thường gặp nhất khi có răng ngầm như dính khớp, lệch đường giữa, mất nhiều khoảng,... Hay thậm chí là răng bên cạnh bị tiêu chân. Đối một số trường hợp răng ngầm còn có thể ảnh hưởng đến dây thần kinh quanh chân răng. Từ đó nó làm hủy hoại xương hàm hoặc gây nhiễm trùng máu nguy hiểm đến cả tính mạng. Do đó, nắm bắt các dấu hiệu răng mọc ngầm là cách tốt nhất để có biện pháp xử lý kịp thời, tránh các biến chứng nguy hiểm.

    Chính vì những biến chứng nguy hiểm có nguy cơ xảy ra do răng mọc ngầm. Thì bạn nên thăm khám tại phòng khám nha khoa uy tín càng sớm càng tốt khi phát hiện mình có dấu hiệu răng mọc ngầm như trên. Nếu có răng mọc ngầm, bạn hãy để bác sĩ kiểm tra và có hướng xử lý kịp thời. Xử lý sớm và đúng cách sẽ giúp tránh xảy ra những biến chứng không mong muốn, ảnh hưởng đến sức khỏe của bạn về sau.

    Ngọc Hiếu

    Nguồn tham khảo: Tổng hợp

    Có thể bạn quan tâm

    Thông tin và sản phẩm gợi ý trong bài viết chỉ mang tính chất tham khảo, vui lòng liên hệ với Bác sĩ, Dược sĩ hoặc chuyên viên y tế để được tư vấn cụ thể. Xem thêm

    Dược sĩ Đại họcNgô Kim Thúy

    Đã kiểm duyệt nội dung

    Tốt nghiệp loại giỏi trường Đại học Y Dược Huế. Từng tham gia nghiên cứu khoa học đề tài về Dược liệu. Nhiều năm kinh nghiệm làm việc trong lĩnh vực Dược phẩm. Hiện đang là giảng viên cho Dược sĩ tại Nhà thuốc Long Châu.

    Xem thêm thông tin