Tốt nghiệp Đại học Y Dược Huế, có nhiều năm kinh nghiệm trong chăm sóc sức khỏe, đặc biệt về Nội khoa, Hồi sức và Tiêm chủng vắc xin. Hiện tại, đang là bác sĩ tại Trung tâm Tiêm chủng Long Châu.
29/12/2024
Mặc định
Lớn hơn
Bị giời leo là tình trạng viêm nhiễm trên da hay gặp phải ở nhiều người. Trong lúc bị bệnh cần phải kiêng cữ một số điều trong chế độ sinh hoạt hằng ngày. Vậy bị giời leo có quan hệ được không là thắc mắc được đặt ra.
Bị giời leo là một dạng viêm da dị ứng khi cơ thể vô tình tiếp xúc với con bọ giời. Giời leo gây mất thẩm mỹ bởi bệnh thường nổi những mụn nước nhỏ, phồng rộp ở vùng mắt, môi và nhiều vị trí khác trên cơ thể. Vậy bị giời leo phải điều trị thế nào? Bị giời leo có quan hệ được không? Tất cả thắc mắc sẽ được giải đáp ở bài viết này.
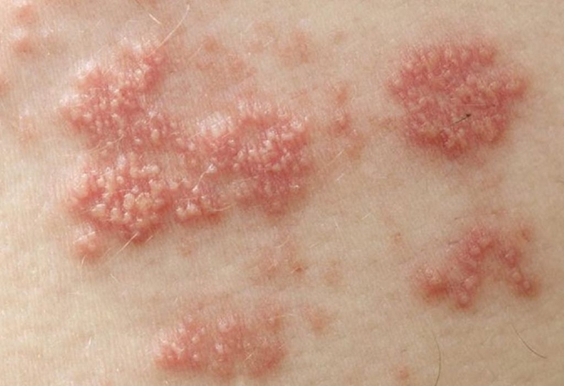
Giời leo là bệnh viêm da dị ứng bởi acid photpho hữu cơ. Khi cơ thể vô tình tiếp xúc với bọ giời sẽ bị độc tố của nó tiết ra và gây bệnh. Biểu hiện rõ ràng nhất của bệnh là các vùng da có các vết tổn thương ngoằn ngoèo, chúng thường gây cảm giác đau rát. Ngoài ra vùng da bị giời leo còn nổi các mụn nhỏ li ti, có chứa nước bên trong rất khó chịu. Chính những mụn nước này nếu vỡ ra chúng có thể gây lây lan cho người khác thông qua các tiếp xúc thông thường.

Các vết giời leo thường xuất hiện ở mặt trong đùi, gần tai, vùng liên sườn thậm chí xuất hiện ở lưng, mặt và nguy hiểm nhất là hốc mắt. Bệnh xảy ra phổ biến vào mùa mưa khi thời tiết giao mùa, đặc biệt những ai có sức đề kháng kém dễ mắc bệnh hơn. Nếu bệnh được phát hiện và điều trị ngay thì có thể khỏi hẳn sau 5 - 7 ngày.
Trước khi giải đáp thắc mắc bị giời leo có quan hệ được không thì ta cần quan tâm đến những nguyên nhân gây bệnh: Bệnh chủ yếu do một loại côn trùng có tên là bọ giời gây ra. Đây là con vật có hình dáng dài, nhiều chân tương tự như rết nhưng nhỏ hơn. Bọ giời thích sống ở nơi ẩm thấp. Chúng thường hoạt động vào ban đêm và có khả năng bò lên cơ thể người khi chúng ta đang ngủ say từ đó chúng tiết ra dịch độc acid photpho gây nên các vết phồng rộp trên da.
Những triệu chứng để phát hiện cơ thể bị giời leo như sau:
Bệnh giời leo thường bị nhầm lẫn với Zona thần kinh nên cần thăm khám bác sĩ ngay khi có dấu hiệu bất thường để dùng đúng thuốc và tránh làm bệnh ngày càng nặng thêm.
Như đã trình bày ở trên thì bệnh giời leo có tính truyền nhiễm. Chính các mụn nước li ti phồng rộp lên chứa nhất nhiều vi khuẩn lây bệnh. Nếu người khoẻ mạnh tiếp xúc với dịch từ nốt mụn li ti này thì ngay lập tức sẽ mắc bệnh. Vậy câu trả lời chính xác nhất cho thắc mắc bị giời leo có nên quan hệ không là không nên.
Trong quá trình quan hệ tình dục, những cọ xát trên cơ thể khiến các mụn nước bị vỡ ra và đây là cơ hội để vi trùng lây lan. Tốt nhất hãy điều trị bệnh tận gốc, sau khi các vết mụn nước đã khô và bong vảy hoàn toàn thì bạn có thể quan hệ bởi lúc này không còn nguy cơ lây nhiễm bệnh.

Sau khi giải đáp được thắc mắc bị giời leo có quan hệ được không thì ta cần quan tâm đến cách điều trị và phòng bệnh thật hiệu quả. Thực tế, bệnh giời leo không hề nguy hiểm, dễ dàng điều trị bằng cách sử dụng thuốc bôi ngoài hoặc có thể áp dụng các cách chữa trị dân gian. Thời gian từ khi phát bệnh đến khi hồi phục nếu được điều trị tích cực là khoảng 1 tuần và không hề để lại sẹo.
Bạn chỉ cần kiên trì bôi thuốc ngoài da theo chỉ định của bác sĩ. Luôn phải giữ gìn vệ sinh cơ thể thật sạch sẽ. Tuy nhiên tránh chà xát, cọ gãi vào vùng da bị giời leo để tránh làm trầy xước, nhiễm trùng và làm bệnh nặng hơn. Tuyệt đối không dùng chung khăn mặt, khăn tắm, quần áo với người khác để tránh tình trạng lây nhiễm xảy ra. Khi đi ra ngoài hãy che chắn vùng da bị giời leo để hạn chế chúng tiếp xúc với bụi bẩn.

Trong quá trình bị bệnh, để vùng da bị giời leo nhanh lành thì phải ăn uống khoa học. Cần tăng cường bổ sung các loại thực phẩm giàu Vitamin C như chanh, cam. Ăn nhiều món ăn có tính thanh nhiệt cơ thể như canh mướp đắng, nước rau má, súp hạt sen. Tuyệt đối kiêng ăn hải sản cũng như các món ăn có tính nóng như thực phẩm chế biến sẵn, đồ ăn nhiều dầu mỡ và đồ uống có cồn.
Nên thực hiện vệ sinh phòng ngủ để xua đuổi côn trùng. Luôn giặt và phơi áo quần sạch sẽ, hạn chế để nơi ở bị ẩm thấp. Bổ sung đầy đủ chất trong ăn uống hằng ngày để cơ thể có sức đề kháng tốt. Đặc biệt luôn theo dõi tình trạng sức khoẻ của bản thân để kịp thời phát hiện những dấu hiệu bất thường trên da từ đó có cách điều trị đúng lúc.
Trên đây là những chia sẻ về thắc mắc bị giời leo có quan hệ được không. Hy vọng sau khi đọc xong bài viết bạn có thể hiểu hơn về bệnh giời leo và biết cách chủ động phòng tránh cũng như điều trị bệnh khoa học nhất.
Bệnh Zona không chỉ gây ra những cơn đau nhức kéo dài mà còn có thể gây ra các biến chứng nghiêm trọng như đau dây thần kinh sau Zona, ảnh hưởng đến chất lượng cuộc sống lâu dài của người bệnh. Để ngăn ngừa bệnh Zona và giảm thiểu các biến chứng nghiêm trọng, tiêm vắc xin phòng bệnh là biện pháp hiệu quả nhất hiện nay. Tại Trung tâm Tiêm chủng Long Châu, quy trình tiêm phòng được thực hiện dưới sự giám sát nghiêm ngặt của đội ngũ y bác sĩ giàu kinh nghiệm. Mọi khách hàng đều được tư vấn chi tiết về lợi ích và quy trình tiêm phòng, đồng thời đảm bảo an toàn tuyệt đối trong suốt quá trình tiêm. Không gian tại trung tâm cũng được thiết kế hiện đại và thoải mái, giúp khách hàng cảm thấy dễ chịu và yên tâm.
Bảo Thanh
Nguồn tham khảo: Tổng hợp
Bác sĩLê Thị Quyên
Tốt nghiệp Đại học Y Dược Huế, có nhiều năm kinh nghiệm trong chăm sóc sức khỏe, đặc biệt về Nội khoa, Hồi sức và Tiêm chủng vắc xin. Hiện tại, đang là bác sĩ tại Trung tâm Tiêm chủng Long Châu.