• Thực phẩm chức năng

  • Dược mỹ phẩm

  • Thuốc

  • Chăm sóc cá nhân

  • Thiết bị y tế

  • Tiêm chủng

  • Bệnh & Góc sức khỏe

  • Hệ thống nhà thuốc

    1. /
    2. Góc sức khỏe/
    3. Phòng bệnh & Sống khoẻ

    Một số cách chữa tụt lợi bằng mật ong hiệu quả và đơn giản nhất

    21/06/2023

    Kích thước chữ

    Tụt lợi là vấn đề nan giải đối với nhiều người hiện nay. Nếu không chữa trị sớm, bệnh này sẽ gây ra một vài biến chứng nguy hiểm. Sau đây, chúng ta cùng tìm hiểu cách chữa tụt lợi bằng mật ong đơn giản nhất.

    Tụt lợi gây ra một số vấn đề cho người bệnh, ví dụ như gây mất thẩm mỹ hoặc các vấn đề có liên quan. Ngày nay, có nhiều phương pháp từ khoa học đến thiên nhiên để có thể chữa trị vấn đề tụt lợi ở nhiều người. Điển hình trong số đó là cách chữa tụt lợi bằng mật ong đơn giản và hiệu quả nhất.

    Tụt lợi, tụt nướu răng là gì?

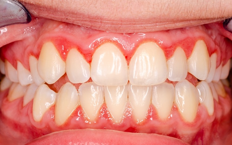
    Tụt lợi, tụt nướu răng là hiện tượng phần lợi và nướu răng co rút về phía cuốn, làm hở chân răng nhiều hơn. Tình trạng này có thể dễ dàng nhận thấy được nếu xảy ra ở vùng răng trước. Ở giai đoạn đầu, vấn đề này không gây nguy hiểm, tuy nhiên sẽ mang lại một số cảm giác khó chịu, ê buốt cho người bệnh.

    Diễn biến nghiêm trọng về sau của chứng bệnh này là một trong những điều kiện để vi khuẩn tấn công vào răng nướu, gây viêm nha chu, mòn chân răng và thậm chí là mất răng. Vì vậy, ngay từ khi phát hiện ra tình trạng này thì cần một số biện pháp để phòng ngừa cũng như chữa trị để tránh gây ra các biến chứng nguy hiểm.

    Tình trạng tụt lợi chân răng khiến răng của bạn bị dài ra trông thấy Tình trạng tụt lợi chân răng khiến răng của bạn bị dài ra trông thấy

    Nếu tình trạng không quá nghiêm trọng và chưa có một số hậu quả nặng nề thì có thể chữa trị bằng các biện pháp thiên nhiên đơn giản. Một trong số đó là sử dụng mật ong để chữa tụt lợi.

    Mật ong có tác dụng như thế nào trong việc chữa trị tụt lợi?

    Cách chữa tụt lợi bằng mật ong là một trong những phương pháp được nhiều người áp dụng và cho là hiệu quả nhất từ trước đến nay trong các biện pháp từ thiên nhiên. Không chỉ là nguyên liệu trong ẩm thực, mật ong còn được sử dụng như một dược liệu quý hiếm để chữa các bệnh nha khoa.

    Trong mật ong có chứa một số thành phần hoạt chất chống viêm và có khả năng kháng khuẩn rất tốt. Chính vì thế, mật ong có tác dụng ức chế các hoạt động của vi khuẩn gây hại trong khoang miệng.

    Bên cạnh đó, mật ong còn giúp ngăn ngừa một số bệnh về răng nướu. Các thành phần oxy hóa, vitamin và một số khoáng chất trong mật ong có khả năng giúp làm giảm các triệu chứng bệnh lý hỗ trợ làm lành các tổn thương trong khoang miệng.

    Điều trị tụt lợi chân răng bằng mật ong nguyên chất Điều trị tụt lợi chân răng bằng mật ong nguyên chất

    3 cách trị tụt lợi bằng mật ong dễ làm và hiệu quả nhất mà bạn nên biết

    Có thể sử dụng mật ong để chữa tụt lợi chân răng tại nhà vô cùng hiệu quả. Sau đây sẽ là 3 cách chữa tụt lợi bằng mật ong công hiệu nhất mà bạn có thể áp dụng.

    Cách 1: Sử dụng loại mật ong nguyên chất

    Một trong những cách chữa tụt lợi bằng mật ong hiệu quả đầu tiên đó là sử dụng mật ong nguyên chất. Đối với cách này, sau khi đánh răng sạch sẽ, bạn có thể dùng tăm bông nhúng mật ong rồi chấm trực tiếp lên vùng nướu bị viêm. Hãy thực hiện chấm mật ong một vài lần để tinh chất có thể thấm sâu vào nướu. Giữ nguyên mật ong trên vị trí bị viêm trong khoảng 10 phút và súc miệng lại với nước.

    Kiên trì thực hiện biện pháp này từ 2 đến 3 lần một ngày và áp dụng trong khoảng 1 đến 2 tuần, bạn sẽ thấy hiệu quả.

    Mật ong có chứa thành phần kháng viêm và kháng khuẩn tốt Mật ong có chứa thành phần kháng viêm và kháng khuẩn tốt

    Cách 2: Súc miệng với mật ong

    Mật ong không chỉ để chế biến thức ăn và để dùng làm thức uống trực tiếp mà còn có thể súc miệng. Đối với công thức chữa tụt lợi bằng mật ong này bạn có thể sử dụng mật ong kết hợp cùng với bột quế để làm nước súc miệng vào buổi sáng khi thức dậy và buổi tối trước lúc đi ngủ. Công dụng rõ rệt nhất của nó là có thể giúp giảm sưng viêm, diệt vi khuẩn trong khoang miệng một cách hiệu quả.

    Nên kiên trì thực hiện từ 2 đến 3 lần một ngày trong vòng 1 đến 2 tuần thì bạn có thể nhìn thấy hiệu quả rõ rệt.

    Cách 3: Sử dụng hỗn hợp mật ong và chanh

    Khi sử dụng cách thức pha trộn hỗn hợp giữa mật ong và chanh có thể tăng khả năng sát khuẩn, giúp kháng viêm. Cách sử dụng đối với phương thức này là sau khi đánh răng, bạn có thể sử dụng hỗn hợp gồm một thìa mật ong và một thìa nước cốt chanh và trộn đều lại với nhau, sau đó bôi lên vùng bị viêm hoặc bị tụt lợi.

    Thực hiện cách chữa tụt lợi bằng mật ong và nước cốt chanh từ 2 đến 3 lần một ngày để có thể đạt hiệu quả tốt nhất trong việc ngăn ngừa vi khuẩn và giảm tình trạng viêm nhiễm, từ đó có thể giúp răng miệng khỏe mạnh trở lại.

    ​​​​​​Kiên trì sử dụng mật ong đều đặn để trị dứt điểm tình trạng tụt lợi Kiên trì sử dụng mật ong đều đặn để trị dứt điểm tình trạng tụt lợi

    Trên đây là một số cách chữa trị vấn đề tụt lợi ở nhiều người bằng mật ong đơn giản. Bạn có thể dễ dàng thực hiện các cách chữa tụt lợi bằng mật ong tại nhà.

    Lưu ý: Cách thức này không có tác dụng chữa trị các vấn đề về răng miệng lâu dài hoặc đã hình thành bệnh lý. Trong trường hợp viêm nướu nặng có thể thăm khám trực tiếp tại các địa chỉ nha khoa uy tín để có phương pháp điều trị tốt nhất.

    Cẩm Ly

    Nguồn: Tổng hợp

    Có thể bạn quan tâm

    Thông tin và sản phẩm gợi ý trong bài viết chỉ mang tính chất tham khảo, vui lòng liên hệ với Bác sĩ, Dược sĩ hoặc chuyên viên y tế để được tư vấn cụ thể. Xem thêm

    Dược sĩ Đại học Nguyễn Tuấn Trịnh

    Đã kiểm duyệt nội dung

    Từng làm ở Viện ISDS, nhiều năm cộng tác với CDC Thái Nguyên triển khai dự án phòng chống HIV/AIDS, 2 năm cộng tác với WHO.

    Xem thêm thông tin