Tốt nghiệp Đại Học Dược Hà Nội - chuyên môn Dược lâm sàng. Hiện đang là giảng viên cho Dược sĩ tại Nhà thuốc Long Châu.
21/06/2023
Mặc định
Lớn hơn
Hiện nay có rất nhiều phương pháp điều trị răng hô, trong số đó phẫu thuật mang lại hiệu quả tốt và nhanh chóng nhất. Khi lựa chọn phẫu thuật răng hô mọi người thường phân vân về giá thành và sự an toàn của nó.
Để tìm hiểu kỹ hơn về phương pháp phẫu thuật răng hô, các bạn hãy theo dõi bài viết dưới đây của Nhà Thuốc Long Châu nhé.
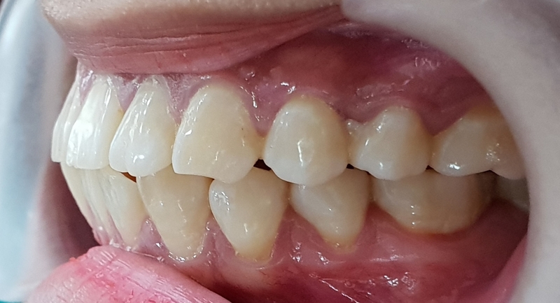
Răng hô là tình trạng xương hàm nhô ra phía trước, làm mất cân đối giữa hai hàm và tổng thể khuôn mặt. Tình trạng này xuất hiện khá phổ biến, tuy không ảnh hưởng tới tính mạng nhưng có thể gây ra nhiều bất tiện trong sinh hoạt và giao tiếp của mọi người.
Có rất nhiều nguyên nhân dẫn tới tình trạng răng hô:
Răng hô thường khiến mọi người thiếu tự tin, ngại giao tiếp vì khuôn mặt mất thẩm mỹ. Bên cạnh đó, răng hô còn làm lệch khớp cắn khiến khả năng nhai thức ăn của hàm kém hơn so với răng đều, hai hàm cân đối.
Trong một số trường hợp, răng hô là nguyên nhân gây ra các bệnh lý về răng miệng vì quá trình vệ sinh gặp nhiều khó khăn. Nếu tình trạng này không được khắc phục kịp thời, răng hô còn có thể gây ra nhiều biến chứng nguy hiểm khác như mất răng, tiêu xương hàm.
Để loại bỏ tình trạng trên, việc điều chỉnh lại hàm bị hô là cần thiết và nên can thiệp sớm. Một trong những phương pháp thường được các bác sĩ ưu tiên chỉ định là phẫu thuật răng hô.
Răng hô cần được phẫu thuật để điều chỉnh khớp cắnPhẫu thuật điều chỉnh răng bị hô là kỹ thuật sử dụng máy móc hiện đại vào quá trình cắt xương hàm để điều chỉnh vị trí, sự cân đối của khớp cắn hai hàm. Phương pháp này đòi hỏi quy trình khép kín, thực hiện bởi các bác sĩ có chuyên môn cao và hệ thống trang thiết bị hiện đại.
Trước khi thực hiện phẫu thuật răng hô, người bệnh sẽ tiến hành chụp X - quang để xác định cấu trúc xương hàm mặt từ đó đưa ra phác đồ điều trị phù hợp với tình trạng của mỗi người. Sau đó, bác sĩ sẽ đánh dấu vị trí mạch máu, thần kinh, độ dày của xương hàm…để tiến hành phẫu thuật điều chỉnh hô. Tùy vào mức độ hô mà bác sĩ sẽ lựa chọn kỹ thuật chỉnh sửa phù hợp nhằm tối ưu hiệu quả và tính thẩm mỹ cho khách hàng.
Nếu răng chỉ bị hô ở hàm trên, bác sĩ có thể cắt tiền đình hàm, nhổ hai răng số 4 để tạo khoảng trống cho hàm. Nhờ có khoảng trống này, bác sĩ sẽ phẫu thuật đi qua hai khe răng, nhổ dọc trên cung xương hàm, đẩy lùi hàm trên về phía sau rồi cố định bằng nẹp Vis.
Trong trường hợp hô cả hai hàm, bác sĩ sẽ cắt tiền đình hàm của cả hai hàm, nhổ hai răng số 4 và đẩy lùi hàm về sau rồi cố định bằng nẹp Vis.
Nếu bị hô răng và hở lợi nghiêm trọng, bác sĩ sẽ tiến hành cắt Lefort để đẩy lùi hàm về phía sau.
Sau mỗi cuộc phẫu thuật, mọi người sẽ mất khoảng 7 - 10 ngày để hàm hồi phục. Sau hồi phục, các hoạt động cắn, nhai diễn ra bình thường, khuôn mặt trở nên cân đối và thẩm mỹ hơn.
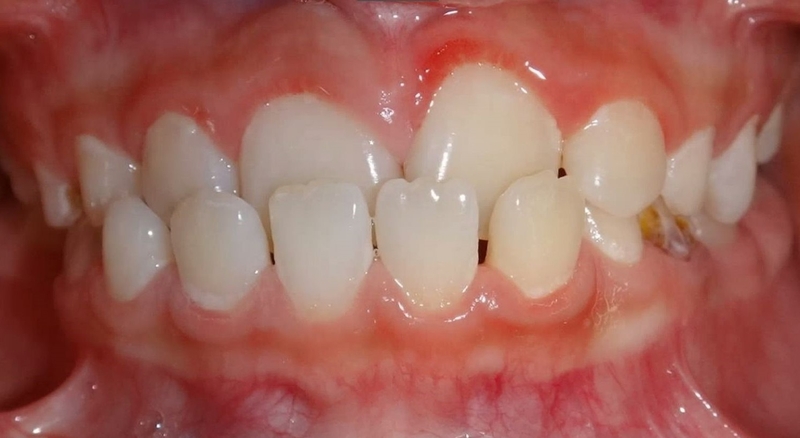
Phẫu thuật răng hô mang lại nụ cười tươi tắn và rạng rỡĐa số mọi người không phân biệt được khi nào nên niềng răng và phẫu thuật hàm. Nếu bạn bị hô hoặc móm nhẹ có thể lựa chọn biện pháp niềng răng. Phương pháp phẫu thuật răng hô áp dụng với những trường hợp sau đây:
Hàm dưới bị lệch gây ảnh hưởng tới khớp cắnQuy trình phẫu thuật răng hô được thực hiện an toàn, đảm bảo chuyên môn cao tại các cơ sở nha khoa uy tín. Mỗi ca mổ phải sử dụng hệ thống máy móc hiện đại để can thiệp vào phần hàm, giúp loại bỏ răng hô. Chỉ những bác sĩ tay nghề cao, nhiều kinh nghiệm mới có thể chỉ định và thực hiện phẫu thuật này một cách an toàn và đạt chuẩn.
Quy trình cụ thể được thực hiện tại cơ sở y tế như sau:
Sau khi phẫu thuật răng hô, người bệnh cần được chăm sóc đặc biệt để vết thương nhanh hồi phục và đạt hiệu quả như mong muốn.
Chườm đá lạnh để hàm bớt đau sau phẫu thuật răng hôMột hàm răng trắng và đều luôn là vũ khí rất lợi hại giúp khuôn mặt tươi tắn và xinh đẹp hơn. Vì vậy các có thể lựa chọn phẫu thuật răng hô để cải thiện các vấn đề về răng - hàm - mặt. Hy vọng bài viết trên đây đã giúp các bạn tìm hiểu về phẫu thuật hàm hô và cách chăm sóc sau phẫu thuật. Chúc mọi người luôn khỏe mạnh và đừng quên đừng quên theo dõi các bài viết khác của Nhà Thuốc Long Châu để cập nhập thêm kiến thức nhé.
Ánh Vũ
Nguồn tham khảo: Tổng hợp
/https://cms-prod.s3-sgn09.fptcloud.com/KF_1b_LIQ_Tx_J_Pb27_Vsh90_QN_6b_Xz_OB_Jo_U_f0e2294e2e.png)
Dược sĩ Đại họcNguyễn Chí Chương
Tốt nghiệp Đại Học Dược Hà Nội - chuyên môn Dược lâm sàng. Hiện đang là giảng viên cho Dược sĩ tại Nhà thuốc Long Châu.