Tốt nghiệp Đại học Dược Hà Nội, với hơn 10 năm kinh nghiệm trong lĩnh vực Dược phẩm. Hiện là giảng viên giảng dạy các môn Dược lý, Dược lâm sàng,...
Ánh Vũ
23/04/2024
Mặc định
Lớn hơn
Phương pháp điều chỉnh nha bằng việc niềng răng tháo lắp đang trở thành lựa chọn phổ biến, được nhiều người ưa thích vì tính thẩm mỹ cao. Tuy vậy, nhiều người vẫn còn đặt ra câu hỏi về hiệu quả của kỹ thuật này. Hãy cùng Nhà thuốc Long Châu tìm hiểu chi tiết về quy trình niềng răng tháo lắp trong bài viết hôm nay.
Được đánh giá là một phương pháp xuất sắc trong việc khắc phục các vấn đề hàm răng không “ngay hàng thẳng lối”, niềng răng tháo lắp không chỉ đảm bảo tính thẩm mỹ mà còn mang lại nhiều lợi ích khác. Mời bạn đọc cùng tìm hiểu chi tiết về phương pháp này trong bài viết dưới đây.
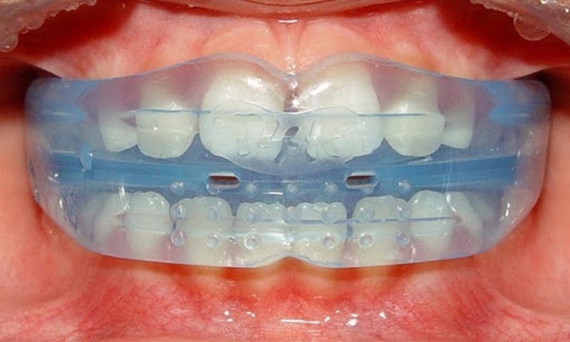
Niềng răng tháo lắp là phương pháp chỉnh nha hiện đại, cho phép bệnh nhân tự tháo lắp các khí cụ chỉnh nha trong quá trình điều trị. Phương pháp này thường được biết đến với tên gọi "niềng răng không mắc cài" do sử dụng khay niềng trong suốt, dễ dàng đeo và tháo ra nhằm điều chỉnh các vấn đề như răng móm, răng hô, răng thưa hay răng lệch.
Các đặc điểm nổi bật của niềng răng tháo lắp bao gồm việc không sử dụng các khí cụ niềng truyền thống như mắc cài, dây thun, dây cung mà thay vào đó sử dụng khay nhựa trong suốt có thể tháo lắp, được chế tạo từ khung hàm của chính bệnh nhân.
Quy trình đeo niềng đơn giản, thời gian thăm khám thoải mái, chỉ cần tái khám 1 lần sau khoảng 2 - 3 tháng và bệnh nhân có thể so sánh kết quả bằng cách so sánh khay niềng đầu tiên và khay niềng cuối cùng. Hơn nữa, việc đeo hàm chỉnh nha tháo lắp giữ được tính thẩm mỹ tối đa với khay niềng hoàn toàn trong suốt, khiến cho người đối diện gần như không thể nhận biết được sự hiện diện của chúng.

Người thực hiện cần hiểu rõ các phương pháp niềng răng tháo lắp trước khi đánh giá hiệu quả của chúng. Hiện có hai nhóm chính là khí cụ dành cho trẻ dưới 13 tuổi và khay niềng dành cho người trưởng thành.
Những công cụ điều chỉnh nha này mang những đặc điểm độc đáo, tạo cảm giác thoải mái và dễ chịu cho trẻ trong quá trình điều trị niềng răng tháo lắp. Điều này bao gồm:
Phương pháp niềng răng tháo lắp ở người trưởng thành bao gồm việc sử dụng các khay niềng trong suốt, ôm sát mặt răng, nhằm tạo lực kéo giúp răng di chuyển về vị trí mong muốn trên cung hàm. Một số phương pháp này bao gồm:

Phương pháp niềng răng tháo lắp mang lại sự linh hoạt thông qua việc sử dụng các khay niềng, giúp quá trình niềng răng diễn ra liên tục mà không bị gián đoạn. Quy trình các bước thực hiện niềng răng tháo lắp diễn ra như sau:

Tính thẩm mỹ cao và sự tiện lợi khi niềng răng tháo lắp là những ưu điểm không thể phủ nhận của phương pháp này. Các chuyên gia đã khẳng định niềng răng tháo lắp mang lại hiệu quả cao. Bạn có thể quan sát trực tiếp sự tiến triển của quá trình điều trị thông qua việc theo dõi sự thay đổi của răng và cung hàm qua từng khay niềng. Khay niềng đầu tiên thường phản ánh tình trạng ban đầu của răng và qua mỗi khay niềng, bạn sẽ thấy những cải thiện tích cực.
Thường thì mỗi khay niềng dịch chuyển răng khoảng 0.2mm, tạo nên sự biến đổi nhẹ nhàng liên tục trong suốt quá trình niềng răng. Để đánh giá hiệu quả, bạn chỉ cần so sánh giữa khay niềng đầu tiên và khay niềng cuối cùng.
Tuy nhiên, cần lưu ý rằng niềng răng tháo lắp thường chỉ phù hợp với trường hợp răng khiếm khuyết mức độ nhẹ. Trong những trường hợp phức tạp như móm, hô hay răng lệch lạc ở mức độ nặng, bác sĩ thường ưu tiên sử dụng niềng răng mắc cài truyền thống. Nguyên nhân chính là do khay niềng thường tạo ra lực kéo răng không mạnh mẽ bằng phương pháp niềng mắc cài, điều này làm tăng thời gian điều trị và giảm hiệu quả của quá trình niềng.

Để đảm bảo an toàn và hiệu quả khi niềng răng tháo lắp, người bệnh cần chú ý đến những điểm sau:
Như vậy, Nhà thuốc Long Châu vừa chia sẻ tới bạn đọc những thông tin chi tiết về phương pháp niềng răng tháo lắp. Để đạt được hiệu quả tối đa từ phương pháp điều chỉnh nha này, người bệnh cần tập trung vào chăm sóc răng miệng, duy trì sự gìn giữ khay niềng và thực hiện một chế độ dinh dưỡng phù hợp.
Dược sĩ Đại họcNguyễn Thanh Hải
Tốt nghiệp Đại học Dược Hà Nội, với hơn 10 năm kinh nghiệm trong lĩnh vực Dược phẩm. Hiện là giảng viên giảng dạy các môn Dược lý, Dược lâm sàng,...