Dược sĩ Đại học có nhiều năm kinh nghiệm trong việc tư vấn Dược phẩm và hỗ trợ giải đáp thắc mắc về Bệnh học. Hiện đang là giảng viên cho Dược sĩ tại Nhà thuốc Long Châu.
Chí Doanh
23/02/2024
Mặc định
Lớn hơn
Một số bệnh nhân không muốn điều trị răng hàm vì họ không thấy vấn đề gì nghiêm trọng. Ngược lại, một số người khác sẽ cần điều trị vì răng xô của họ gây ra một số vấn đề về chức năng nhất định và thẩm mỹ. Bài viết này sẽ chia sẻ cho bạn về lý do khiến một số người bị hô, những bất lợi mà răng hô mang lại và phương pháp khắc phục tình trạng này.
Nụ cười đẹp được coi là một trong những đặc điểm quan trọng nhất của khuôn mặt. Đối với một số người có hàm răng hô thì việc cười hay nói lại khiến cho họ xấu hổ. Sau đây là những thông tin hữu ích cho bạn về các vấn đề liên quan đến răng hô.
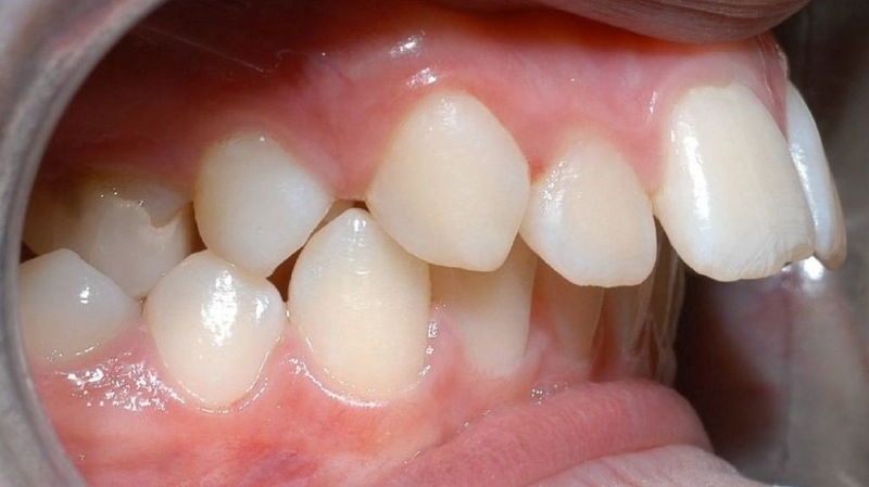
Răng hô hay răng vẩu là một loại biến dạng răng hàm mặt phổ biến với dạng nhô ra quá mức của hàm trên hoặc hai hàm. Loại thường gặp nhất là hô răng cửa trên và dưới, hàm trên và hàm dưới nhô ra phía trước. Ngoài ra, răng khểnh cũng là một loại của răng hô. Nhìn chung, biến dạng này không quá ảnh hưởng nghiêm trọng đến chức năng của răng nhưng ảnh hưởng khá nhiều đến diện mạo và sự tự tin.
Người có răng hô thường có biểu hiện môi hở, thấy răng, ở trạng thái tự nhiên môi không thể khép lại, khi cười nướu lộ nhiều. Răng cửa trên và dưới trong miệng nghiêng về phía môi, thường đi kèm với tình trạng răng chen chúc và không đều, răng cửa bị cắn sâu và chìa ra ngoài.

Nếu ba mẹ bạn có răng hô thì khả năng bạn bị răng hô tương đối cao.
Nguyên nhân này dẫn đến răng mọc chen chúc, cản trở sự phát triển bình thường, nên răng cửa có xu hướng mọc ra ngoài hoặc bị ép vào không đều một cách bất thường.
Mút ngón tay cái
Mút ngón tay cái là một vấn đề rất phổ biến ở trẻ sơ sinh, đó là điều bình thường. Tuy nhiên, nếu trẻ lớn lên mà không bỏ được tật này đến khi mọc răng vĩnh viễn thì có thể khiến các răng cửa phát triển lệch lạc. Ngoài ra, mút tay còn gián tiếp đưa vi khuẩn, virus,... vào cơ thể gây ra một số bệnh truyền nhiễm như bệnh thủy đậu, bệnh tay chân miệng,...
Đẩy lưỡi
Lực đẩy lưỡi xuất hiện đầu tiên khi trẻ bú mẹ hoặc bú bình. Đây là một phản xạ tự nhiên để trẻ uống được sữa. Mặc dù lúc đó điều đó là bình thường nhưng khi chuyển qua giai đoạn bỏ bình mà trẻ vẫn còn hành động đẩy lưỡi sẽ có thể gây ra tình trạng cắn hở hoặc cắn quá mức.

Có nên chỉnh răng hô hay không còn tùy thuộc vào mức độ nghiêm trọng của vấn đề. Vì một số người hài lòng với răng hô của mình, ví dụ như ăn khểnh và tình trạng cắn quá mức không khiến họ khó chịu nên họ có xu hướng không điều trị nha khoa cho vấn đề đó. Bên cạnh đó, một số người lại chịu ảnh hưởng nghiêm trọng từ răng hô nên việc chỉnh nha là cần thiết.
Vấn đề răng hô có thể được khắc phục bằng cách sử dụng các hình thức niềng răng đặc biệt, giúp di chuyển răng cửa hàm trên về đúng vị trí và thay đổi sự phát triển của hàm trên hoặc hàm dưới, hoặc cả hai. Niềng răng có tác dụng hoàn hảo không chỉ đối với trẻ em hoặc thanh thiếu niên mà còn đối với người lớn.
Niềng răng truyền thống là sử dụng dây cung và mắc cài kim loại giúp răng có được sự thẳng hàng như mong muốn theo thời gian. Nếu không có đủ không gian để di chuyển răng, một số bệnh nhân có thể phải nhổ răng. Có hai hình thức gắn mắc cài và dây cung là gắn mặt ngoài hay gắn mặt trong răng. Với mắc cài mắc trong sẽ tăng độ thẩm mỹ nhưng độ khó về tay nghề sẽ yêu cầu cao hơn, đồng nghĩa với việc chi phí thực hiện cũng sẽ cao hơn mắc cài mắc ngoài.

Công nghệ này còn gọi là Invisalign với việc sử dụng máy in 3D mới nhất để điều chỉnh ra một loạt khay nha khoa trong suốt gần như không thể nhận ra để bọc vào hàm răng. Dù là do chen chúc, răng thưa, khớp cắn hở, cắn chéo hay răng bị xô lệch thì bạn hoàn toàn có thể lấy lại được nụ cười rạng rỡ từ phương pháp này. Tuy nhiên, phương pháp này chỉ áp dụng với những hàm răng có vấn đề nhẹ.
Niềng răng vô hình hoàn toàn có tính thẩm mỹ cao, dễ đeo, giúp việc vệ sinh răng miệng rất dễ dàng trong quá trình chỉnh nha nhưng giá thành tương đối cao. Ngoài ra, bệnh nhân niềng răng trong suốt cũng ít bị tiêu chân răng hơn và ít khó chịu hơn so với bệnh nhân niềng răng truyền thống.

Nếu răng hô do sự phát triển quá mức của xương hàm thì bác sĩ có thể loại bỏ một đoạn xương hàm nhằm rút ngắn hàm dài.
Dù niềng răng truyền thống hay trong suốt, việc quan trọng bạn phải làm là vệ sinh răng miệng đúng cách.
Đối với niềng răng truyền thống, các mắc cài là vị trí dễ mắc thức ăn và tích tụ vi khuẩn nhất. Điều này làm tăng nguy cơ vàng răng, sâu răng, viêm nướu, viêm nha chu,... Sau đây là cách bước vệ sinh răng miệng đúng cách khi đeo niềng răng truyền thống:
Đối với niềng răng trong suốt thì đơn giản hơn, sau khi thoát khay niềng thì thực hiện bước 1, 2, 4, 5 như đeo niềng truyền thống và vệ sinh khay niềng bằng cách:
Ngoài vệ sinh răng răng miệng đúng cách, việc ăn uống cũng ảnh hưởng rất nhiều trong thời kỳ niềng răng. Bạn trong nên ăn thức ăn cứng, có màu đậm hay tạo màu và hạn chế đồ ngọt.

Vì ngoại hình đẹp trên khuôn mặt mang lại cho người xung quanh ấn tượng từ ban đầu và tăng sự tự tin cho chủ nhân, nên ngày càng có nhiều người trưởng thành bị răng hô ưa chuộng điều trị chỉnh nha. Hiện có nhiều phương pháp giúp bạn lấy lại nụ cười đẹp với những ưu nhược điểm khác nhau. Điều quan trọng là bạn phải chọn được cơ sở nha khoa uy tín để thực hiện việc chỉnh răng này.
Xem thêm:
Dược sĩ Đại họcNguyễn Mỹ Huyền
Dược sĩ Đại học có nhiều năm kinh nghiệm trong việc tư vấn Dược phẩm và hỗ trợ giải đáp thắc mắc về Bệnh học. Hiện đang là giảng viên cho Dược sĩ tại Nhà thuốc Long Châu.