Phượng Hằng
14/05/2024
Mặc định
Lớn hơn
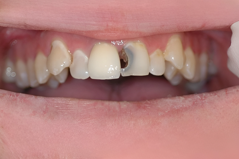
Răng cửa bị sâu đen là vấn đề răng miệng khá phiền toái nếu không may gặp phải. Việc điều trị răng cửa bị sâu đen sẽ trở phức tạp nếu không có biện pháp can thiệp sớm. Bởi vì, tình trạng này không chỉ gây tổn hại về mặt thẩm mỹ mà còn tiềm ẩn nguy cơ mắc các bệnh lý răng miệng khác.
Nếu không làm sạch và giữ vệ sinh bề mặt của răng thường xuyên và cẩn thận thì tình trạng sâu răng rất dễ xảy ra. Răng cửa cũng không ngoại lệ, đó là lý do xuất hiện nên tình trạng răng cửa bị sâu đen. Tình trạng này rất mất thẩm mỹ và ảnh hưởng đến sức khỏe răng miệng. Trước khi tìm ra giải pháp để giải quyết vấn đề này thì chúng ta cũng nên biết những triệu chứng gặp phải khi răng cửa bị sâu đen.
Dấu hiệu răng cửa bị sâu đen sẽ khác nhau tùy thuộc vào mức độ nghiêm trọng của sâu răng. Ban đầu không có triệu chứng rõ ràng nhưng các triệu chứng có thể trở nên trầm trọng hơn khi khoang sâu răng ngày càng lớn. Các dấu hiệu của răng cửa bị sâu đen như:
Một điều cần lưu ý rằng, nếu các triệu chứng liên quan đến sâu răng xuất hiện ở khu vực răng cửa thì việc đi khám và điều trị y tế càng sớm là rất quan trọng.

Răng cửa bị sâu đen là do hoạt động của một số loại vi khuẩn sống trong mảng bám răng. Vi khuẩn trong mảng bám có thể chuyển hóa đường trong thức ăn thành axit. Khi mảng bám tích tụ theo thời gian, những axit này có thể bắt đầu làm hỏng răng và tạo nên vết sâu răng đen ở răng cửa. Mọi người đều có nguy cơ gặp phải răng cửa bị sâu đen, nhưng một số người có nguy cơ cao hơn do các yếu tố như sau:

Qua những nguyên nhân trên, cho thấy việc vệ sinh răng miệng tốt là điều quan trọng để ngăn ngừa sâu răng, đặc biệt là ở vị trí răng cửa.
Việc phát hiện và điều trị răng cửa bị sâu đen càng sớm càng tốt trước khi chúng trở nên nghiêm trọng. Sau đây là biện pháp xử lý và phòng ngừa khi mắc phải tình trạng răng cửa bị sâu đen.
Khi điều trị răng cửa bị sâu đen, bác sĩ thường loại bỏ vùng bị sâu trước để tránh lây lan sang các răng khỏe mạnh còn lại. Sau đó, việc điều trị sẽ được thực hiện tùy theo mức độ tổn thương ở răng cửa như sau:
Phương pháp xử lý răng cửa bị sâu đen đòi hỏi phải loại bỏ hoàn toàn tổn thương và không làm ảnh hưởng đến các mô khỏe mạnh. Tuy nhiên, do hình dạng thon dài của răng cửa nên việc xử lý khá phức tạp. Điều này có thể gây khó khăn cho việc phục hồi và đảm bảo vẻ đẹp sau điều trị.
Để ngăn ngừa tình trạng răng cửa bị sâu đen, bạn nên thực hiện các biện pháp sau:
Để ngăn ngừa sâu răng hiệu quả, bạn cần thay đổi chế độ ăn uống và vệ sinh răng miệng hàng ngày càng sớm càng tốt.

Răng cửa bị sâu đen có thể ảnh hưởng đến sức khỏe răng miệng, tác động tiêu cực đến sức khỏe tổng thể, khả năng nhai và tính thẩm mỹ của bạn. Điều trị sâu răng tiến triển rất phức tạp. Vì vậy, để đạt được hiệu quả cao nhất có thể, chúng ta phải tìm cách phòng ngừa và can thiệp sớm trước khi bệnh phát triển. Hy vọng bài viết mang lại thông tin bổ ích cho bạn.
Xem thêm: Sâu răng có di truyền không? Các biện pháp phòng ngừa hiệu quả