Tốt nghiệp Đại học Dược Hà Nội, với hơn 10 năm kinh nghiệm trong lĩnh vực Dược phẩm. Hiện là giảng viên giảng dạy các môn Dược lý, Dược lâm sàng,...
Thị Diểm
22/01/2026
Mặc định
Lớn hơn
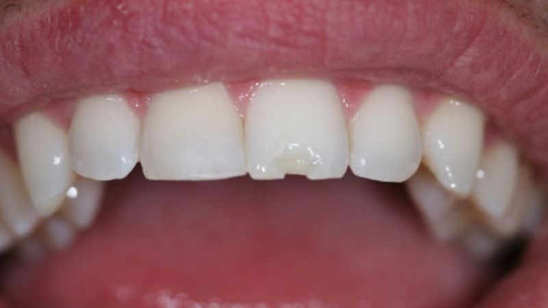
Nếu răng thật có khả năng bị mẻ, răng sứ cũng có thể mắc phải tình trạng tương tự. Cùng tìm hiểu về vấn đề răng sứ bị mẻ trong bài dưới đây.
Bọc răng sứ mang lại một hàm răng với màu sắc và hình dáng tự nhiên giống với răng thật. Tuy nhiên, nếu quá trình thực hiện không tuân thủ đúng kỹ thuật, răng sứ bị mẻ là điều hoàn toàn có thể xảy ra.
Thường thì, một chiếc răng sứ có thể kéo dài tuổi thọ từ 10 đến 20 năm, nhưng theo thời gian sử dụng, răng sứ có khả năng trở nên dễ vỡ và suy giảm chức năng. Tuy nhiên, đối với những trường hợp răng sứ bị vỡ quá sớm, có một số nguyên nhân mà người bệnh cần chú ý
Trong những trường hợp răng sứ bị mẻ ngay sau khi bọc một khoảng thời gian ngắn, thường là do sự thiếu cẩn trọng của người sử dụng khiến cho răng sứ phải đối mặt với áp lực mạnh. Ngay cả với các loại răng sứ chất lượng cao có độ bền chắc vô cùng lớn, chúng vẫn không thể tránh khỏi tác động mạnh từ lực ngoại vi.

Vì thế, nếu bệnh nhân gặp phải tai nạn hoặc chấn thương nặng, nguy cơ vỡ răng sứ là rất cao.
Để đảm bảo chất lượng và tránh tình trạng răng sứ bị vỡ trong thời gian ngắn, điều quan trọng là nên lựa chọn răng sứ nhập khẩu chính hãng với xuất xứ rõ ràng. Điều này giúp đảm bảo người bệnh về độ bền chắc lâu dài.
Để đảm bảo sức khỏe răng miệng cho bệnh nhân, việc thực hiện kỹ thuật bọc răng sứ đòi hỏi sự chuyên nghiệp và kinh nghiệm từ phía đội ngũ bác sĩ và cơ sở nha khoa. Trong trường hợp bác sĩ thiếu kinh nghiệm, có thể dẫn đến tình trạng bọc răng sứ sai cách, gây lệch khớp cắn.
Do đó, việc lựa chọn nha khoa với cơ sở vật chất và trang thiết bị hiện đại, cùng với đội ngũ bác sĩ chuyên nghiệp, sẽ giúp giảm bớt lo lắng về tình trạng răng sứ bị mẻ.
Việc chăm sóc răng miệng hàng ngày đóng vai trò quan trọng và ảnh hưởng trực tiếp đến tuổi thọ của răng sứ, cũng như giảm nguy cơ răng sứ bị vỡ. Khi thực hiện quá trình bọc răng sứ, người bệnh thường dễ mắc các bệnh lý răng miệng nhiều hơn. Do đó, việc chăm sóc răng miệng cần được thực hiện một cách kỹ lưỡng hơn.
Ngoài việc tuân thủ hướng dẫn của bác sĩ về chế độ ăn uống và vệ sinh răng miệng đúng cách, người bệnh cũng cần thực hiện các biện pháp chăm sóc đặc biệt như sử dụng bàn chải răng và chỉ dẫn nước súc miệng phù hợp để giữ cho răng và răng sứ luôn sạch sẽ. Điều này giúp giảm khả năng mắc bệnh và bảo vệ răng sứ khỏi tác động tiêu cực của môi trường miệng.
Răng sứ bị vỡ không chỉ ảnh hưởng đến vẻ ngoại hình của khuôn mặt mà còn mang đến nhiều vấn đề sức khỏe toàn diện cho người bệnh. Một số rủi ro mà bệnh nhân có thể phải đối mặt khi rơi vào tình trạng răng sứ vỡ bao gồm:

Vậy nên, khi phát hiện tình trạng răng sứ bị vỡ, việc đến nha khoa để nhận liệu pháp xử lý giúp bảo vệ sức khỏe toàn diện. Sự lơ là và chủ quan có thể dẫn đến hậu quả không mong muốn. Vì vậy, sự chăm sóc và điều trị kịp thời là chìa khóa để duy trì sức khỏe răng và toàn bộ cơ thể.
Răng sứ có thể bị mẻ do nhiều nguyên nhân khác nhau, tuy nhiên, nguyên nhân chủ yếu thường liên quan đến việc ăn nhai các thực phẩm cứng như xương, vỏ hải sản, hoặc thói quen nhai đá, bật nắp bia. Để tránh tình trạng này, bạn cần tránh nhai các thực phẩm quá cứng và thực hiện các hành động nhai có thể gây áp lực lớn lên răng sứ.
Tật nghiến răng khi ngủ cũng là một trong những nguyên nhân làm cho răng sứ mất hình dạng ban đầu. Để khắc phục tình trạng này, bạn có thể sử dụng máng chống nghiền hoặc tham khảo ý kiến của bác sĩ.

Chăm sóc răng sứ không đúng cách cũng có thể dẫn đến tình trạng mòn và nứt vỡ. Bạn nên đánh răng từ trên xuống, tránh đánh ngang để tránh làm tổn thương cổ răng sứ. Việc chọn bàn chải mềm cũng có giúp tránh làm tổn thương răng sứ.
Điều quan trọng là bạn nên chọn một cơ sở nha khoa uy tín và lựa chọn loại răng sứ chất lượng tốt nhất phù hợp với khả năng tài chính của bạn
Tóm lại, tình trạng răng sứ bị mẻ không chỉ tác động đến thẩm mỹ ngoại hình mà còn gây ra nhiều vấn đề sức khỏe đáng lo ngại. Đừng chủ quan trước những dấu hiệu mẻ răng sứ, hãy đưa ra biện pháp phòng ngừa và điều trị kịp thời để giữ cho nụ cười của bạn luôn tràn đầy sức sống.
Dược sĩ Đại họcNguyễn Thanh Hải
Tốt nghiệp Đại học Dược Hà Nội, với hơn 10 năm kinh nghiệm trong lĩnh vực Dược phẩm. Hiện là giảng viên giảng dạy các môn Dược lý, Dược lâm sàng,...