Dược sĩ Đại học có nhiều năm kinh nghiệm trong việc tư vấn Dược phẩm và hỗ trợ giải đáp thắc mắc về Bệnh học. Hiện đang là giảng viên cho Dược sĩ tại Nhà thuốc Long Châu.
21/06/2023
Mặc định
Lớn hơn
Hiện nay, bệnh răng miệng là một vấn đề sức khỏe phổ biến trên toàn thế giới. Một số bệnh răng miệng phổ biến nhất như sâu răng, viêm lợi, viêm nha chu, lở loét niêm mạc,... Các bệnh này ảnh hưởng đến khả năng ăn uống, nói chuyện, giảm sự tự tin và tác động trực tiếp đến sức khỏe người bệnh.
Để tránh được các bệnh răng miệng này, việc chăm sóc răng miệng hằng ngày, định kỳ kiểm tra và điều trị sớm khi phát hiện các vấn đề sẽ giúp duy trì răng miệng khỏe mạnh.
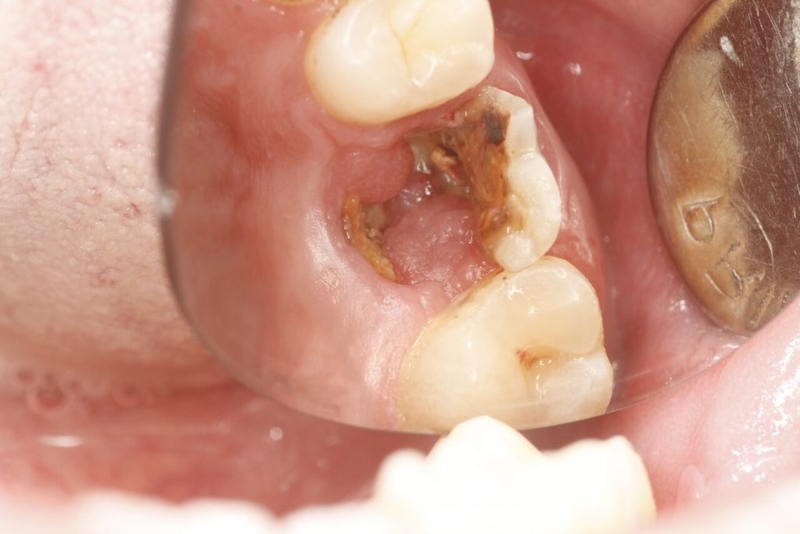
Sâu răng là tình trạng bệnh lý ở răng khi vi khuẩn gây tổn thương và phá hủy cấu trúc của men răng, dẫn đến hình thành lỗ sâu răng và ảnh hưởng đến tủy răng. Nếu không được điều trị kịp thời, sâu răng có thể dẫn đến nhiều vấn đề sức khỏe nghiêm trọng như nhiễm trùng, suy yếu răng, hay thậm chí là mất răng.
Để phòng ngừa sâu răng, bạn cần chăm sóc răng miệng hằng ngày bằng cách đánh răng ít nhất hai lần một ngày, sử dụng kem đánh răng chứa fluoride và sử dụng chỉ nha khoa để làm sạch răng. Bạn nên cắt giảm hoặc tránh ăn các thực phẩm chứa đường, uống nước đóng chai có ga, hạn chế sử dụng thuốc lá, đều đặn đến kiểm tra răng miệng với bác sĩ nha khoa ít nhất hai lần một năm.

Chảy máu chân răng là hiện tượng máu chảy ra từ nướu khi chải răng hoặc khi ăn đồ ăn cứng. Đây là dấu hiệu của viêm nướu, một căn bệnh nha khoa phổ biến do sự tích tụ của vi khuẩn trên bề mặt răng và nướu. Khi vi khuẩn phát triển, chúng tạo thành một lớp mảng bám trên răng và nướu, gây kích thích và gây viêm.
Nếu tình trạng viêm nướu và chảy máu chân răng không được cải thiện sau khi thực hiện các biện pháp chăm sóc răng miệng cơ bản, bạn nên đến gặp bác sĩ nha khoa để được tư vấn và điều trị kịp thời.
Bệnh nha chu là một bệnh lý liên quan đến răng miệng, biểu hiện qua nhiều dấu hiệu khác nhau trên niêm mạc miệng và lợi. Các triệu chứng của bệnh nha chu bao gồm viêm nướu, sưng, đau, chảy máu và thoái hóa nướu. Nếu không được điều trị kịp thời, bệnh có thể lan rộng đến các mô xung quanh và dẫn đến mất răng.
Nguyên nhân chính của bệnh nha chu là do sự tích tụ của vi khuẩn trên bề mặt răng và nướu, khiến cho nướu bị kích thích và viêm. Tuy nhiên, các yếu tố khác cũng có thể ảnh hưởng đến sự phát triển của bệnh này như hút thuốc lá, tiền sử bệnh lý về răng miệng, stress và di truyền.

Viêm tủy răng là một căn bệnh lý khá phổ biến ở răng, khi vi khuẩn xâm nhập vào bên trong răng và gây nhiễm trùng tủy răng. Triệu chứng của viêm tủy răng bao gồm đau răng, tiết dịch mủ hoặc máu chảy ra từ răng và sưng ở vùng quanh răng.
Nguyên nhân chính của viêm tủy răng là do vi khuẩn xâm nhập qua các lỗ hổng trên men răng, ví dụ như mảng bám và sâu răng. Nếu không được điều trị kịp thời, viêm tủy răng có thể lan rộng đến các mô xung quanh và gây ra các vấn đề nghiêm trọng như nhiễm trùng, suy yếu răng và thậm chí là mất răng.
Để điều trị viêm tủy răng, bạn nên đến gặp bác sĩ nha khoa để được khám và xác định mức độ của bệnh lý. Trong nhiều trường hợp, bác sĩ sẽ chỉ định điều trị bằng cách loại bỏ tủy răng, sau đó tùy theo trường hợp mà bác sĩ nha khoa sẽ thực hiện các phương pháp điều trị khác nhau.
Viêm tuyến nước bọt là một bệnh lý thường gặp ở các tuyến nước bọt. Bệnh này thường do nhiễm trùng vi khuẩn, gây ra sưng đau, đỏ và nóng ở vùng tuyến nước bọt.
Nguyên nhân của viêm tuyến nước bọt có thể là do vi khuẩn xâm nhập vào các tuyến nước bọt. Ngoài ra, cũng có thể do các tác nhân khác như viêm nhiễm răng lợi, chăm sóc răng miệng không đúng cách,...
Để điều trị viêm tuyến nước bọt, người bệnh thường được chỉ định sử dụng kháng sinh để tiêu diệt vi khuẩn gây ra bệnh. Ngoài ra, cũng có thể sử dụng nhiều biện pháp khác như sử dụng nước muối để làm sạch miệng và uống thuốc giảm đau.
Lở loét miệng còn được gọi là viêm loét miệng, đây là tình trạng phổ biến khiến cho vùng miệng bị đau và khó chịu. Lở loét miệng thường xuất hiện ở vùng niêm mạc trong miệng, bao gồm môi, nướu, lưỡi và họng. Triệu chứng của lở loét miệng bao gồm các vết loét trên niêm mạc miệng, đau và khó chịu khi ăn uống hay nói chuyện.
Nguyên nhân phổ biến của lở loét miệng bao gồm stress, chấn thương, tiếp xúc hóa chất, chế độ ăn uống không khoa học, vi khuẩn. Một số bệnh lý nghiêm trọng khác có thể cũng gây ra lở loét miệng, ví dụ như viêm ruột, bệnh lý tự miễn dịch, hoặc ung thư.
Để giúp giảm thiểu tình trạng đau rát khi bị lở loét miệng, bạn có thể tham khảo sử dụng chai xịt Urgo Spray Lesions Buccales. Sản phẩm này sẽ giúp giảm đau nhanh chóng và còn có hiệu quả trong việc phòng ngừa các bệnh liên quan đến niêm mạc, tổn thương niêm mạc vùng hầu họng. Bình xịt có thiết kế vòi phun nên dễ dàng di chuyển, tiếp cận đến các vết thương nằm sâu bên trong hầu họng.
Urgo Spray Lesions Buccales dạng xịt, dùng cho vết thương ở miệng giàu tính cải tiến. Nhờ các đặc tính tạo màng và giữ ẩm, sản phẩm hỗ trợ bảo vệ các tế bào biểu bì của niêm mạc, giúp duy trì trạng thái giàu dinh dưỡng nhằm gián tiếp thúc đẩy quá trình tái tạo tế bào niêm mạc tổn thương.

Các bệnh răng miệng hiện nay không còn xa lạ mà thậm chí trở nên phổ biến, trở thành một “báo động đỏ” về sức khỏe của răng miệng. Do đó, mỗi người nên chủ động trong việc chăm sóc răng miệng. Bên cạnh việc vệ sinh răng miệng, bạn cũng đừng quên thăm khám răng định kỳ để kiểm tra tình trạng sức khỏe răng miệng, kịp thời phát hiện những vấn đề bất thường của răng miệng.
Hoàng Trang
Nguồn tham khảo: Tổng hợp
Dược sĩ Đại họcNguyễn Mỹ Huyền
Dược sĩ Đại học có nhiều năm kinh nghiệm trong việc tư vấn Dược phẩm và hỗ trợ giải đáp thắc mắc về Bệnh học. Hiện đang là giảng viên cho Dược sĩ tại Nhà thuốc Long Châu.