Tốt nghiệp Đại học Dược Hà Nội, với hơn 10 năm kinh nghiệm trong lĩnh vực Dược phẩm. Hiện là giảng viên giảng dạy các môn Dược lý, Dược lâm sàng,...
Thị Diểm
22/01/2026
Mặc định
Lớn hơn
Tháo vít niềng răng có đau không? Lúc nào được tháo vít niềng răng? Bài viết này, Long Châu sẽ giúp các đồng niềng hiểu rõ hơn về vấn đề này nhé.
Tháo vít niềng răng có đau không nhỉ? Quá trình tháo vít niềng răng không mang đến cảm giác đau hoặc khó chịu như nhiều người thường nghĩ. Đặc biệt, trước khi thực hiện quá trình này, bác sĩ sẽ tiến hành gây tê cục bộ, giúp bạn không cảm nhận bất kỳ đau đớn nào. Đọc ngay bài viết dưới đây để có thêm nhiều thông tin hữu ích về vấn đề tháo vít niềng răng nhé.
Tháo vít niềng răng có đau không và thời gian tháo vít là bao lâu? Tháo vít phụ thuộc vào thời gian cụ thể mà bác sĩ nha khoa đã chỉ định cho mỗi bệnh nhân. Tuy nhiên, thông thường, sau khi vít đã hoàn thành tác dụng của mình và các khoảng trống do nhổ răng đã được điều chỉnh đầy đủ, bác sĩ sẽ tiến hành quá trình tháo vít.

Sử dụng vít khi đeo nẹp răng giúp rút ngắn thời gian điều chỉnh răng một cách hiệu quả. Trung bình, một liệu pháp niềng răng có thể kéo dài từ 18 đến 36 tháng, nhưng với sự hỗ trợ của vít cắm, thời gian này có thể được rút ngắn xuống chỉ 1 - 2 năm.
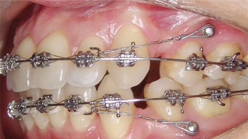
Sau khoảng 3 - 6 tháng đeo mắc cài, dựa vào tình trạng cụ thể của răng và mức độ sai lệch khớp cắn, bác sĩ có thể quyết định cắm vít hỗ trợ vào xương hàm. Thủ thuật này đơn giản và không tạo ra nhiều ảnh hưởng xâm lấn, giúp nâng cao khả năng thành công và giảm thời gian điều chỉnh răng. Vậy, tháo vít niềng răng có đau không? Tiếp tục tìm hiểu với Nhà thuốc Long Châu nhé.
Tháo vít niềng răng có đau không chắc hẳn là vấn đề được rất nhiều đồng niềng quan tâm. Thường thì quá trình tháo vít niềng răng không gây đau đớn, nhờ vào sự hỗ trợ của các loại thuốc gây tê hiện đại và công nghệ máy móc tiên tiến. Sau khi tháo vít, bạn có thể tiếp tục sinh hoạt bình thường mà không gặp phải ảnh hưởng lớn.
Mặc dù có thể có cảm giác đau khi thuốc tê đã hết tác dụng, nhưng mức độ đau này thường phụ thuộc vào cơ địa và kỹ thuật của bác sĩ. Bác sĩ có kỹ thuật tốt và chuyên nghiệp sẽ giúp giảm thiểu mức độ đau.

Chọn lựa một cơ sở niềng răng uy tín là điều rất quan trọng giúp tránh tình trạng đau do kỹ thuật thấp, máy móc cũ kỹ. Các cơ sở niềng răng uy tín thường sử dụng thiết bị hiện đại và có đội ngũ bác sĩ chuyên nghiệp.
Nếu xương hàm của bạn mềm mại hơn, thì quá trình tháo vít có thể ít đau đớn hơn so với những người có xương hàm cứng. Bác sĩ sẽ kê đơn thuốc giảm đau và chống viêm sau quá trình tháo vít, bạn nên tuân thủ theo các chỉ định của bác sĩ để quá trình lành vết thương được diễn ra nhanh chóng.
Sau khi tìm hiểu tháo vít niềng răng có đau không, chúng ta sẽ cùng tìm hiểu những lưu ý cần biết sau khi tháo vít.
Sau khi tháo vít niềng răng, một lỗ nhỏ sẽ xuất hiện trong xương hàm. Để nhanh chóng phục hồi, hãy chú ý đến các điều sau:

Long Châu hy vọng rằng thông qua những chia sẻ trên, bạn đã có cái nhìn rõ ràng về vấn đề liệu tháo vít niềng răng có đau không. Thực tế, đây chỉ là một thủ thuật đơn giản, được sử dụng rộng rãi trong lĩnh vực chỉnh nha, với quá trình thực hiện diễn ra nhanh chóng.
Bạn có thể đã quen với cảm giác đau và khó chịu trong một số thời điểm sau thời gian thực hiện niềng răng, nên việc tháo vít có vẻ không gây ra nhiều phiền toái. Hãy theo dõi Long Châu để có thêm nhiều kiến thức bổ ích hơn nhé.
Dược sĩ Đại họcNguyễn Thanh Hải
Tốt nghiệp Đại học Dược Hà Nội, với hơn 10 năm kinh nghiệm trong lĩnh vực Dược phẩm. Hiện là giảng viên giảng dạy các môn Dược lý, Dược lâm sàng,...