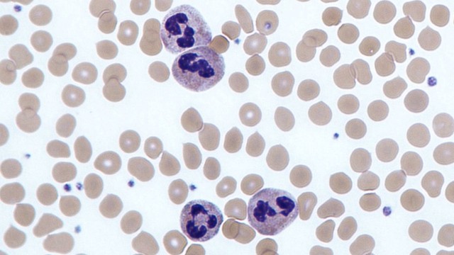
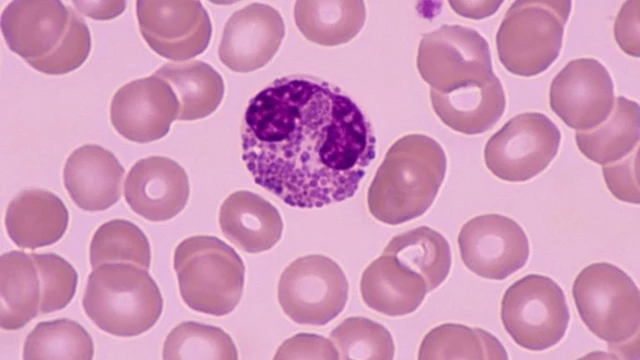
:format(webp)/bach_cau_ua_axit_la_gi_chuc_nang_cua_bach_cau_ua_axit_bbbc2ef044.jpg)
Bạch cầu là một trong những loại tế bào máu đóng vai trò quan trọng trong việc bảo vệ cơ thể chống lại các mầm bệnh. Trong hệ thống bạch huyết, bạch cầu ái toan hay còn được gọi là bạch cầu ưa axit, là một nhóm tế bào cụ thể với nhiều chức năng quan trọng.
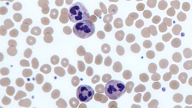
:format(webp)/bach_cau_trung_tinh_giam_nguyen_nhan_va_cach_dieu_tri_686de239ea.jpg)
Khi bạch cầu trung tính giảm, cơ thể giảm khả năng chống lại trước các vi khuẩn và nhiễm trùng gây bệnh lý nghiêm trọng. Vì sao bạch cầu trung tính giảm và làm thế nào chúng ta có thể điều trị tình trạng này một cách hiệu quả?
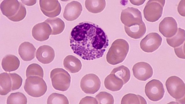
:format(webp)/dau_hieu_benh_bach_cau_trong_giai_doan_dau_tien_cua_benh_1_fcca1283a8.jpg)
Bệnh bạch cầu là một loại ung thư máu phức tạp, thường không biểu hiện triệu chứng rõ ràng, đặc biệt trong giai đoạn ban đầu. Những biểu hiện đầu tiên có thể dễ bị nhầm lẫn với các vấn đề sức khỏe khác. Hãy cùng tìm hiểu về những dấu hiệu quan trọng trong giai đoạn đầu tiên của bệnh bạch cầu.
:format(webp)/benh_bach_cau_cap_dong_tuy_song_duoc_bao_lau_4ed644d472.jpg)
Bệnh bạch cầu cấp dòng tủy sống là một loại ung thư máu, gây đe dọa đến tiên lượng thời gian sống của bệnh nhân. Vậy bệnh bạch cầu cấp dòng tủy sống được bao lâu?
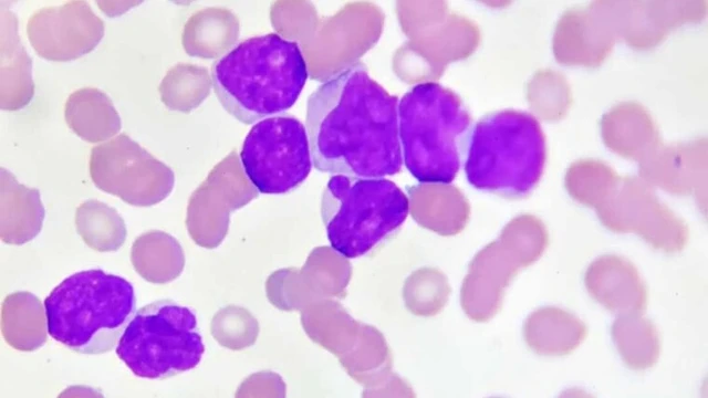
:format(webp)/bach_cau_da_nhan_trung_tinh_gay_ra_van_de_suc_khoe_nao_2_a2c1185d90.jpg)
Hệ thống miễn dịch của cơ thể chịu trách nhiệm bảo vệ chúng ta khỏi các tác nhân gây bệnh, và bạch cầu đa nhân trung tính đóng vai trò quan trọng trong quá trình này. Khi chúng bị ảnh hưởng bởi các yếu tố bên ngoài hoặc bệnh lý nội tiết, sức khỏe của cơ thể có thể bị ảnh hưởng.
:format(webp)/hoi_chung_roi_loan_sinh_tuy_3_27ddce02a6.jpg)
Trong cơ thể con người, tủy xương là mô xốp nằm bên trong một số xương của cơ thể, bao gồm xương hông và xương đùi. Tủy xương của cơ thể là nơi tạo ra các loại tế bào máu trong đó bao gồm bạch cầu, hồng cầu và tiểu cầu. Việc rối loạn chức năng của tủy xương sẽ gây ra một loạt các triệu chứng cũng như các bệnh lý nguy hiểm khác. Trong đó được nhắc đến là hội chứng rối loạn sinh tủy gây ra một loạt các rối loạn do tế bào máu không được hình thành hoặc không hoạt động.
:format(webp)/UT_tuy_1_69a3f88f76.jpeg)
Ung thư tủy (ung thư tuỷ xương) gây ra cho người bệnh các triệu chứng khác nhau tùy thuộc vào từng loại ung thư cụ thể. Bác sĩ chuyên khoa ung bướu sẽ chẩn đoán loại ung thư mà bạn bị mắc phải, đồng thời cung cấp cho bạn thông tin về các phương pháp điều trị cụ thể.
:format(webp)/dieu_tri_hoi_chung_roi_loan_sinh_tuy_BF_Pb_Z_1658924646_f2448e30f9.png)
Hội chứng rối loạn sinh tủy thường xuất hiện ở cả nam và nữ, hầu hết trên khắp thế giới. Hiện nay chưa có một loại thuốc hay phương pháp chữa trị nào đặc hiệu. Bài viết này, nhà thuốc Long Châu chúng tôi xin cung cấp một số thông tin liên quan đến điều trị hội chứng rối loạn sinh tủy.
:format(webp)/hoi_chung_li_fraumeni_lfs_U_Sy_LZ_1658295907_ac14a21e01.jpg)
Sau đây chúng tôi xin chia sẻ về hội chứng Li-Fraumeni (LFS) một cách chi tiết nhất để bạn có thể hiểu rõ thêm về căn bệnh này. Mời bạn cùng tham khảo qua bài viết trên dưới đây của chúng tôi.