Tốt nghiệp loại giỏi trường Đại học Y Dược Huế. Từng tham gia nghiên cứu khoa học đề tài về Dược liệu. Nhiều năm kinh nghiệm làm việc trong lĩnh vực Dược phẩm. Hiện đang là giảng viên cho Dược sĩ tại Nhà thuốc Long Châu.
Thanh Tâm
02/12/2023
Mặc định
Lớn hơn
Hệ thống miễn dịch của cơ thể chịu trách nhiệm bảo vệ chúng ta khỏi các tác nhân gây bệnh, và bạch cầu đa nhân trung tính đóng vai trò quan trọng trong quá trình này. Khi chúng bị ảnh hưởng bởi các yếu tố bên ngoài hoặc bệnh lý nội tiết, sức khỏe của cơ thể có thể bị ảnh hưởng.
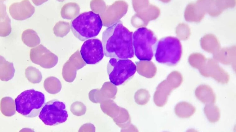
Bạch cầu đa nhân trung tính hay còn được gọi là bạch cầu trung tính, là một phần quan trọng của hệ thống miễn dịch của cơ thể. Chúng có vai trò quan trọng trong việc bảo vệ cơ thể khỏi các tác nhân gây bệnh như vi khuẩn và nhiễm trùng. Tuy nhiên, khi lượng bạch cầu trung tính giảm hoặc tăng bất thường, điều này có thể gây ra một loạt vấn đề sức khỏe nghiêm trọng.
Bạch cầu là một thành phần cực kỳ quan trọng trong máu như tiểu cầu và hồng cầu và đóng vai trò chính trong việc bảo vệ cơ thể khỏi sự xâm nhập của vi khuẩn và vi rút gây hại. Bạch cầu đa nhân trung tính còn gọi là Neutrophil, là một dạng quan trọng của bạch cầu và tham gia chặt chẽ trong quá trình bảo vệ sức khỏe bằng cách ngăn ngừa sự xâm nhập của vi khuẩn gây hại.

Nghiên cứu cho thấy rằng có nhiều loại bạch cầu tồn tại trong cơ thể nhưng bạch cầu trung tính chiếm một tỷ lệ lớn. Thống kê cho biết rằng bạch cầu đa nhân trung tính thường chiếm khoảng 40 - 76% tổng số lượng bạch cầu trong cơ thể, vì vậy chúng được coi là một dạng phổ biến và quan trọng. Vai trò quan trọng của bạch cầu đa nhân trung tính là đảm bảo hệ thống miễn dịch có khả năng đối phó với nhiều loại nhiễm trùng khác nhau và giữ cho cơ thể khỏi bệnh. Cho thấy tầm quan trọng của việc duy trì lượng bạch cầu ổn định trong cơ thể.
Số lượng bạch cầu trung tính trong cơ thể chiếm tỷ lệ lớn và đóng vai trò quan trọng trong hệ thống miễn dịch của chúng ta. Sự biến đổi trong số lượng bạch cầu trung tính có thể ảnh hưởng đáng kể đến sức khỏe. Hiện nay, giảm bạch cầu đa nhân trung tính là một vấn đề phổ biến gặp trong lĩnh vực y tế và nó có thể làm nhiều bệnh nhân trở nên lo lắng.
Việc giảm bạch cầu đa nhân trung tính trong máu có thể có nhiều tác động đối với sức khỏe. Với số lượng thấp hơn 2000/μl, có thể xem đó là một ngưỡng cảnh báo. Giảm bạch cầu trung tính đang diễn ra có thể dẫn đến tình trạng suy giảm hệ miễn dịch, khiến cơ thể dễ bị tấn công bởi vi khuẩn, nấm, hoặc các tác nhân gây bệnh khác. Cụ thể, điều này có thể dẫn đến các triệu chứng và tình trạng sau:
Nhiễm trùng: Tăng nguy cơ bị nhiễm trùng do vi khuẩn và nấm, bao gồm cả các nhiễm trùng nặng như sốt xuất huyết. Các triệu chứng thường bao gồm sốt, nổi mề đay, thay đổi nhiệt độ cơ thể.
Ớn lạnh: Sự giảm thiểu bạch cầu trung tính có thể làm cho cơ thể mất khả năng duy trì nhiệt độ bình thường, dẫn đến cảm giác ớn lạnh và sưng toàn bộ cơ thể.
Tăng nguy cơ bệnh: Bạch cầu đa nhân trung tính cũng tham gia vào việc ngăn chặn các loại bệnh như các dạng vi khuẩn và nấm. Do đó, giảm số lượng chúng có thể dẫn đến tăng nguy cơ mắc các loại bệnh này.

Các nguyên nhân có thể gây ra giảm bạch cầu đa nhân trung tính bao gồm:
Vấn đề về tủy xương: Nếu tủy xương của bạn gặp vấn đề, chẳng hạn như suy tủy xương, bạch cầu đa nhân trung tính sẽ bị ảnh hưởng.
Bệnh nhiễm trùng: Một số bệnh nhiễm trùng cụ thể như sốt xuất huyết có thể dẫn đến giảm bạch cầu trung tính.
Chế độ ăn uống và dinh dưỡng: Thiếu vitamin và khoáng chất như vitamin B12 và folate có thể gây giảm bạch cầu đa nhân trung tính. Chính vì vậy, một chế độ ăn uống lành mạnh và cân đối là rất quan trọng.
Nếu bạn gặp các triệu chứng hoặc lo lắng về giảm bạch cầu đa nhân trung tính, hãy thảo luận với bác sĩ để tìm hiểu nguyên nhân và phương pháp điều trị phù hợp. Việc chăm sóc sức khỏe và duy trì một chế độ ăn uống lành mạnh là cách tốt nhất để đảm bảo lượng bạch cầu trung tính trong máu ở mức ổn định.
Một trong những vấn đề quan trọng liên quan đến bạch cầu đa nhân trung tính là các dạng bệnh giảm bạch cầu trung tính thường gặp.
Bệnh bẩm sinh (Kostmann): Đây là loại bệnh giảm bạch cầu đa nhân trung tính xuất hiện từ khi mới sinh. Trẻ em mắc phải bệnh Kostmann có nguy cơ cao bị nhiễm trùng, và nếu không chăm sóc và điều trị kịp thời, sức khỏe của họ có thể bị đe dọa nghiêm trọng.
Bệnh xảy ra theo chu kỳ: Một dạng bệnh giảm bạch cầu đa nhân trung tính khá đặc biệt là nó xuất hiện theo chu kỳ xảy ra trong khoảng 21 ngày. Điều này có nghĩa là bạch cầu đa nhân trung tính của bệnh nhân giảm sút đột ngột sau một chu kỳ thời gian, rồi phục hồi sau một thời gian ngắn.
Bệnh giảm bạch cầu đa nhân trung tính tự miễn dịch: Loại bệnh này có nguồn gốc từ hệ thống miễn dịch tấn công chính bạch cầu đa nhân trung tính. Điều này dẫn đến giảm bạch cầu và nguy cơ nhiễm trùng cao.
Bệnh giảm bạch cầu đa nhân trung tính vô căn: Dạng bệnh này không có nguyên nhân rõ ràng. Bạch cầu đa nhân trung tính bị giảm mà không có lý do. Đây thường là một thách thức trong việc chẩn đoán và điều trị.

Việc xác định đúng nguyên nhân của bệnh giúp bạn và bác sĩ xác định phương pháp điều trị phù hợp nhất. Mỗi dạng bệnh có đặc điểm riêng và đòi hỏi quan tâm đặc biệt để đảm bảo sức khỏe và chất lượng cuộc sống tốt nhất cho bệnh nhân.
Như vậy, bạch cầu đa nhân trung tính không chỉ đóng vai trò quan trọng giúp bảo vệ cơ thể khỏi các tác nhân gây bệnh. Sự biến đổi trong lượng bạch cầu trung tính có thể gây ra nhiều vấn đề sức khỏe, từ giảm khả năng miễn dịch dẫn đến nhiễm trùng cho đến các bệnh lý nội tiết nghiêm trọng. Việc theo dõi và quản lý tình trạng này là quan trọng để đảm bảo sức khỏe tổng thể của chúng ta và đối phó với các vấn đề sức khỏe có thể phát sinh do giảm bạch cầu trung tính.
Xem thêm:
Dược sĩ Đại họcNgô Kim Thúy
Tốt nghiệp loại giỏi trường Đại học Y Dược Huế. Từng tham gia nghiên cứu khoa học đề tài về Dược liệu. Nhiều năm kinh nghiệm làm việc trong lĩnh vực Dược phẩm. Hiện đang là giảng viên cho Dược sĩ tại Nhà thuốc Long Châu.