Hoàn thành chương trình Thạc sĩ Y học cổ truyền tại Học viện Y dược học cổ truyền Việt Nam. Có nhiều năm kinh nghiệm làm việc trong lĩnh vực Cơ - Xương - Khớp và lĩnh vực Xét nghiệm.
:format(webp)/hoi_chung_roi_loan_sinh_tuy_3_27ddce02a6.jpg)
:format(webp)/hoi_chung_roi_loan_sinh_tuy_3_27ddce02a6.jpg)
Thạc sĩ - Bác sĩTrần Thị Mỹ Linh
Hoàn thành chương trình Thạc sĩ Y học cổ truyền tại Học viện Y dược học cổ truyền Việt Nam. Có nhiều năm kinh nghiệm làm việc trong lĩnh vực Cơ - Xương - Khớp và lĩnh vực Xét nghiệm.
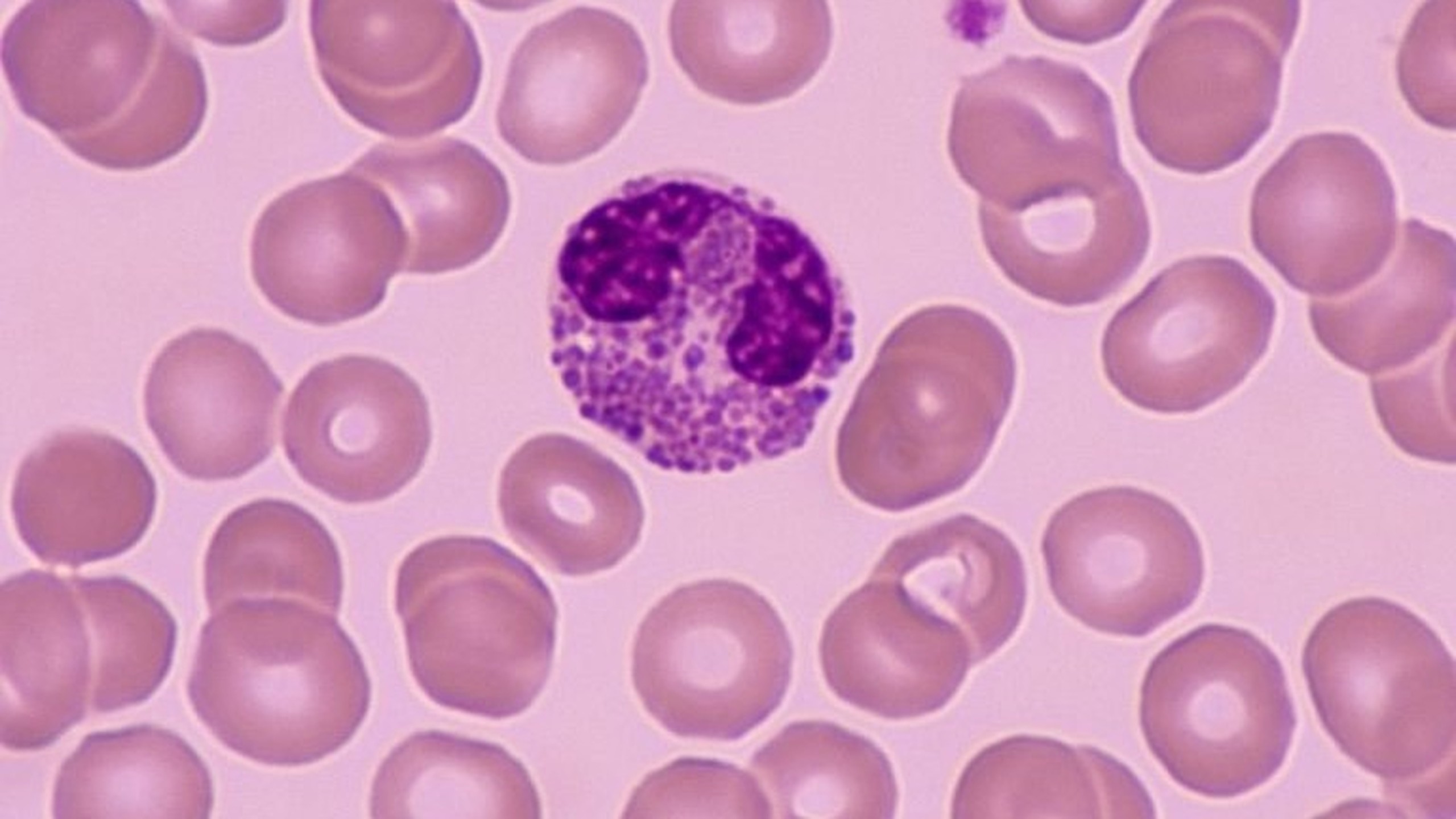
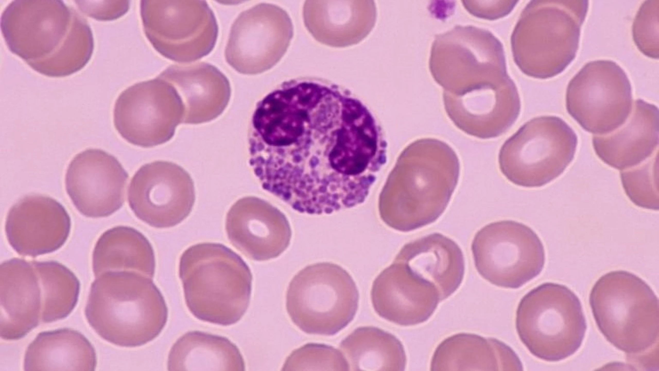
Trong cơ thể con người, tủy xương là mô xốp nằm bên trong một số xương của cơ thể, bao gồm xương hông và xương đùi. Tủy xương của cơ thể là nơi tạo ra các loại tế bào máu trong đó bao gồm bạch cầu, hồng cầu và tiểu cầu. Việc rối loạn chức năng của tủy xương sẽ gây ra một loạt các triệu chứng cũng như các bệnh lý nguy hiểm khác. Trong đó được nhắc đến là hội chứng rối loạn sinh tủy gây ra một loạt các rối loạn do tế bào máu không được hình thành hoặc không hoạt động.
Hội chứng rối loạn sinh tủy (còn gọi là bệnh loạn sản tủy) được gọi tắt là bệnh MDS. Hội chứng rối loạn sinh tủy là những tình trạng có thể xảy ra khi các tế bào máu trong tủy xương trở nên bất thường và gây ra các rối loạn khác trong cơ thể do ảnh hưởng đến sự tăng sinh tế bào của một hay nhiều dòng tế bào của máu ngoại vi. Đặc trưng bởi giảm 1, 2 hoặc 3 dòng tế bào máu (hồng cầu, tiểu cầu, bạch cầu), gây rối loạn tạo máu trong tủy xương (các tế bào đầu dòng tạo máu có hình dạng bất thường), là giai đoạn tiền ung thư máu. Trong giai đoạn đầu, một số loại rối loạn sinh tủy có thể ở mức độ nhẹ trong nhiều năm và cũng có những loại khác thì nghiêm trọng hơn.
Tổ chức Y tế Thế giới đã phân chia hội chứng rối loạn sinh tủy thành các phân nhóm dựa trên các loại tế bào máu: Hồng cầu, bạch cầu, tiểu cầu. Các phân loại có thể kể đến bao gồm:
:format(webp)/MAU_HOICHUNGROILOANSINHTUY_CAROUSEL_240524_1_V1_e242a273e2.png)
:format(webp)/MAU_HOICHUNGROILOANSINHTUY_CAROUSEL_240524_2_V1_db48768d0a.png)
:format(webp)/MAU_HOICHUNGROILOANSINHTUY_CAROUSEL_240524_3_V1_00dcfa4408.png)
:format(webp)/MAU_HOICHUNGROILOANSINHTUY_CAROUSEL_240524_4_V1_915e3b5422.png)
:format(webp)/MAU_HOICHUNGROILOANSINHTUY_CAROUSEL_240524_6_V1_46057f9327.png)
:format(webp)/MAU_HOICHUNGROILOANSINHTUY_CAROUSEL_240524_5_V1_48b2a5bbbf.png)
:format(webp)/MAU_HOICHUNGROILOANSINHTUY_CAROUSEL_240524_7_V1_c6a7b14946.png)
:format(webp)/MAU_HOICHUNGROILOANSINHTUY_CAROUSEL_240524_1_V1_e242a273e2.png)
:format(webp)/MAU_HOICHUNGROILOANSINHTUY_CAROUSEL_240524_2_V1_db48768d0a.png)
:format(webp)/MAU_HOICHUNGROILOANSINHTUY_CAROUSEL_240524_3_V1_00dcfa4408.png)
:format(webp)/MAU_HOICHUNGROILOANSINHTUY_CAROUSEL_240524_4_V1_915e3b5422.png)
:format(webp)/MAU_HOICHUNGROILOANSINHTUY_CAROUSEL_240524_6_V1_46057f9327.png)
:format(webp)/MAU_HOICHUNGROILOANSINHTUY_CAROUSEL_240524_5_V1_48b2a5bbbf.png)
:format(webp)/MAU_HOICHUNGROILOANSINHTUY_CAROUSEL_240524_7_V1_c6a7b14946.png)
Bệnh nhân mắc hội chứng rối loạn sinh tủy có thể không có triệu chứng lâm sàng trong nhiều năm và được phát hiện tình cờ về tình trạng giảm tế bào máu thông qua các xét nghiệm thông thường. Những triệu chứng xảy ra có thể diễn tiến từ từ và tiến triển theo thời gian nên người bệnh có thể bỏ sót, dẫn đến lúc được chẩn đoán thì bệnh đã tiến triển nặng hơn. Ở giai đoạn sau, lượng tế bào máu thấp gây ra các triệu chứng khác nhau tùy thuộc vào loại tế bào liên quan. Các triệu chứng có thể xảy ra liên quan đến giảm các tế bào máu như:
Tế bào hồng cầu
Khi số lượng hồng cầu trong máu ở mức thấp được gọi là thiếu máu. Đây là nguyên nhân phổ biến nhất gây ra các triệu chứng của hội chứng rối loạn sinh tủy, bao gồm:
Tế bào bạch cầu
Bạch cầu có nhiệm vụ giúp cơ thể chống lại nhiễm trùng. Số lượng bạch cầu thấp có liên quan đến các triệu chứng nhiễm trùng do các vi khuẩn khác nhau gây ra tùy thuộc vào nơi xảy ra nhiễm trùng. Triệu chứng thông thường khi nhiễm trùng người bệnh sẽ có biểu hiện sốt. Các vị trí nhiễm trùng phổ biến có thể kể đến như:
Tế bào tiểu cầu
Tiểu cầu có chức năng liên quan đến hình thành cục máu đông và chảy máu trong cơ thể. Khi số lượng tiểu cầu thấp gọi là giảm tiểu cầu, có thể gây ra triệu chứng như: Dễ bị bầm tím, các đốm xuất huyết hoặc chảy máu khó cầm…
Những người mắc hội chứng rối loạn sinh tủy có thể gặp các biến chứng nguy hiểm như:

Nên đến gặp bác sĩ khi:
Nếu có bất kỳ triệu chứng nào nêu trên xảy ra, bạn nên liên hệ với bác sĩ để được kiểm tra và tư vấn. Việc chẩn đoán và điều trị sớm sẽ giảm nguy cơ diễn tiến nặng của bệnh cũng như hạn chế các biến chứng của bệnh.
Hiện nay, một số trường hợp mắc hội chứng rối loạn sinh tủy (MDS) có liên quan đến các yếu tố nguy cơ, nhưng hầu hết đều không rõ nguyên nhân gây ra bệnh. Có thể chia làm hai nhóm nguy cơ chính là liên quan đến di truyền và nhóm liên quan đến môi trường.
Di truyền
Thông thường, cần có đột biến ở một số gen khác nhau bên trong tế bào tủy xương trước khi một người phát triển MDS. Một số đột biến thường thấy nhất trong các tế bào MDS bao gồm những đột biến ở các gen DNMT3A, TET2, ASXL1, TP53, RUNX1, SRSF2 và SF3B1. Một số thay đổi về gen này có thể được di truyền từ cha mẹ, nhưng chúng thường xảy ra trong suốt cuộc đời của một người.
Các nhà nghiên cứu đã tìm thấy những thay đổi gen gây ra một số hội chứng di truyền hiếm gặp (như rối loạn tiểu cầu gia đình có xu hướng mắc bệnh ác tính dòng tủy) có liên quan đến việc tăng nguy cơ phát triển MDS. Hội chứng này xảy ra do những thay đổi di truyền trong gen RUNX1. Thông thường, gen này giúp kiểm soát sự phát triển của tế bào máu. Những thay đổi trong gen này có thể dẫn đến các tế bào máu không trưởng thành như bình thường, điều này có thể làm tăng nguy cơ phát triển MDS.
Yếu tố môi trường
Một số phơi nhiễm bên ngoài có thể dẫn đến MDS bằng cách làm hỏng DNA bên trong tế bào tủy xương. Ví dụ như:

Tóm lại, có thể nói những thay đổi gen bên trong tế bào có thể tích tụ trong suốt cuộc đời của một người, điều này có thể giúp giải thích tại sao MDS ảnh hưởng phần lớn đến người già.
Hội chứng rối loạn sinh tủy không phải là ung thư máu. Hội chứng này có thể làm tăng tiểu cầu hoặc tăng bạch cầu mạn tính, dẫn đến sự phát triển của các dạng ung thư máu nếu không được kiểm soát. Tuy nhiên, không phải tất cả các hội chứng rối loạn sinh tủy đều chuyển thành ung thư. Một số có thể là những bệnh lý lành tính hoặc mạn tính, nhưng vẫn cần theo dõi và điều trị để giảm nguy cơ tiến triển thành các bệnh ác tính.
Tỷ lệ mắc hội chứng rối loạn sinh tủy sẽ tăng theo tuổi, thường gặp ở người trên 65 tuổi. Một số rối loạn tủy xương, như bệnh đa u tủy hoặc tăng sinh tủy, có thể bắt đầu ở người trưởng thành, thường từ tuổi trung niên trở lên.
Hội chứng rối loạn sinh tủy có thể gây:
Hội chứng rối loạn sinh tủy không phải lúc nào cũng di truyền. Hội chứng này có thể do gen và ảnh hưởng của yếu tố bên ngoài. Một số đột biến gen thường liên quan đến hội chứng này bao gồm TP53, RUNX1, ASXL1, TET2, đóng vai trò quan trọng trong sự phát triển và chức năng của tế bào máu.
Xem thêm thông tin: Nguyên nhân gây hội chứng rối loạn sinh tủy (MDS) là gì?
Hội chứng rối loạn sinh tủy cần điều trị khi:
Xem thêm thông tin: Điều trị hội chứng rối loạn sinh tủy
:format(webp)/infographic_co_gi_trong_thanh_phan_mau_db8af80023.png)
Có gì trong thành phần máu?
Sống cùng hội chứng rối loạn sinh tủy (MSD)
Tiểu cầu là gì?
:format(webp)/infographic_co_gi_trong_thanh_phan_mau_db8af80023.png)
Có gì trong thành phần máu?
Sống cùng hội chứng rối loạn sinh tủy (MSD)
Tiểu cầu là gì?
Hỏi đáp (0 bình luận)