Tốt nghiệp loại giỏi trường Đại học Y Dược Huế. Từng tham gia nghiên cứu khoa học đề tài về Dược liệu. Nhiều năm kinh nghiệm làm việc trong lĩnh vực Dược phẩm. Hiện đang là giảng viên cho Dược sĩ tại Nhà thuốc Long Châu.
Thanh Tâm
02/12/2023
Mặc định
Lớn hơn
Bạch cầu là một trong những loại tế bào máu đóng vai trò quan trọng trong việc bảo vệ cơ thể chống lại các mầm bệnh. Trong hệ thống bạch huyết, bạch cầu ái toan hay còn được gọi là bạch cầu ưa axit, là một nhóm tế bào cụ thể với nhiều chức năng quan trọng.
Trong cơ thể con người, bạch cầu đóng một vai trò quan trọng trong việc bảo vệ khỏi các tác nhân gây bệnh như ký sinh trùng, vi khuẩn, và nhiều tác nhân khác. Tuy nhiên, không phải tất cả bạch cầu đều giống nhau. Vậy bạch cầu ưa axit là gì? Chức năng của bạch cầu ưa axit?
Bạch cầu hay tế bào bạch cầu, là một loại tế bào máu có vai trò quan trọng trong hệ thống miễn dịch của cơ thể chúng ta. Chúng được tạo ra từ tủy xương và tồn tại không chỉ trong máu mà còn trong bạch huyết, các cơ quan bạch huyết, và nhiều mô liên quan khác. Tên gọi "bạch cầu" xuất phát từ quá trình ly tâm các mẫu máu, trong đó lớp màu đỏ tương ứng với hồng cầu, lớp trong suốt tương ứng với huyết tương, và lớp trung gian màu trắng tương ứng với bạch cầu.
Trong một microlit máu (một phần nghìn mililit), cơ thể chúng ta thường có từ 4.000 đến 11.000 tế bào bạch cầu. Có ba loại tế bào bạch cầu chính:
Bạch cầu hạt (tế bào đa nhân): Đây là loại tế bào bạch cầu phổ biến nhất. Chúng có nhiều nhân, và bên trong mỗi nhân chứa các hạt màu sắc khác nhau khi được nhuộm bằng thuốc nhuộm đặc biệt. Bạch cầu hạt là những tế bào di động và thường di chuyển đến những vị trí trong cơ thể nơi có nhiễm trùng hoặc viêm nhiễm. Chúng được thu hút đến những khu vực này dưới tác động của các phân tử hóa học được tạo ra bởi các tác nhân gây bệnh.
Bạch cầu đơn nhân (đại thực bào): Loại bạch cầu này có một nhân duy nhất và thường xuất hiện trong mô huyết tương. Chúng có vai trò quan trọng trong phản ứng miễn dịch của cơ thể chống lại vi khuẩn và virus.
Tế bào lympho: Đây là một loại bạch cầu khác, có vai trò quan trọng trong cơ chế miễn dịch dài hạn.

Số lượng của các loại bạch cầu này trong máu có thể biến đổi tùy theo tình trạng sức khỏe của mỗi người. Đặc biệt, bạch cầu hạt, bạch cầu đơn nhân và tế bào lympho đóng vai trò quan trọng trong bảo vệ cơ thể trước các mối đe dọa từ bên ngoài.
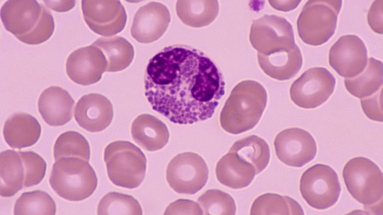
Bạch cầu ưa axit chiếm một phần rất nhỏ so với tổng số bạch cầu trung tính. Loại bạch cầu này thường chỉ chiếm từ 1 đến 3% tổng số tế bào bạch cầu lưu thông trong máu. Số lượng tế bào bạch cầu ưa axit thường dao động trong khoảng từ 0,04 đến 0,4 tỷ tế bào trên mỗi lít máu (tương đương từ 40 đến 400 tế bào ái toan đa nhân trên mỗi mm3 máu).
Bạch cầu ưa axit còn được gọi là bạch cầu ái toan, đóng một vai trò quan trọng trong hệ thống miễn dịch của cơ thể và có nhiều chức năng đa dạng. Chúng thường chống lại ký sinh trùng và vi khuẩn nội bào. Trong quá trình chống lại nguy cơ nhiễm ký sinh trùng, bạch cầu ái toan giải phóng các hạt đặc hiệu vào môi trường ngoại bào, chứa các chất góp phần vào việc tiêu diệt mầm bệnh. Ngoài ra, chúng có khả năng kích hoạt tế bào lympho T và thúc đẩy sản xuất kháng thể IgM trong tế bào lympho B, từ đó củng cố khả năng miễn dịch của cơ thể.

Tuy nhiên, hoạt động của bạch cầu ái toan có thể gây bất lợi trong một số tình huống. Ví dụ, trong trường hợp của hen suyễn dị ứng, bạch cầu ái toan thường di chuyển đến phổi và đường thở, nơi chúng giải phóng các chất gây tắc nghẽn đường thở, dẫn đến khó thở cho người bệnh. Ngoài ra, tích tụ bạch cầu ái toan trong hệ tiêu hóa cũng được quan sát thấy ở một số bệnh dạ dày.
Tóm lại, bạch cầu ái toan là các tế bào miễn dịch đa chức năng có khả năng tham gia vào nhiều cơ chế bảo vệ miễn dịch khác nhau. Tuy nhiên, chúng cũng có thể góp phần vào phát triển các bệnh lý khi hoạt động không cân đối trong cơ thể.
Sự thay đổi tỷ lệ bạch cầu ái toan đa nhân trong máu có thể có nhiều nguyên nhân dẫn đến tình trạng tăng hoặc giảm bạch cầu ưa axit so với mức định mức thông thường. Có nhiều nguyên nhân gây ra tăng bạch cầu ái toan, trong đó bao gồm:

Ngược lại, giảm số lượng bạch cầu ái toan có thể liên quan đến:
Tóm lại bạch cầu ưa axit hay bạch cầu ái toan, là một loại tế bào bạch cầu cơ bản có trong hệ thống bạch huyết của con người thực hiện nhiều chức năng quan trọng trong hệ thống miễn dịch và bảo vệ cơ thể trước các mầm bệnh.
Xem thêm:
Dược sĩ Đại họcNgô Kim Thúy
Tốt nghiệp loại giỏi trường Đại học Y Dược Huế. Từng tham gia nghiên cứu khoa học đề tài về Dược liệu. Nhiều năm kinh nghiệm làm việc trong lĩnh vực Dược phẩm. Hiện đang là giảng viên cho Dược sĩ tại Nhà thuốc Long Châu.