:format(webp)/khoi_u_tim_lanh_tinh_la_gi_cach_chan_doan_va_phuong_phap_dieu_tri_8a83dd8514.jpg)
Các khối u tim có kích thước và hình dạng rất đa dạng, từ dưới 1cm đến khoảng 15cm. Kích thước và vị trí của khối u trong tim ảnh hưởng rõ rệt đến các triệu chứng và tiên lượng bệnh. Một số khối u lành tính, dễ điều trị, trong khi một số khác có thể đe dọa tính mạng. Dưới đây là thông tin chi tiết về các khối u tim lành tính và các vấn đề liên quan mà nhà thuốc Long Châu muốn chia sẻ với bạn.
:format(webp)/u_nhay_o_tim_la_gi_trieu_chung_va_phuong_phap_dieu_tri_c00a90fd3c.jpg)
Bạn đã từng nghe đến u nhầy ở tim chưa? Đây là một loại u lành tính khá hiếm gặp. Loại u này thường phát triển ở tâm nhĩ trái và có thể gây ra các biến chứng nghiêm trọng nếu không được phát hiện và điều trị kịp thời.
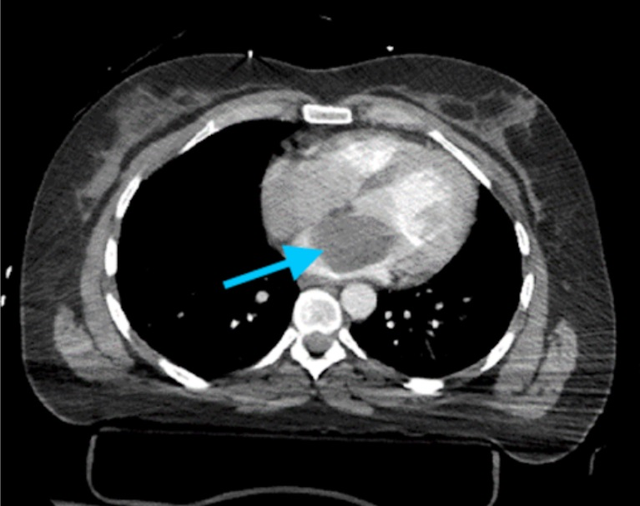
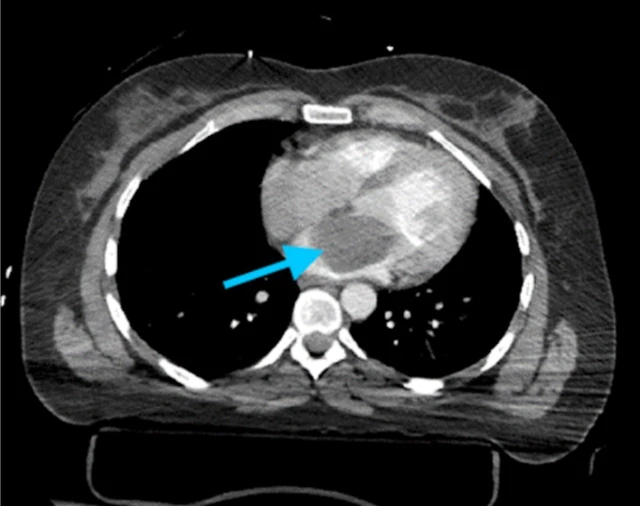
:format(webp)/422_u_trung_that_9980_5b1a_large_636f616953.jpg)
U trung thất có thể lành tính hoặc là khối u ác tính. Hiện nay chưa có biện pháp nào để phòng ngừa bệnh u trung thất. Tuy nhiên, bạn có thể cải thiện cơ hội điều trị bằng cách khám sức khỏe tổng quát định kỳ, phát hiện sớm khối u nếu có. Nếu bạn bị khó thở, ho hoặc các triệu chứng khác kéo dài hơn hai tuần, hãy đến gặp bác sĩ để được thăm khám và điều trị sớm, tránh nguy cơ tăng nặng của bệnh.
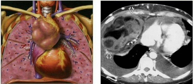
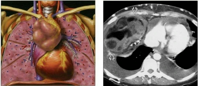
:format(webp)/374_u_trong_tim_9328_6291_large_60797c50be.png)
Các khối u ở tim có thể xuất hiện ở bất kỳ mô tim nào. Khối u tim có thể là nguyên phát hoặc di căn. Điều trị các khối u lành tính bằng phẫu thuật cắt bỏ, tuy nhiên khối u có thể tái phát. Điều trị ung thư di căn phụ thuộc vào loại và nguồn gốc khối u, tiên lượng bệnh thường rất xấu.